tel 400-6027-270
Main Image
Anti-COLEC11 兔多克隆抗体
¥1900
加入对比
货号: K1345120-100
预测分子量: 29 kDa
观测分子量: 35 kDa
亚细胞定位: 分泌型
别名: CL K1,CL K1 I,CL K1 II,CL K1 IIa,CL K1 IIb,CLK1,Collectin 11,Collectin kidney protein 1,collectin sub family member 11
应用 | 种属
WB M
IHC/IF H,M,R
规格:
产品信息
蛋白质全称 胶原凝集素11
别名 CL K1,CL K1 I,CL K1 II,CL K1 IIa,CL K1 IIb,CLK1,Collectin 11,Collectin kidney protein 1,collectin sub family member 11
Uniprot ID Q3SXB8
免疫原 KLH偶联的小鼠COLEC11合成肽
抗体亚型 IgG
纯化方式 亲和纯化
亚细胞定位 分泌型
预测分子量./观测分子量. 29 kDa / 35 kDa
应用
WB 免疫印迹
物种:小鼠
稀释比:1:2000-1:3000
阳性样品:—
IHC/IF 免疫组织化学/免疫荧光
物种:人,小鼠,大鼠
稀释比:1:500-1:2000
阳性样品:结肠, 肝, 肝癌
背景
Lectin that plays a role in innate immunity, apoptosis and embryogenesis. Calcium-dependent lectin that binds self and non-self glycoproteins presenting high mannose oligosaccharides with at least one terminal alpha-1,2-linked mannose epitope. Primarily recognizes the terminal disaccharide of the glycan. Also recognizes a subset of fucosylated glycans and lipopolysaccharides. Plays a role in innate immunity through its ability to bind non-self sugars presented by microorganisms and to activate the complement through the recruitment of MAPS1. Also plays a role in apoptosis through its ability to bind in a calcium-independent manner the DNA present at the surface of apoptotic cells and to activate the complement in response to this binding.
储存条件
储存条件:储存条件在:-20℃下储存一年, 避免反复冻融.
储存缓冲液:含0.15% ProClin300防腐剂, 100 μg/mL牛血清白蛋白和50%甘油的磷酸盐缓冲液.
图像
IHC检测COLEC11蛋白(货号 K1345120).
样品: 人肝癌, 4%多聚甲醛 (货号KSG1101) 固定12-24小时.
抗原修复: Tris-EDTA抗原修复液(pH 9.0) (KSG1203), 98℃, 20分钟.
—抗: 1: 1300稀释, 4℃ 孵育过夜.
二抗: S-vision免疫组化多聚二抗(山羊抗兔),即用型 (货号KB3906), 室温孵育20分钟.
IHC检测COLEC11蛋白(货号 K1345120).
样品: 小鼠肝, 4%多聚甲醛 (货号KSG1101) 固定12-24小时.
抗原修复: Tris-EDTA抗原修复液(pH 9.0) (KSG1203), 98℃, 20分钟.
—抗: 1: 1300稀释, 4℃ 孵育过夜.
二抗: S-vision免疫组化多聚二抗(山羊抗兔),即用型 (货号KB3906), 室温孵育20分钟.
IHC检测COLEC11蛋白(货号 K1345120).
样品: 小鼠胰腺, 4%多聚甲醛 (货号KSG1101) 固定12-24小时.
抗原修复: Tris-EDTA抗原修复液(pH 9.0) (KSG1203), 98℃, 20分钟.
—抗: 1: 1300稀释, 4℃ 孵育过夜.
二抗: S-vision免疫组化多聚二抗(山羊抗兔),即用型 (货号KB3906), 室温孵育20分钟.
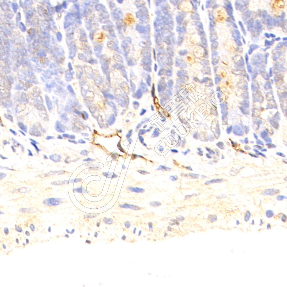
IHC检测COLEC11蛋白(货号 K1345120).
样品: 大鼠结肠, 4%多聚甲醛 (货号KSG1101) 固定12-24小时.
抗原修复: Tris-EDTA抗原修复液(pH 9.0) (KSG1203), 98℃, 20分钟.
—抗: 1: 1300稀释, 4℃ 孵育过夜.
二抗: S-vision免疫组化多聚二抗(山羊抗兔),即用型 (货号KB3906), 室温孵育20分钟.
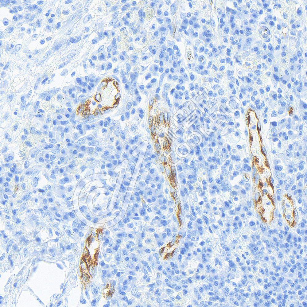
IHC检测COLEC11蛋白(货号 K1345120).
样品: 大鼠胰腺, 4%多聚甲醛 (货号KSG1101) 固定12-24小时.
抗原修复: Tris-EDTA抗原修复液(pH 9.0) (KSG1203), 98℃, 20分钟.
—抗: 1: 1300稀释, 4℃ 孵育过夜.
二抗: S-vision免疫组化多聚二抗(山羊抗兔),即用型 (货号KB3906), 室温孵育20分钟.

需要技术支持?

如果您有任何问题或如果您在实验过程中遇到问题,或需要更详细的技术指导,请联系我们的技术支持团队
电话 400-6027-270

联系我们

如果您对我们的公司或产品有任何疑问,欢迎随时联系我们