tel 400-6027-270
Main Image
Anti-GABA A Receptor beta 2/GABRB2 兔多克隆抗体
¥1900
加入对比
货号: K1344373-100
预测分子量: 59 kDa
观测分子量: 59 kDa
亚细胞定位: 细胞连接, 细胞膜
别名: GABA,GABRB2,GABA(A) receptor subunit beta-2,GABA(A) receptor beta 2
应用 | 种属
WB H
IHC/IF M
规格:
产品信息
蛋白质全称 γ-氨基丁酸受体β-2亚基
别名 GABA,GABRB2,GABA(A) receptor subunit beta-2,GABA(A) receptor beta 2
Uniprot ID P63137
免疫原 KLH偶联的小鼠GABA A Receptor beta 2/GABRB2合成肽
抗体亚型 IgG
纯化方式 亲和纯化
亚细胞定位 细胞连接, 细胞膜
预测分子量./观测分子量. 59 kDa / 59 kDa
应用
WB 免疫印迹
物种:人
稀释比:1:1500-1:3000
阳性样品:Hep G2细胞
IHC/IF 免疫组织化学/免疫荧光
物种:小鼠
稀释比:1:1000-1:3000
阳性样品:脑, 海马区
背景
Ligand-gated chloride channel which is a component of the heteropentameric receptor for GABA, the major inhibitory neurotransmitter in the brain . Plays an important role in the formation of functional inhibitory GABAergic synapses in addition to mediating synaptic inhibition as a GABA-gated ion channel . The gamma2 subunit is necessary but not sufficient for a rapid formation of active synaptic contacts and the synaptogenic effect of this subunit is influenced by the type of alpha and beta subunits present in the receptor pentamer . The alpha1/beta2/gamma2 receptor and the alpha2/beta2/gamma2 receptor exhibit synaptogenic activity . Functions also as histamine receptor and mediates cellular responses to histamine.
储存条件
储存条件:储存条件在:-20℃下储存一年, 避免反复冻融.
储存缓冲液:含0.15% ProClin300防腐剂, 100 μg/mL牛血清白蛋白和50%甘油的磷酸盐缓冲液.
图像
WB检测GABA A Receptor beta 2/GABRB2蛋白(货号 K1344373).
样品: 经RIPA裂解液(货号KSG2002)处理的蛋白质.
封闭: 3%脱脂牛奶(货号KSGC310001)溶于TBST溶液, 室温孵育1小时.
—抗: 1: 1500稀释, 4℃ 孵育过夜.
二抗: HRP标记山羊抗兔IgG (H+L) (货号KB69909), 1: 5000稀释, 室温孵育1小时.
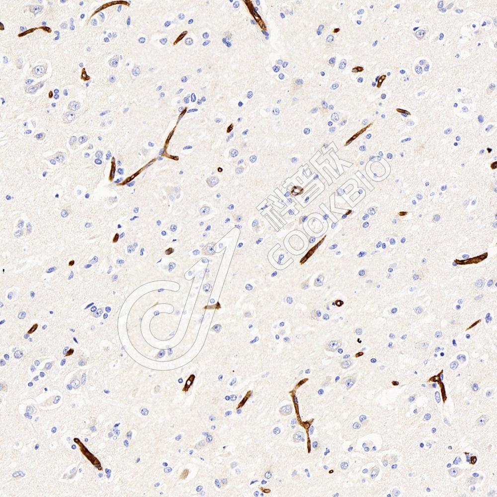
IHC检测GABA A Receptor beta 2/GABRB2蛋白(货号 K1344373).
样品: 小鼠脑, 4%多聚甲醛 (货号KSG1101) 固定12-24小时.
抗原修复: 柠檬酸抗原修复液(干粉, pH 6.0) (KSG1201), 98℃, 20分钟.
—抗: 1: 2000稀释, 4℃ 孵育过夜.
二抗: S-vision免疫组化多聚二抗(山羊抗兔),即用型 (货号KB3906), 室温孵育20分钟.
IHC检测GABA A Receptor beta 2/GABRB2蛋白(货号 K1344373).
样品: 大鼠海马区, 4%多聚甲醛 (货号KSG1101) 固定12-24小时.
抗原修复: 柠檬酸抗原修复液(干粉, pH 6.0) (KSG1201), 98℃, 20分钟.
—抗: 1: 2000稀释, 4℃ 孵育过夜.
二抗: S-vision免疫组化多聚二抗(山羊抗兔),即用型 (货号KB3906), 室温孵育20分钟.

需要技术支持?

如果您有任何问题或如果您在实验过程中遇到问题,或需要更详细的技术指导,请联系我们的技术支持团队
电话 400-6027-270

联系我们

如果您对我们的公司或产品有任何疑问,欢迎随时联系我们