tel 400-6027-270
Main Image
Anti-Choline Acetyltransferase 兔多克隆抗体
¥1900
加入对比
货号: K133210-1-100
亚细胞定位: 细胞质, 胞质溶胶, 细胞核, 突触前膜
别名: CHOACTase,CHAT,Choline acetylase,Acetyl CoA:choline O acetyltransferase,CMS1A,  CHOACTASE,CMS1A2,CMS6,choline O-acetyltransferase
应用 | 种属
IHC/IF M,R
规格:
产品信息
蛋白质全称 胆碱 O-乙酰转移酶
别名 CHOACTase,CHAT,Choline acetylase,Acetyl CoA:choline O acetyltransferase,CMS1A,  CHOACTASE,CMS1A2,CMS6,choline O-acetyltransferase
Uniprot ID Q03059
免疫原 小鼠ChAT重组蛋白
抗体亚型 IgG
纯化方式 亲和纯化
亚细胞定位 细胞质, 胞质溶胶, 细胞核, 突触前膜
应用
IHC/IF 免疫组织化学/免疫荧光
物种:小鼠,大鼠
稀释比:1:1000-1:2000
阳性样品:脑
背景
Choline acetyltransferase (commonly abbreviated as ChAT, but sometimes CAT) is a transferase enzyme responsible for the synthesis of the neurotransmitter acetylcholine. ChAT catalyzes the transfer of an acetyl group from the coenzyme acetyl-CoA to choline, yielding acetylcholine (ACh). ChAT is found in high concentration in cholinergic neurons, both in the central nervous system (CNS) and peripheral nervous system (PNS).
储存条件
储存条件:储存条件在:-20℃下储存一年, 避免反复冻融.
储存缓冲液:含0.15% ProClin300防腐剂, 100 μg/mL牛血清白蛋白和50%甘油的磷酸盐缓冲液.
图像
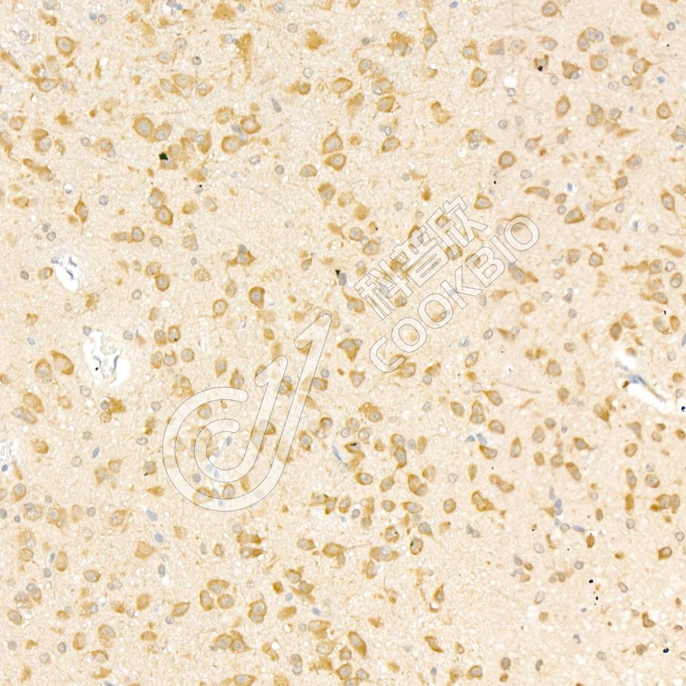
IHC检测Choline Acetyltransferase蛋白(货号 K133210-1).
样品: 大鼠脑, 4%多聚甲醛 (货号KSG1101) 固定12-24小时.
抗原修复: 柠檬酸抗原修复液(干粉, pH 6.0) (KSG1201), 98℃, 20分钟.
—抗: 1: 1500稀释, 4℃ 孵育过夜.
二抗: S-vision免疫组化多聚二抗(山羊抗兔),即用型 (货号KB3906), 室温孵育20分钟.
IF检测Choline Acetyltransferase蛋白(货号 K133210-1)(红色).
样品: 大鼠脑, 4%多聚甲醛 (货号KSG1101) 固定12-24小时.
抗原修复: Tris-EDTA抗原修复液(pH 9.0) (KSG1203), 98℃, 20分钟.
封闭: 3% BSA(货号KSGC305010)的PBS溶液, 室温孵育30分钟.
—抗: 1: 1500稀释, 4℃ 孵育过夜.
二抗: Cy3标记山羊抗兔IgG (H+L) (货号KB63909), 1: 300稀释, 室温孵育1小时.

需要技术支持?

如果您有任何问题或如果您在实验过程中遇到问题,或需要更详细的技术指导,请联系我们的技术支持团队
电话 400-6027-270

联系我们

如果您对我们的公司或产品有任何疑问,欢迎随时联系我们