tel 400-6027-270
Main Image
Anti-Endostatin 兔多克隆抗体
¥1900
加入对比
货号: K133987-100
亚细胞定位: 分泌型
别名: COL18A1,Collagen alpha 1(XVIII) chain,collagen,type XVIII,alpha 1,Endostatin,FLJ27325,FLJ34914,KNO,KNO1
应用 | 种属
IHC/IF H,M
规格:
产品信息
蛋白质全称 XVIII型胶原α-1链
别名 COL18A1,Collagen alpha 1(XVIII) chain,collagen,type XVIII,alpha 1,Endostatin,FLJ27325,FLJ34914,KNO,KNO1
Uniprot ID P39061
免疫原 KLH偶联的小鼠Endostatin合成肽
抗体亚型 IgG
纯化方式 亲和纯化
亚细胞定位 分泌型
应用
IHC/IF 免疫组织化学/免疫荧光
物种:人,小鼠
稀释比:1:500-1:2000
阳性样品:肾
背景
Endostatin is a naturally occurring, 20-kDa C-terminal fragment derived from type XVIII collagen. It is reported to serve as an anti-angiogenic agent, similar to angiostatin and thrombospondin. Endostatin is a broad-spectrum angiogenesis inhibitor and may interfere with the pro-angiogenic action of growth factors such as basic fibroblast growth factor (bFGF/FGF-2) and vascular endothelial growth factor (VEGF).
储存条件
储存条件:储存条件在:-20℃下储存一年, 避免反复冻融.
储存缓冲液:含0.15% ProClin300防腐剂, 100 μg/mL牛血清白蛋白和50%甘油的磷酸盐缓冲液.
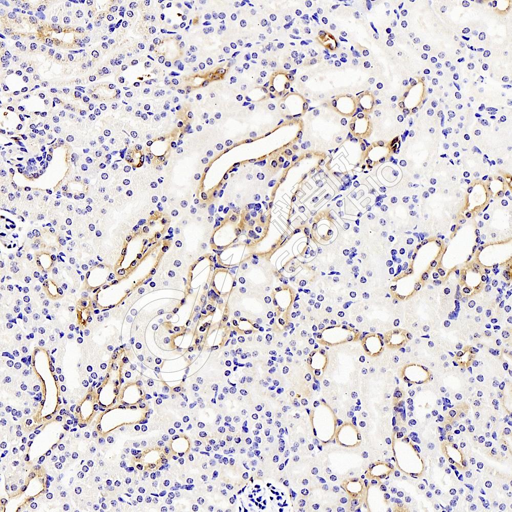
图像
IHC检测Endostatin蛋白(货号 K133987).
样品: 人肾, 4%多聚甲醛 (货号KSG1101) 固定12-24小时.
抗原修复: 柠檬酸抗原修复液(干粉, pH 6.0) (KSG1201), 98℃, 20分钟.
—抗: 1: 1300稀释, 4℃ 孵育过夜.
二抗: S-vision免疫组化多聚二抗(山羊抗兔),即用型 (货号KB3906), 室温孵育20分钟.
IHC检测Endostatin蛋白(货号 K133987).
样品: 小鼠肾, 4%多聚甲醛 (货号KSG1101) 固定12-24小时.
抗原修复: 柠檬酸抗原修复液(干粉, pH 6.0) (KSG1201), 98℃, 20分钟.
—抗: 1: 1300稀释, 4℃ 孵育过夜.
二抗: S-vision免疫组化多聚二抗(山羊抗兔),即用型 (货号KB3906), 室温孵育20分钟.

需要技术支持?

如果您有任何问题或如果您在实验过程中遇到问题,或需要更详细的技术指导,请联系我们的技术支持团队
电话 400-6027-270

联系我们

如果您对我们的公司或产品有任何疑问,欢迎随时联系我们