tel 400-6027-270
Main Image
Anti-KCNJ5 兔多克隆抗体
¥1900
加入对比
货号: K1341562-100
亚细胞定位:
别名: GIRK-4,Cardiac inward rectifier,Heart KATP channel,CIR,KATP-1,Heart KATP channel,Kcnj5,Girk4,Inward rectifier K(+) channel Kir3.4
应用 | 种属
IHC/IF R
规格:
产品信息
蛋白质全称 G蛋白激活内向整流钾通道4
别名 GIRK-4,Cardiac inward rectifier,Heart KATP channel,CIR,KATP-1,Heart KATP channel,Kcnj5,Girk4,Inward rectifier K(+) channel Kir3.4
Uniprot ID P48545
免疫原 KLH偶联的小鼠KCNJ5合成肽
抗体亚型 IgG
纯化方式 亲和纯化
亚细胞定位
应用
IHC/IF 免疫组织化学/免疫荧光
物种:大鼠
稀释比:1:400-1:800
阳性样品:心
背景
This potassium channel is controlled by G proteins. Inward rectifier potassium channels are characterized by a greater tendency to allow potassium to flow into the cell rather than out of it. Their voltage dependence is regulated by the concentration of extracellular potassium; as external potassium is raised, the voltage range of the channel opening shifts to more positive voltages. The inward rectification is mainly due to the blockage of outward current by internal magnesium. Can be blocked by external barium.
储存条件
储存条件:储存条件在:-20℃下储存一年, 避免反复冻融.
储存缓冲液:含0.15% ProClin300防腐剂, 100 μg/mL牛血清白蛋白和50%甘油的磷酸盐缓冲液.
图像
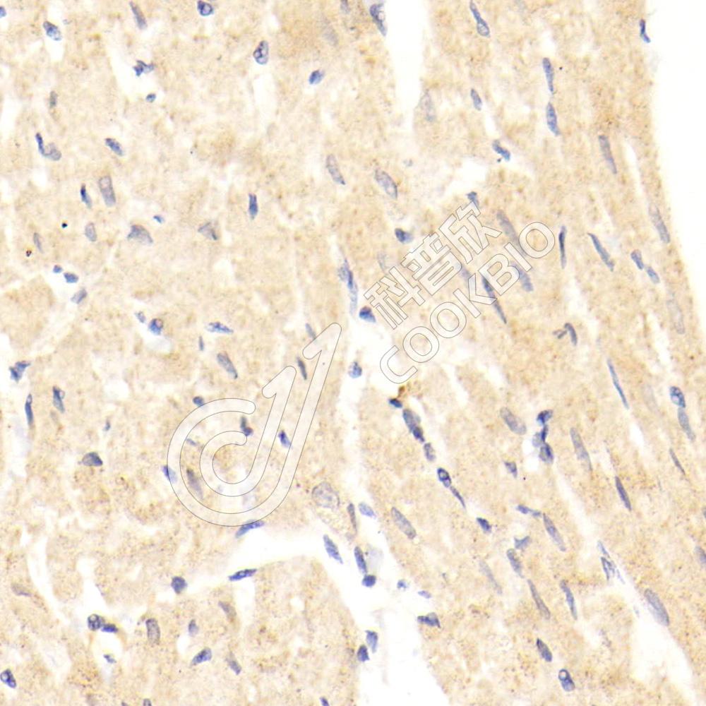
IHC检测KCNJ5蛋白(货号 K1341562).
样品: 大鼠心, 4%多聚甲醛 (货号KSG1101) 固定12-24小时.
抗原修复: 柠檬酸抗原修复液(干粉, pH 6.0) (KSG1201), 98℃, 20分钟.
—抗: 1: 600稀释, 4℃ 孵育过夜.
二抗: S-vision免疫组化多聚二抗(山羊抗兔),即用型 (货号KB3906), 室温孵育20分钟.
IHC检测KCNJ5蛋白(货号 K1341562).
样品: 大鼠心, 4%多聚甲醛 (货号KSG1101) 固定12-24小时.
抗原修复: 柠檬酸抗原修复液(干粉, pH 6.0) (KSG1201), 98℃, 20分钟.
—抗: 1: 600稀释, 4℃ 孵育过夜.
二抗: S-vision免疫组化多聚二抗(山羊抗兔),即用型 (货号KB3906), 室温孵育20分钟.

需要技术支持?

如果您有任何问题或如果您在实验过程中遇到问题,或需要更详细的技术指导,请联系我们的技术支持团队
电话 400-6027-270

联系我们

如果您对我们的公司或产品有任何疑问,欢迎随时联系我们