tel 400-6027-270
Main Image
Anti-GABA A Receptor alpha 1 兔多克隆抗体
¥1900
加入对比
货号: K1341919-100
预测分子量: 52 kDa
观测分子量: 52 kDa
亚细胞定位: 膜, 分泌型
别名: Gabra1,GABRA1,ECA4,EIEE19,EJM,EJM5,gamma-aminobutyric acid type A receptor alpha1 subunit,GABA A Receptor alpha 1,Gamma-aminobutyric acid type A receptor alpha1 subunit
应用 | 种属
WB H,M,R
IHC/IF H,M,R
规格:
产品信息
蛋白质全称 γ-氨基丁酸受体α-1亚基
别名 Gabra1,GABRA1,ECA4,EIEE19,EJM,EJM5,gamma-aminobutyric acid type A receptor alpha1 subunit,GABA A Receptor alpha 1,Gamma-aminobutyric acid type A receptor alpha1 subunit
Uniprot ID P62812
免疫原 小鼠GABA A Receptor alpha 1重组蛋白
抗体亚型 IgG
纯化方式 亲和纯化
亚细胞定位 膜, 分泌型
预测分子量./观测分子量. 52 kDa / 52 kDa
应用
WB 免疫印迹
物种:人,小鼠,大鼠
稀释比:1:500-1:1500
阳性样品:—
IHC/IF 免疫组织化学/免疫荧光
物种:人,小鼠,大鼠
稀释比:1:300-1:600
阳性样品:脑
背景
Gamma-aminobutyric acid receptor subunit alpha-1 is a protein that in humans is encoded by the GABRA1 gene. GABA is the major inhibitory neurotransmitter in the mammalian brain where it acts at GABA-A receptors, which are ligand-gated chloride channels. Chloride conductance of these channels can be modulated by agents such as benzodiazepines that bind to the GABA-A receptor. At least 16 distinct subunits of GABA-A receptors have been identified. The GABRA1 receptor is the specific target of the z-drug class of nonbenzodiazepine hypnotic agents and is responsible for their hypnotic and hallucinogenic effects.
储存条件
储存条件:储存条件在:-20℃下储存一年, 避免反复冻融.
储存缓冲液:含0.15% ProClin300防腐剂, 100 μg/mL牛血清白蛋白和50%甘油的磷酸盐缓冲液.
图像
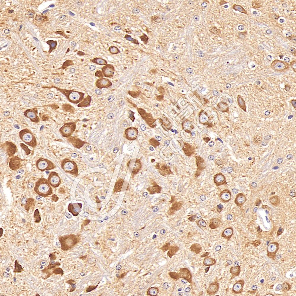
IHC检测GABA A Receptor alpha 1蛋白(货号 K1341919).
样品: 人脑, 4%多聚甲醛 (货号KSG1101) 固定12-24小时.
抗原修复: 柠檬酸抗原修复液(干粉, pH 6.0) (KSG1201), 98℃, 20分钟.
—抗: 1: 500稀释, 4℃ 孵育过夜.
二抗: S-vision免疫组化多聚二抗(山羊抗兔),即用型 (货号KB3906), 室温孵育20分钟.
GABA A Receptor alpha 1_d1000_WB
IHC检测GABA A Receptor alpha 1蛋白(货号 K1341919).
样品: 小鼠脑, 4%多聚甲醛 (货号KSG1101) 固定12-24小时.
抗原修复: 柠檬酸抗原修复液(干粉, pH 6.0) (KSG1201), 98℃, 20分钟.
—抗: 1: 500稀释, 4℃ 孵育过夜.
二抗: S-vision免疫组化多聚二抗(山羊抗兔),即用型 (货号KB3906), 室温孵育20分钟.
IHC检测GABA A Receptor alpha 1蛋白(货号 K1341919).
样品: 大鼠脑, 4%多聚甲醛 (货号KSG1101) 固定12-24小时.
抗原修复: 柠檬酸抗原修复液(干粉, pH 6.0) (KSG1201), 98℃, 20分钟.
—抗: 1: 500稀释, 4℃ 孵育过夜.
二抗: S-vision免疫组化多聚二抗(山羊抗兔),即用型 (货号KB3906), 室温孵育20分钟.

需要技术支持?

如果您有任何问题或如果您在实验过程中遇到问题,或需要更详细的技术指导,请联系我们的技术支持团队
电话 400-6027-270

联系我们

如果您对我们的公司或产品有任何疑问,欢迎随时联系我们