tel 400-6027-270
Main Image
Anti-Hsp60 兔多克隆抗体
¥1900
加入对比
货号: K133729-100
预测分子量: 60 kDa
观测分子量: 60 kDa
亚细胞定位: 线粒体基质
别名: HSP60,HSP-60,HuCHA60,CPN60,60 KDa Chaperonin,P60 Lymphocyte Protein,Heat Shock Protein 60
应用 | 种属
WB H
IHC/IF H,M,R
ICC/IF H,M,R
IEM M
规格:
产品信息
蛋白质全称 线粒体60kDa热休克蛋白
别名 HSP60,HSP-60,HuCHA60,CPN60,60 KDa Chaperonin,P60 Lymphocyte Protein,Heat Shock Protein 60
Uniprot ID P63038
免疫原 KLH偶联的小鼠HSP60合成肽
抗体亚型 IgG
纯化方式 亲和纯化
亚细胞定位 线粒体基质
预测分子量./观测分子量. 60 kDa / 60 kDa
应用
WB 免疫印迹
物种:人
稀释比:1:3000-1:10000
阳性样品:RAW264.7细胞, 脑, 脾
IHC/IF 免疫组织化学/免疫荧光
物种:人,小鼠,大鼠
稀释比:1:500-1:3000
阳性样品:结肠, 肾, 肝
ICC/IF 免疫细胞化学/免疫荧光
物种:人,小鼠,大鼠
稀释比:1:100-1:400
阳性样品:—
IEM 免疫电镜
物种:小鼠
稀释比:1:50-1:100
阳性样品:—
背景

Heat shock protein 60 (HSP60) is a mitochondrial chaperonin that is typically held responsible for the transportation and refolding of proteins from the cytoplasm into the mitochondrial matrix. In addition to its role as a heat shock protein, HSP60 functions as a chaperonin to assist in folding linear amino acid chains into their respective three-dimensional structure. Through the extensive study of groEL, HSP60’s bacterial homolog, HSP60 has been deemed essential in the synthesis and transportation of essential mitochondrial proteins from the cell's cytoplasm into the mitochondrial matrix.                                        

储存条件
储存条件:储存条件在:-20℃下储存一年, 避免反复冻融.
储存缓冲液:含0.15% ProClin300防腐剂, 100 μg/mL牛血清白蛋白和50%甘油的磷酸盐缓冲液.
图像
K133729_Hsp60_d3000_WB.jpg
WB检测Hsp60蛋白(货号 K133729).
样品: 经RIPA裂解液(货号KSG2002)处理的蛋白质.
封闭: 3%脱脂牛奶(货号KSGC310001)溶于TBST溶液, 室温孵育1小时.
—抗: 1: 3000稀释, 4℃ 孵育过夜.
二抗: HRP标记山羊抗兔IgG (H+L) (货号KB69909), 1: 5000稀释, 室温孵育1小时.
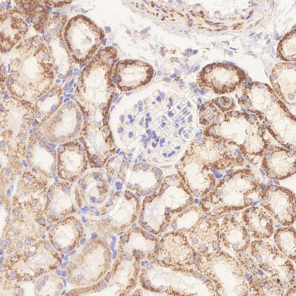
IHC检测Hsp60蛋白(货号 K133729).
样品: 小鼠肾, 4%多聚甲醛 (货号KSG1101) 固定12-24小时.
抗原修复: 柠檬酸抗原修复液(干粉, pH 6.0) (KSG1201), 98℃, 20分钟.
—抗: 1: 1800稀释, 4℃ 孵育过夜.
二抗: S-vision免疫组化多聚二抗(山羊抗兔),即用型 (货号KB3906), 室温孵育20分钟.
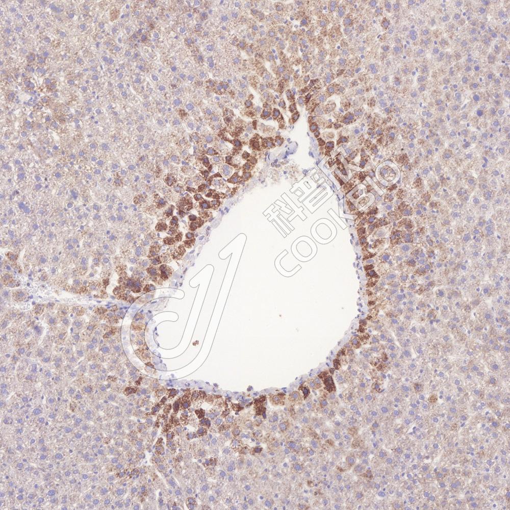
IHC检测Hsp60蛋白(货号 K133729).
样品: 大鼠肝, 4%多聚甲醛 (货号KSG1101) 固定12-24小时.
抗原修复: 柠檬酸抗原修复液(干粉, pH 6.0) (KSG1201), 98℃, 20分钟.
—抗: 1: 1800稀释, 4℃ 孵育过夜.
二抗: S-vision免疫组化多聚二抗(山羊抗兔),即用型 (货号KB3906), 室温孵育20分钟.
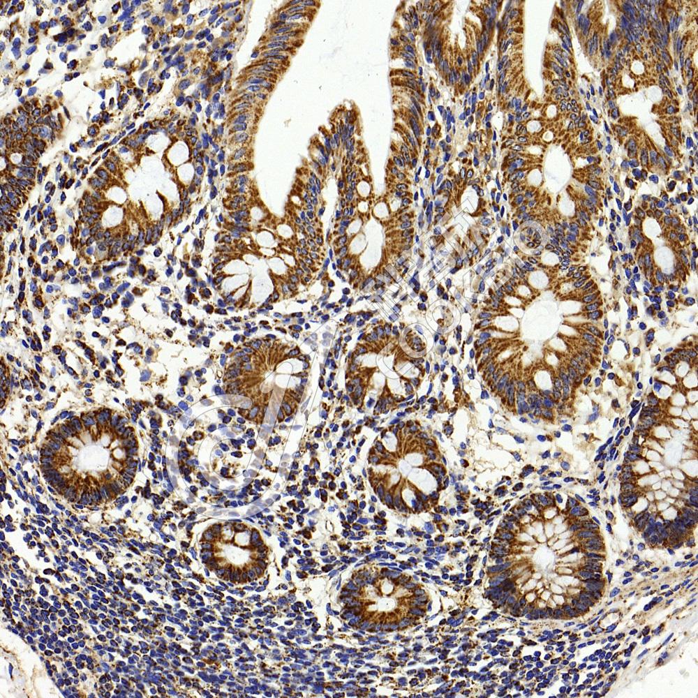
IHC检测Hsp60蛋白(货号 K133729).
样品: 人结肠, 4%多聚甲醛 (货号KSG1101) 固定12-24小时.
抗原修复: 柠檬酸抗原修复液(干粉, pH 6.0) (KSG1201), 98℃, 20分钟.
—抗: 1: 1800稀释, 4℃ 孵育过夜.
二抗: S-vision免疫组化多聚二抗(山羊抗兔),即用型 (货号KB3906), 室温孵育20分钟.

需要技术支持?

如果您有任何问题或如果您在实验过程中遇到问题,或需要更详细的技术指导,请联系我们的技术支持团队
电话 400-6027-270

联系我们

如果您对我们的公司或产品有任何疑问,欢迎随时联系我们