tel 400-6027-270
Main Image
Anti-IL-1R-2 兔多克隆抗体
¥1900
加入对比
货号: K134809-100
亚细胞定位: 分泌型, 细胞膜
别名: IL1R2,CD121b,CDw121b,IL-1R-2,IL-1RT-2,IL-1RT2,IL1R2c,IL1RB,Interleukin 1 receptor,type II,interleukin 1 receptor type 2,IL1 Receptor II
应用 | 种属
IHC/IF M
规格:
产品信息
蛋白质全称 白细胞介素-1受体2型
别名 IL1R2,CD121b,CDw121b,IL-1R-2,IL-1RT-2,IL-1RT2,IL1R2c,IL1RB,Interleukin 1 receptor,type II,interleukin 1 receptor type 2,IL1 Receptor II
Uniprot ID P27931
免疫原 小鼠IL1 Receptor II重组蛋白
抗体亚型 IgG
纯化方式 亲和纯化
亚细胞定位 分泌型, 细胞膜
应用
IHC/IF 免疫组织化学/免疫荧光
物种:小鼠
稀释比:1:100-1:600
阳性样品:肺炎, 脾
背景
The protein encoded by this gene is a decoy receptor for certain cytokines that belongs to the interleukin-1 receptor family. This protein binds interleukin-1α (IL1A), interleukin-1β (IL1B), and interleukin 1 receptor antagonist (IL1Ra), preventing them from binding to their regular receptors and thereby inhibiting the transduction of their signaling. IL-1R2 protein also interacts non-productively with the second component of the signalling IL-1 receptor, namely IL-1RAcP, and a complex of the IL-1R2 and IL-1RAcP extracellular domains with interleukin-1 beta has been solved by X-ray crystallography.
储存条件
储存条件:储存条件在:-20℃下储存一年, 避免反复冻融.
储存缓冲液:含0.15% ProClin300防腐剂, 100 μg/mL牛血清白蛋白和50%甘油的磷酸盐缓冲液.
图像
IHC检测IL-1R-2蛋白(货号 K134809).
样品: 小鼠肺炎, 4%多聚甲醛 (货号KSG1101) 固定12-24小时.
抗原修复: 柠檬酸抗原修复液(干粉, pH 6.0) (KSG1201), 98℃, 20分钟.
—抗: 1: 400稀释, 4℃ 孵育过夜.
二抗: S-vision免疫组化多聚二抗(山羊抗兔),即用型 (货号KB3906), 室温孵育20分钟.
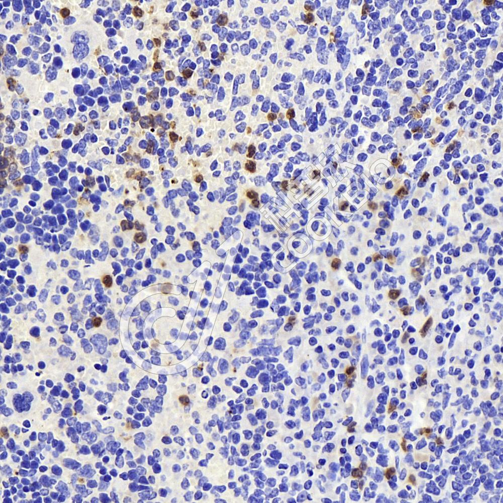
IHC检测IL-1R-2蛋白(货号 K134809).
样品: 小鼠脾, 4%多聚甲醛 (货号KSG1101) 固定12-24小时.
抗原修复: 柠檬酸抗原修复液(干粉, pH 6.0) (KSG1201), 98℃, 20分钟.
—抗: 1: 400稀释, 4℃ 孵育过夜.
二抗: S-vision免疫组化多聚二抗(山羊抗兔),即用型 (货号KB3906), 室温孵育20分钟.

需要技术支持?

如果您有任何问题或如果您在实验过程中遇到问题,或需要更详细的技术指导,请联系我们的技术支持团队
电话 400-6027-270

联系我们

如果您对我们的公司或产品有任何疑问,欢迎随时联系我们