tel 400-6027-270
Main Image
Anti-Aquaporin 4 小鼠单克隆抗体
¥1900
加入对比
货号: K237587-100
亚细胞定位: 细胞膜
别名: AQP4,Aquaporin 4,HMIWC2,MIWC,WCH4,Aquaporin type 4,Mercurial-insensitive water channel,aquaporin 4
应用 | 种属
IHC/IF H,M,R
规格:
产品信息
蛋白质全称 水通道蛋白4
别名 AQP4,Aquaporin 4,HMIWC2,MIWC,WCH4,Aquaporin type 4,Mercurial-insensitive water channel,aquaporin 4
Uniprot ID P55088
免疫原 小鼠Aquaporin 4重组蛋白
抗体亚型 IgG2b, κ
克隆号 1E3H4
纯化方式 亲和纯化
亚细胞定位 细胞膜
应用
IHC/IF 免疫组织化学/免疫荧光
物种:人,小鼠,大鼠
稀释比:1:1000-1:2000
阳性样品:肾, 肺
背景
Aquaporin-4, also known as AQP4, is a water channel protein, belonging to the aquaporin family of integral membrane proteins that conduct water through the cell membrane. In the CNS, AQP4 is the most prevalent aquaporin channel, specifically located at the perimicrovessel astrocyte foot processes, glia limitans, and ependyma. Aquaporin-4’s overall function is to provide fast water transportation as well as maintain homeostatic balance within the central nervous system. Other systems are also regulated by AQP4.
储存条件
储存条件:储存条件在:-20℃下储存一年, 避免反复冻融.
储存缓冲液:含0.15% ProClin300防腐剂, 100 μg/mL牛血清白蛋白和50%甘油的磷酸盐缓冲液.
图像
IHC检测Aquaporin 4蛋白(货号 K237587).
样品: 人肺, 4%多聚甲醛 (货号KSG1101) 固定12-24小时.
抗原修复: 柠檬酸抗原修复液(干粉, pH 6.0) (KSG1201), 高压锅均匀喷气计时2分钟.
—抗: 1: 1500稀释, 4℃ 孵育过夜.
二抗: S-vision免疫组化多聚二抗(山羊抗小鼠), 即用型(货号KB3903), 室温孵育20分钟.
IHC检测Aquaporin 4蛋白(货号 K237587).
样品: 大鼠肾, 4%多聚甲醛 (货号KSG1101) 固定12-24小时.
抗原修复: 柠檬酸抗原修复液(干粉, pH 6.0) (KSG1201), 高压锅均匀喷气计时2分钟.
—抗: 1: 1500稀释, 4℃ 孵育过夜.
二抗: S-vision免疫组化多聚二抗(山羊抗小鼠), 即用型(货号KB3903), 室温孵育20分钟.
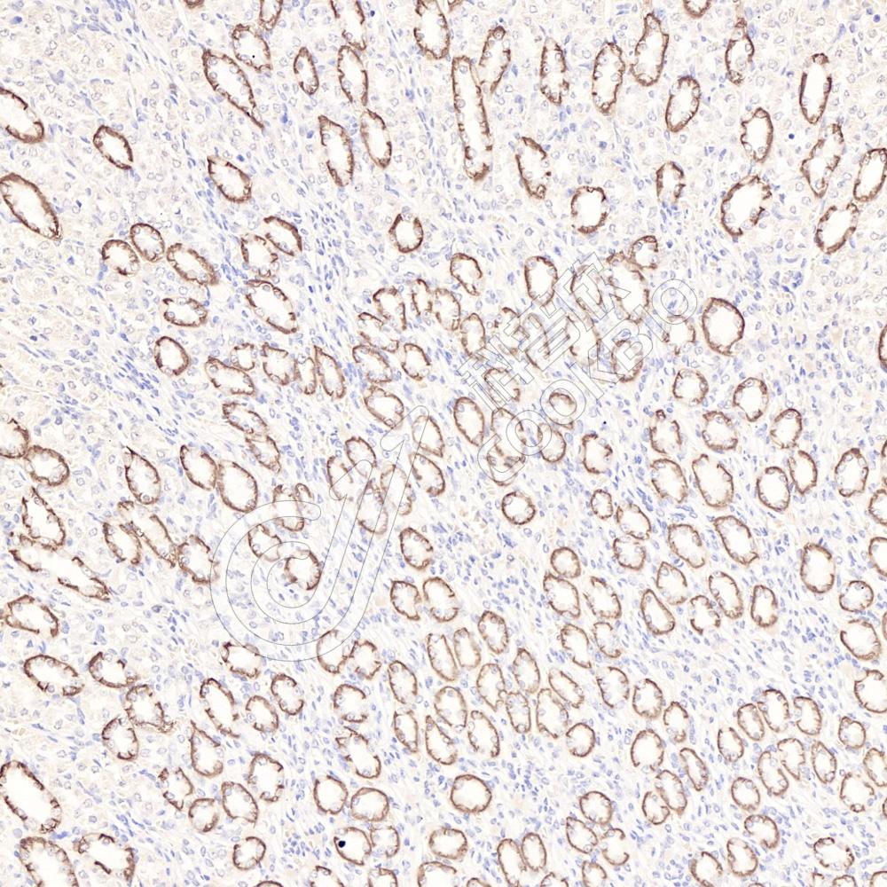
IHC检测Aquaporin 4蛋白(货号 K237587).
样品: 大鼠肺, 4%多聚甲醛 (货号KSG1101) 固定12-24小时.
抗原修复: 柠檬酸抗原修复液(干粉, pH 6.0) (KSG1201), 高压锅均匀喷气计时2分钟.
—抗: 1: 1500稀释, 4℃ 孵育过夜.
二抗: S-vision免疫组化多聚二抗(山羊抗小鼠), 即用型(货号KB3903), 室温孵育20分钟.
IF检测Aquaporin 4蛋白(货号 K237587)(红色).
样品: 小鼠肾, 4%多聚甲醛 (货号KSG1101) 固定12-24小时.
抗原修复: 柠檬酸抗原修复液(干粉, pH 6.0) (KSG1201), 高压锅均匀喷气计时2分钟.
封闭: 3% BSA(货号KSGC305010)的PBS溶液, 室温孵育30分钟.
—抗: 1: 1500稀释, 4℃ 孵育过夜.
二抗: Cy3标记山羊抗小鼠IgG (H+L) (货号KB63903), 1: 300稀释, 室温孵育1小时.

需要技术支持?

如果您有任何问题或如果您在实验过程中遇到问题,或需要更详细的技术指导,请联系我们的技术支持团队
电话 400-6027-270

联系我们

如果您对我们的公司或产品有任何疑问,欢迎随时联系我们