tel 400-6027-270
Main Image
Anti-LAT 兔多克隆抗体
¥1900
加入对比
货号: K1333369-100
预测分子量: 26 kDa
观测分子量: 38 kDa
亚细胞定位: 细胞膜
别名: 36 kDa phospho-tyrosine adapter protein,pp36,p36-38,Lat
应用 | 种属
WB M,R
IHC/IF H,M,R
规格:
产品信息
蛋白质全称 T细胞活化连接蛋白家族成员1
别名 36 kDa phospho-tyrosine adapter protein,pp36,p36-38,Lat
Uniprot ID O54957
免疫原 小鼠LAT重组蛋白
抗体亚型 IgG
纯化方式 亲和纯化
亚细胞定位 细胞膜
预测分子量./观测分子量. 26 kDa / 38 kDa
应用
WB 免疫印迹
物种:小鼠,大鼠
稀释比:1:500-1:1000
阳性样品:脾
IHC/IF 免疫组织化学/免疫荧光
物种:人,小鼠,大鼠
稀释比:1:500-1:4000
阳性样品:结肠, 结肠癌
背景
Linker for activation of T-cells family member 1 (LAT) is a single-pass type III membrane protein which is required for TCR (T-cell antigen receptor) and pre-TCR-mediated signaling, both in mature T-cells and during their development This protein is involved in FCGR3 (low affinity immunoglobulin gamma Fc region receptor III)-mediated signaling in natural killer cells and FCER1 (high affinity immunoglobulin epsilon receptor)-mediated signaling in mast cells.
储存条件
储存条件:储存条件在:-20℃下储存一年, 避免反复冻融.
储存缓冲液:含0.15% ProClin300防腐剂, 100 μg/mL牛血清白蛋白和50%甘油的磷酸盐缓冲液.
图像
WB检测LAT蛋白(货号 K1333369).
样品: 经RIPA裂解液(货号KSG2002)处理的蛋白质.
封闭: 3%脱脂牛奶(货号KSGC310001)溶于TBST溶液, 室温孵育1小时.
—抗: 1: 1000稀释, 4℃ 孵育过夜.
二抗: HRP标记山羊抗兔IgG (H+L) (货号KB69909), 1: 5000稀释, 室温孵育1小时.
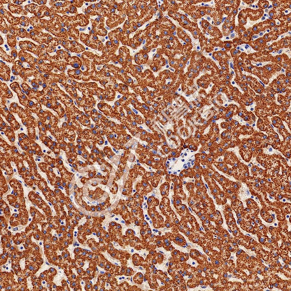
IF检测LAT蛋白(货号 K1333369)(红色).
样品: 人结肠癌, 4%多聚甲醛 (货号KSG1101) 固定12-24小时.
抗原修复: Tris-EDTA抗原修复液(pH 9.0) (KSG1203), 98℃, 20分钟.
封闭: 3% BSA(货号KSGC305010)的PBS溶液, 室温孵育30分钟.
—抗: 1: 2300稀释, 4℃ 孵育过夜.
二抗: Cy3标记山羊抗兔IgG (H+L) (货号KB63909), 1: 300稀释, 室温孵育1小时.
IF检测LAT蛋白(货号 K1333369)(红色).
样品: 小鼠结肠癌, 4%多聚甲醛 (货号KSG1101) 固定12-24小时.
抗原修复: Tris-EDTA抗原修复液(pH 9.0) (KSG1203), 98℃, 20分钟.
封闭: 3% BSA(货号KSGC305010)的PBS溶液, 室温孵育30分钟.
—抗: 1: 2300稀释, 4℃ 孵育过夜.
二抗: Cy3标记山羊抗兔IgG (H+L) (货号KB63909), 1: 300稀释, 室温孵育1小时.
IF检测LAT蛋白(货号 K1333369)(红色).
样品: 大鼠结肠, 4%多聚甲醛 (货号KSG1101) 固定12-24小时.
抗原修复: Tris-EDTA抗原修复液(pH 9.0) (KSG1203), 98℃, 20分钟.
封闭: 3% BSA(货号KSGC305010)的PBS溶液, 室温孵育30分钟.
—抗: 1: 2300稀释, 4℃ 孵育过夜.
二抗: Cy3标记山羊抗兔IgG (H+L) (货号KB63909), 1: 300稀释, 室温孵育1小时.

需要技术支持?

如果您有任何问题或如果您在实验过程中遇到问题,或需要更详细的技术指导,请联系我们的技术支持团队
电话 400-6027-270

联系我们

如果您对我们的公司或产品有任何疑问,欢迎随时联系我们