tel 400-6027-270
Main Image
Anti-Colec12 兔多克隆抗体
¥1900
加入对比
货号: K1336255-100
亚细胞定位:
别名: Collectin placenta protein 1,CL-P1,Scavenger receptor with C-type lectin,Colec12,Clp1,SRCL,SCARA4,hCL-P1
应用 | 种属
IHC/IF M,R
规格:
产品信息
蛋白质全称 胶原凝集素12
别名 Collectin placenta protein 1,CL-P1,Scavenger receptor with C-type lectin,Colec12,Clp1,SRCL,SCARA4,hCL-P1
Uniprot ID Q8K4Q8
免疫原 小鼠Colec12重组蛋白
抗体亚型 IgG
纯化方式 亲和纯化
亚细胞定位
应用
IHC/IF 免疫组织化学/免疫荧光
物种:小鼠,大鼠
稀释比:1:500-1:1500
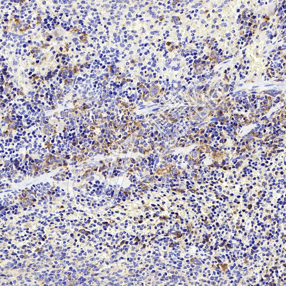
阳性样品:肺
背景
This gene encodes a member of the C-lectin family, proteins that possess collagen-like sequences and carbohydrate recognition domains. This protein is a scavenger receptor, a cell surface glycoprotein that displays several functions associated with host defense. It can bind to carbohydrate antigens on microorganisms, facilitating their recognition and removal. It also mediates the recognition, internalization, and degradation of oxidatively modified low density lipoprotein by vascular endothelial cells.
储存条件
储存条件:储存条件在:-20℃下储存一年, 避免反复冻融.
储存缓冲液:含0.15% ProClin300防腐剂, 100 μg/mL牛血清白蛋白和50%甘油的磷酸盐缓冲液.
图像
IF检测Colec12蛋白(货号 K1336255)(红色).
样品: 小鼠肺, 4%多聚甲醛 (货号KSG1101) 固定12-24小时.
抗原修复: Tris-EDTA抗原修复液(pH 9.0) (KSG1203), 98℃, 20分钟.
封闭: 3% BSA(货号KSGC305010)的PBS溶液, 室温孵育30分钟.
—抗: 1: 1000稀释, 4℃ 孵育过夜.
二抗: Cy3标记山羊抗兔IgG (H+L) (货号KB63909), 1: 300稀释, 室温孵育1小时.
IF检测Colec12蛋白(货号 K1336255)(红色).
样品: 大鼠肺, 4%多聚甲醛 (货号KSG1101) 固定12-24小时.
抗原修复: Tris-EDTA抗原修复液(pH 9.0) (KSG1203), 98℃, 20分钟.
封闭: 3% BSA(货号KSGC305010)的PBS溶液, 室温孵育30分钟.
—抗: 1: 1000稀释, 4℃ 孵育过夜.
二抗: Cy3标记山羊抗兔IgG (H+L) (货号KB63909), 1: 300稀释, 室温孵育1小时.

需要技术支持?

如果您有任何问题或如果您在实验过程中遇到问题,或需要更详细的技术指导,请联系我们的技术支持团队
电话 400-6027-270

联系我们

如果您对我们的公司或产品有任何疑问,欢迎随时联系我们