tel 400-6027-270
Main Image
Recombinant Anti-Transferrin antibody (兔单克隆抗体)
¥1900
加入对比
货号: K546911-100
亚细胞定位: 分泌型
别名: Transferrin,Beta-1 metal-binding globulin,Liver regeneration-related protein LRRG03,Siderophilin,Tf
应用 | 种属
IHC/IF H
规格:
产品信息
蛋白质全称 血清转铁蛋白
别名 Transferrin,Beta-1 metal-binding globulin,Liver regeneration-related protein LRRG03,Siderophilin,Tf
Uniprot ID Q921I1
免疫原 小鼠Transferrin重组蛋白
抗体亚型 IgG, κ
克隆号 SB196
纯化方式 亲和纯化
亚细胞定位 分泌型
应用
IHC/IF 免疫组织化学/免疫荧光
物种:人
稀释比:1:250-1:1000
阳性样品:肝癌, 胎盘
背景
Transferrin is a single polypeptide chain glycoprotein and is a member of the iron binding family of proteins.It is thought to have been created as a result of an ancient gene duplication event that led to generation of homologous C and N-terminal domains each of which binds one ion of ferric iron. The function of this protein is to transport iron from the intestine, reticuloendothelial system, and liver parenchymal cells to all proliferating cells in the body. This protein may also have a physiologic role as granulocyte/pollen-binding protein (GPBP) involved in the removal of certain organic matter and allergens from serum.
储存条件
储存条件:储存条件在:-20℃下储存一年, 避免反复冻融.
储存缓冲液:含0.15% ProClin300防腐剂, 100 μg/mL牛血清白蛋白和50%甘油的磷酸盐缓冲液.
图像
IHC检测Transferrin蛋白(货号 K546911).
样品: 人肝癌, 4%多聚甲醛 (货号KSG1101) 固定12-24小时.
抗原修复: 柠檬酸抗原修复液(干粉, pH 6.0) (KSG1201), 高压锅均匀喷气计时2分钟.
—抗: 1: 600稀释, 4℃ 孵育过夜.
二抗: S-vision免疫组化多聚二抗(山羊抗兔),即用型 (货号KB3906), 室温孵育20分钟.
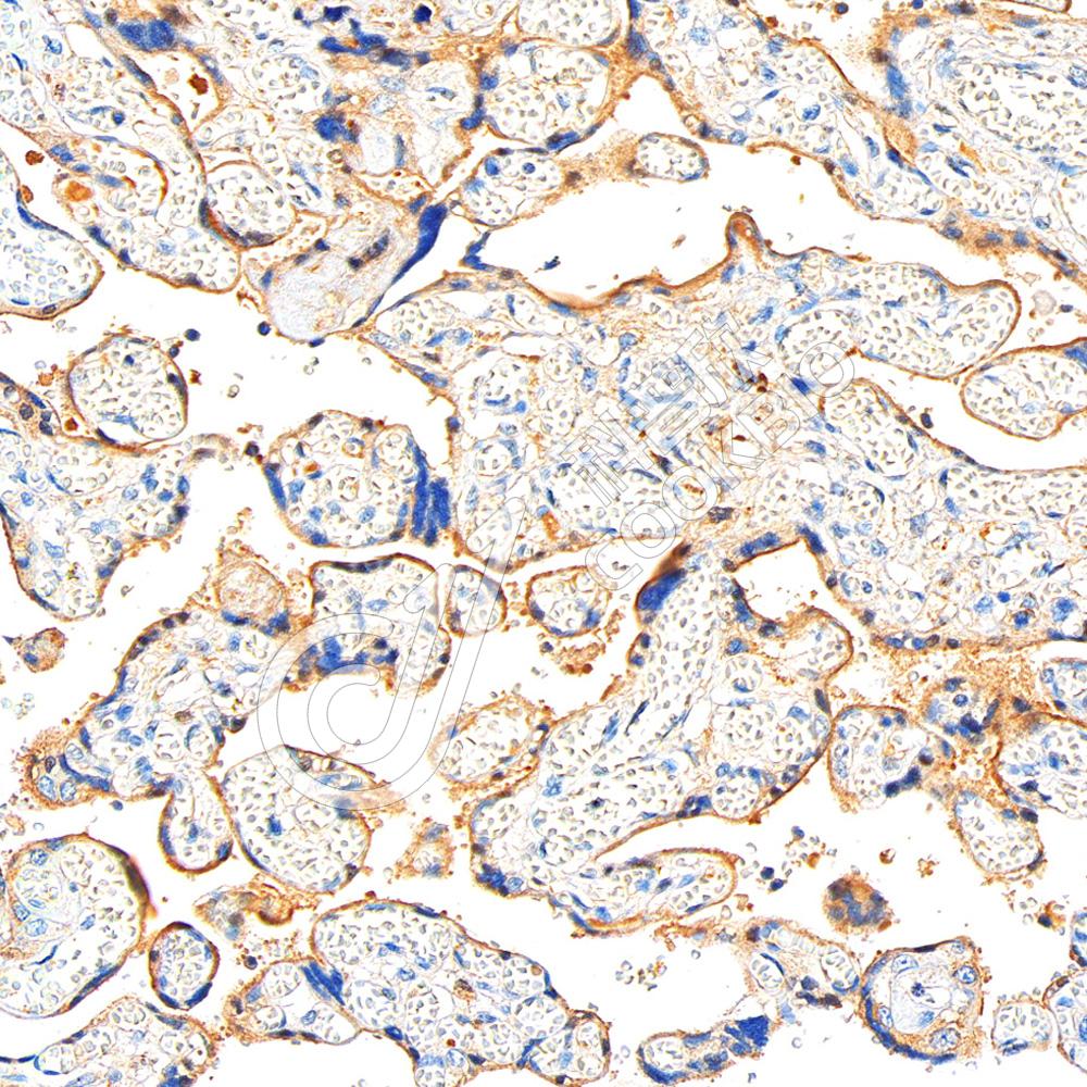
IHC检测Transferrin蛋白(货号 K546911).
样品: 人胎盘, 4%多聚甲醛 (货号KSG1101) 固定12-24小时.
抗原修复: 柠檬酸抗原修复液(干粉, pH 6.0) (KSG1201), 高压锅均匀喷气计时2分钟.
—抗: 1: 600稀释, 4℃ 孵育过夜.
二抗: S-vision免疫组化多聚二抗(山羊抗兔),即用型 (货号KB3906), 室温孵育20分钟.

需要技术支持?

如果您有任何问题或如果您在实验过程中遇到问题,或需要更详细的技术指导,请联系我们的技术支持团队
电话 400-6027-270

联系我们

如果您对我们的公司或产品有任何疑问,欢迎随时联系我们