tel 400-6027-270
Main Image
Anti-CD45 兔多克隆抗体
¥1900
加入对比
货号: K133198-100
亚细胞定位: 细胞膜
别名: B220, CD45, CD45R, GP180, L-CA, LCA, Leukocyte common antigen, LY5, PTPRC, RPTPC, T200, Ly-5, protein tyrosine phosphatase receptor type C
应用 | 种属
IHC/IF M
规格:
产品信息
蛋白质全称 受体型酪氨酸蛋白磷酸酶C
别名 B220, CD45, CD45R, GP180, L-CA, LCA, Leukocyte common antigen, LY5, PTPRC, RPTPC, T200, Ly-5, protein tyrosine phosphatase receptor type C
Uniprot ID P06800
免疫原 KLH偶联的小鼠CD45合成肽
抗体亚型 IgG
纯化方式 亲和纯化
亚细胞定位 细胞膜
应用
IHC/IF 免疫组织化学/免疫荧光
物种:小鼠
稀释比:1: 1000-1: 4000
阳性样品:肺, 脾
背景

CD45, also known as leukocyte common antigen (LCA), B220, and T200, is a 180-240 kD single chain type I membrane glycoprotein. It is a tyrosine phosphatase expressed on the plasma membrane of all hematopoietic cells, except erythrocytes and platelets. CD45 is a signaling molecule that regulates a variety of cellular processes including cell growth, differentiation, cell cycle, and oncogenic transformation. CD45 is one of the best negative selection markers for characterizing and/or isolating human mesenchymal stem cells from bone marrow and other sources.                                        

储存条件
储存条件:储存条件在:-20℃下储存一年, 避免反复冻融.
储存缓冲液:含0.15% ProClin300防腐剂, 100 μg/mL牛血清白蛋白和50%甘油的磷酸盐缓冲液.
图像
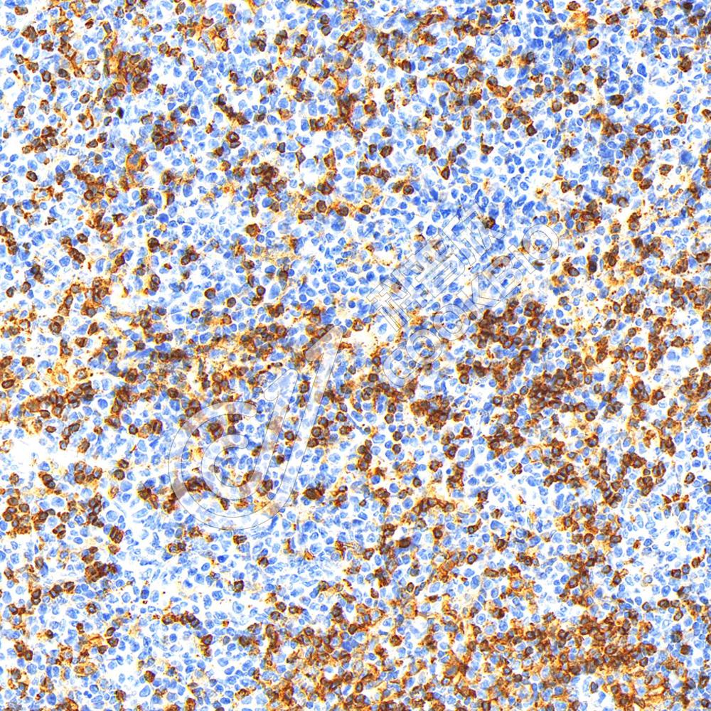
IHC检测CD45蛋白(货号 K133198).
样品: 小鼠肺, 4%多聚甲醛 (货号KSG1101) 固定12-24小时.
抗原修复: 柠檬酸抗原修复液(干粉, pH 6.0) (KSG1201), 高压锅均匀喷气计时2分钟.
—抗: 1: 2500稀释, 4℃ 孵育过夜.
二抗: S-vision免疫组化多聚二抗(山羊抗兔),即用型 (货号KB3906), 室温孵育20分钟.
IF检测CD45蛋白(货号 K133198)(红色).
样品: 小鼠脾, 4%多聚甲醛 (货号KSG1101) 固定12-24小时.
抗原修复: 柠檬酸抗原修复液(干粉, pH 6.0) (KSG1201), 高压锅均匀喷气计时2分钟.
封闭: 3% BSA(货号KSGC305010)的PBS溶液, 室温孵育30分钟.
—抗: 1: 2500稀释, 4℃ 孵育过夜.
二抗: Cy3标记山羊抗兔IgG (H+L) (货号KB63909), 1: 300稀释, 室温孵育1小时.
1 K133198_CD45_S45822051701_d2500_M lung_40x_IHC.jpg
IHC检测CD45蛋白(货号 K133198).
样品: 小鼠肺, 4%多聚甲醛 (货号KSG1101) 固定12-24小时.
抗原修复: 柠檬酸抗原修复液(干粉, pH 6.0) (KSG1201), 高压锅均匀喷气计时2分钟.
—抗: 1: 2500稀释, 4℃ 孵育过夜.
二抗: S-vision免疫组化多聚二抗(山羊抗兔),即用型 (货号KB3906), 室温孵育20分钟.
2 K133198_CD45_red_S45822051701_d2500_M spleen_20x_IF.jpg
IF检测CD45蛋白(货号 K133198)(红色).
样品: 小鼠脾, 4%多聚甲醛 (货号KSG1101) 固定12-24小时.
抗原修复: 柠檬酸抗原修复液(干粉, pH 6.0) (KSG1201), 高压锅均匀喷气计时2分钟.
封闭: 3% BSA(货号KSGC305010)的PBS溶液, 室温孵育30分钟.
—抗: 1: 2500稀释, 4℃ 孵育过夜.
二抗: Cy3标记山羊抗兔IgG (H+L) (货号KB63909), 1: 300稀释, 室温孵育1小时.

需要技术支持?

如果您有任何问题或如果您在实验过程中遇到问题,或需要更详细的技术指导,请联系我们的技术支持团队
电话 400-6027-270

联系我们

如果您对我们的公司或产品有任何疑问,欢迎随时联系我们