tel 400-6027-270
Main Image
Anti-Visfatin 兔多克隆抗体
¥1900
加入对比
货号: K1340434-100
亚细胞定位: 细胞质, 细胞核, 分泌型
别名: 1110035O14Rik,NAmPRTase,NAMPT,PBEF,PBEF1,Pre-B-cell enhancing factor,VF,VISFATIN
应用 | 种属
IHC/IF H,M,R
规格:
产品信息
蛋白质全称 烟酰胺磷酸核糖转移酶
别名 1110035O14Rik,NAmPRTase,NAMPT,PBEF,PBEF1,Pre-B-cell enhancing factor,VF,VISFATIN
Uniprot ID Q99KQ4
免疫原 小鼠Visfatin重组蛋白
抗体亚型 IgG
纯化方式 亲和纯化
亚细胞定位 细胞质, 细胞核, 分泌型
应用
IHC/IF 免疫组织化学/免疫荧光
物种:人,小鼠,大鼠
稀释比:1:400-1:800
阳性样品:结肠
背景
Nicotinamide phosphoribosyltransferase(NAMPT) has two usual synonyms termed Visfatin and PBEF. Its primary role is to catalyze the condensation of nicotinamide with 5-phosphoribosyl-1-pyrophosphate to yield nicotinamide mononucleotide, an intermediate in the biosynthesis of NAD, which is the rate limiting component in the mammalian NAD biosynthesis pathway. NAMPT is expressed in large amounts in bone marrow, liver tissue, and muscle tissues.
储存条件
储存条件:储存条件在:-20℃下储存一年, 避免反复冻融.
储存缓冲液:含0.15% ProClin300防腐剂, 100 μg/mL牛血清白蛋白和50%甘油的磷酸盐缓冲液.
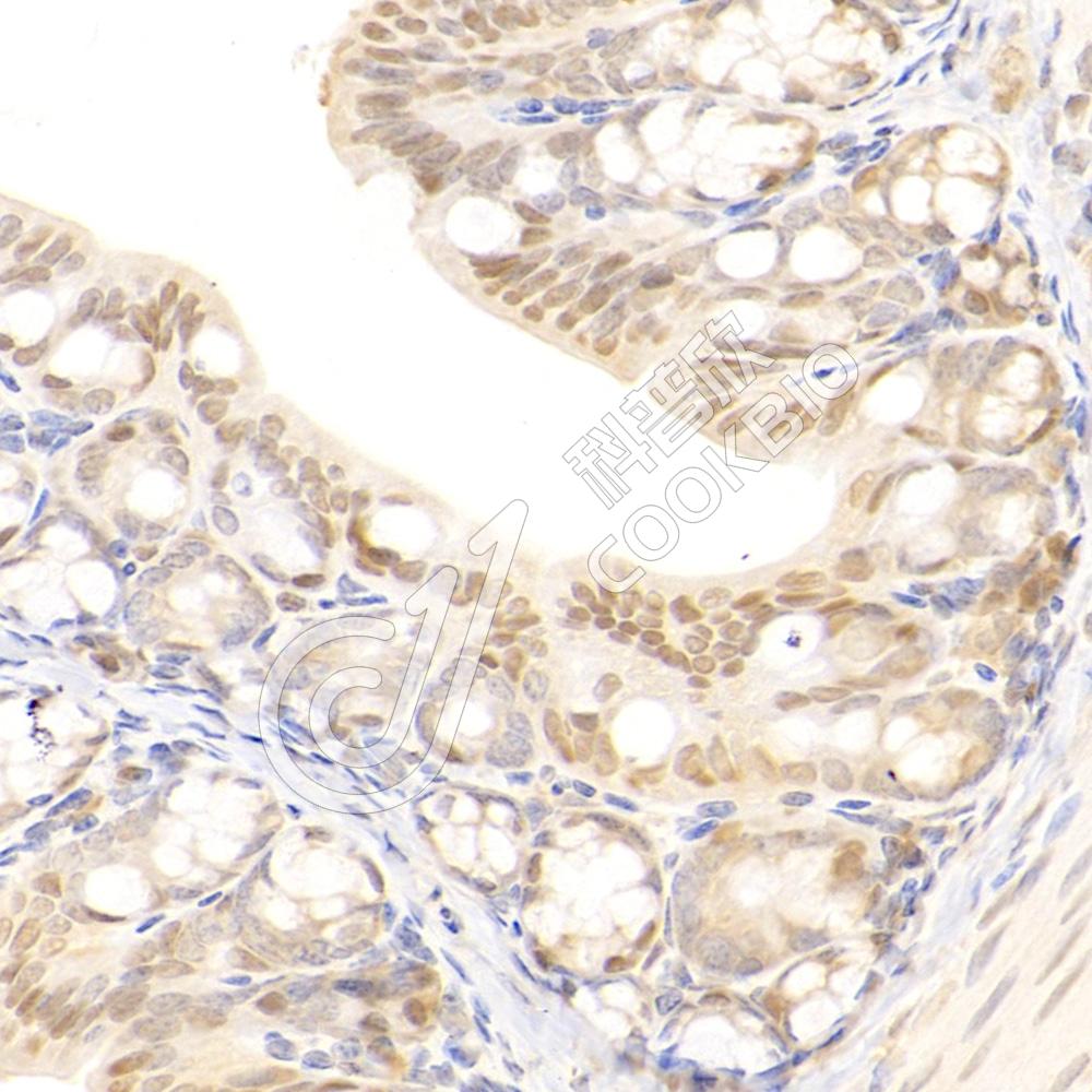
图像
IHC检测Visfatin蛋白(货号 K1340434).
样品: 人结肠, 4%多聚甲醛 (货号KSG1101) 固定12-24小时.
抗原修复: 柠檬酸抗原修复液(干粉, pH 6.0) (KSG1201), 98℃, 20分钟.
—抗: 1: 600稀释, 4℃ 孵育过夜.
二抗: S-vision免疫组化多聚二抗(山羊抗兔),即用型 (货号KB3906), 室温孵育20分钟.
IHC检测Visfatin蛋白(货号 K1340434).
样品: 小鼠结肠, 4%多聚甲醛 (货号KSG1101) 固定12-24小时.
抗原修复: 柠檬酸抗原修复液(干粉, pH 6.0) (KSG1201), 98℃, 20分钟.
—抗: 1: 600稀释, 4℃ 孵育过夜.
二抗: S-vision免疫组化多聚二抗(山羊抗兔),即用型 (货号KB3906), 室温孵育20分钟.
IHC检测Visfatin蛋白(货号 K1340434).
样品: 大鼠结肠, 4%多聚甲醛 (货号KSG1101) 固定12-24小时.
抗原修复: 柠檬酸抗原修复液(干粉, pH 6.0) (KSG1201), 98℃, 20分钟.
—抗: 1: 600稀释, 4℃ 孵育过夜.
二抗: S-vision免疫组化多聚二抗(山羊抗兔),即用型 (货号KB3906), 室温孵育20分钟.

需要技术支持?

如果您有任何问题或如果您在实验过程中遇到问题,或需要更详细的技术指导,请联系我们的技术支持团队
电话 400-6027-270

联系我们

如果您对我们的公司或产品有任何疑问,欢迎随时联系我们