tel 400-6027-270
Main Image
Anti-Collagen II 小鼠单克隆抗体
¥1900
加入对比
货号: K236063-100
亚细胞定位: 分泌型, 胞外空间, 胞外基质
别名: COL2A1,ANFH,AOM,COL11A3,SEDC,STL1,collagen type II alpha 1,collagen type II alpha 1 chain
应用 | 种属
IHC/IF M,R
规格:
产品信息
蛋白质全称 II 型胶原蛋白α1链
别名 COL2A1,ANFH,AOM,COL11A3,SEDC,STL1,collagen type II alpha 1,collagen type II alpha 1 chain
Uniprot ID P28481
免疫原 小鼠COL2A1重组蛋白
抗体亚型 IgG2a, κ
克隆号 2F12D3
纯化方式 亲和纯化
亚细胞定位 分泌型, 胞外空间, 胞外基质
应用
IHC/IF 免疫组织化学/免疫荧光
物种:小鼠,大鼠
稀释比:1:700-1:2500
阳性样品:骨
背景
Type II collagen is specific for cartilaginous tissues. It is essential for the normal embryonic development of the skeleton, for linear growth and for the ability of cartilage to resist compressive forces.
储存条件
储存条件:储存条件在:-20℃下储存一年, 避免反复冻融.
储存缓冲液:含0.15% ProClin300防腐剂, 100 μg/mL牛血清白蛋白和50%甘油的磷酸盐缓冲液.
图像
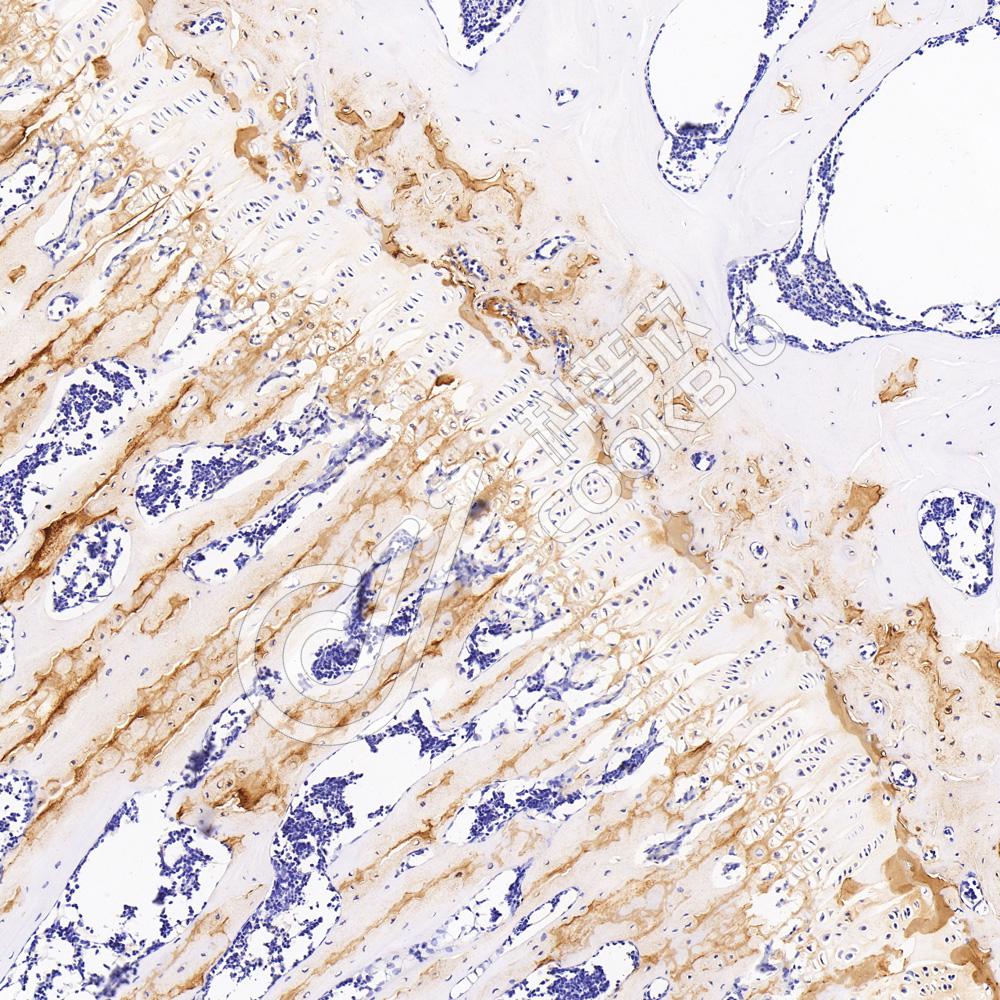
IHC检测Collagen II蛋白(货号 K236063).
样品: 小鼠骨, 4%多聚甲醛 (货号KSG1101) 固定12-24小时.
抗原修复: 柠檬酸抗原修复液(干粉, pH 6.0) (KSG1201), 98℃, 20分钟.
—抗: 1: 1600稀释, 4℃ 孵育过夜.
二抗: S-vision免疫组化多聚二抗(山羊抗小鼠), 即用型(货号KB3903), 室温孵育20分钟.
IHC检测Collagen II蛋白(货号 K236063).
样品: 大鼠骨, 4%多聚甲醛 (货号KSG1101) 固定12-24小时.
抗原修复: 柠檬酸抗原修复液(干粉, pH 6.0) (KSG1201), 98℃, 20分钟.
—抗: 1: 1600稀释, 4℃ 孵育过夜.
二抗: S-vision免疫组化多聚二抗(山羊抗小鼠), 即用型(货号KB3903), 室温孵育20分钟.

需要技术支持?

如果您有任何问题或如果您在实验过程中遇到问题,或需要更详细的技术指导,请联系我们的技术支持团队
电话 400-6027-270

联系我们

如果您对我们的公司或产品有任何疑问,欢迎随时联系我们