tel 400-6027-270
Main Image
Anti-Acetylcholinesterase 兔多克隆抗体
¥1900
加入对比
货号: K133114-1-100
亚细胞定位: 细胞膜, 分泌型, 突触
别名: ACHE, ACEE, ARACHE, YT blood group, N-ACHE, Acetylcholine acetylhydrolase, Apoptosis related acetylcholinesterase, ARN-YT, acetylcholinesterase, AChE
应用 | 种属
IHC/IF M,R
规格:
产品信息
蛋白质全称 乙酰胆碱酯酶
别名 ACHE, ACEE, ARACHE, YT blood group, N-ACHE, Acetylcholine acetylhydrolase, Apoptosis related acetylcholinesterase, ARN-YT, acetylcholinesterase, AChE
Uniprot ID P20782
免疫原 KLH偶联的小鼠Acetylcholinesterase合成肽
抗体亚型 IgG
纯化方式 亲和纯化
亚细胞定位 细胞膜, 分泌型, 突触
应用
IHC/IF 免疫组织化学/免疫荧光
物种:小鼠, 大鼠
稀释比:1: 400-1: 2000
阳性样品:脑
背景

Acetylcholinesterase hydrolyzes the neurotransmitter, acetylcholine at neuromuscular junctions and brain cholinergic synapses, and thus terminates signal transmission. It is also found on the red blood cell membranes, where it constitutes the Yt blood group antigen. Acetylcholinesterase exists in multiple molecular forms which possess similar catalytic properties. It is encoded by the single ACHE gene, and the structural diversity in the gene products arises from alternative mRNA splicing, and post-translational associations of catalytic and structural subunits.                                        

储存条件
储存条件:储存条件在:-20℃下储存一年, 避免反复冻融.
储存缓冲液:含0.15% ProClin300防腐剂, 100 μg/mL牛血清白蛋白和50%甘油的磷酸盐缓冲液.
图像
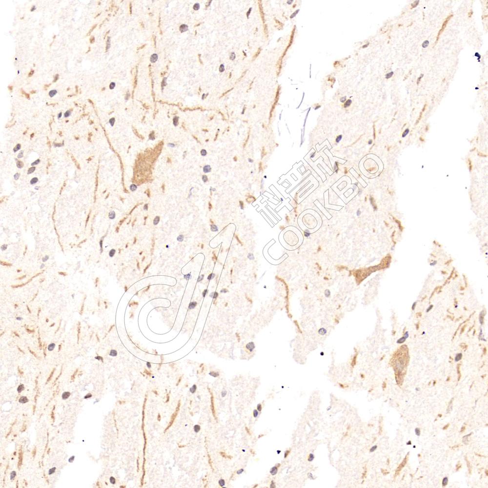
IHC检测Acetylcholinesterase蛋白(货号 K133114-1).
样品: 小鼠脑, 4%多聚甲醛 (货号KSG1101) 固定12-24小时.
抗原修复: 柠檬酸抗原修复液(干粉, pH 6.0) (KSG1201), 98℃, 20分钟.
—抗: 1: 1200稀释, 4℃ 孵育过夜.
二抗: S-vision免疫组化多聚二抗(山羊抗兔),即用型 (货号KB3906), 室温孵育20分钟.
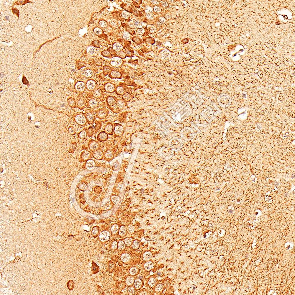
IHC检测Acetylcholinesterase蛋白(货号 K133114-1).
样品: 大鼠脑, 4%多聚甲醛 (货号KSG1101) 固定12-24小时.
抗原修复: 柠檬酸抗原修复液(干粉, pH 6.0) (KSG1201), 98℃, 20分钟.
—抗: 1: 1200稀释, 4℃ 孵育过夜.
二抗: S-vision免疫组化多聚二抗(山羊抗兔),即用型 (货号KB3906), 室温孵育20分钟.
1 K133114-1_ACHE_26417011102_d1200_M brain_20.0x_IHC.jpg
"IHC检测Acetylcholinesterase蛋白(货号 K133114-1).
样品: 小鼠脑, 4%多聚甲醛 (货号KSG1101) 固定12-24小时.
抗原修复: 柠檬酸抗原修复液(干粉, pH 6.0) (KSG1201), 98℃, 20分钟.
—抗: 1: 1200稀释, 4℃ 孵育过夜.
二抗: S-vision免疫组化多聚二抗(山羊抗兔),即用型 (货号KB3906), 室温孵育20分钟."
2 K133114-1_ACHE_26417011102_d1200_R brain_40.0x_IHC.jpg
"IHC检测Acetylcholinesterase蛋白(货号 K133114-1).
样品: 大鼠脑, 4%多聚甲醛 (货号KSG1101) 固定12-24小时.
抗原修复: 柠檬酸抗原修复液(干粉, pH 6.0) (KSG1201), 98℃, 20分钟.
—抗: 1: 1200稀释, 4℃ 孵育过夜.
二抗: S-vision免疫组化多聚二抗(山羊抗兔),即用型 (货号KB3906), 室温孵育20分钟."

需要技术支持?

如果您有任何问题或如果您在实验过程中遇到问题,或需要更详细的技术指导,请联系我们的技术支持团队
电话 400-6027-270

联系我们

如果您对我们的公司或产品有任何疑问,欢迎随时联系我们