tel 400-6027-270
Main Image
Anti-PFKL 兔多克隆抗体
¥1900
加入对比
货号: K1333408-100
亚细胞定位: 细胞质
别名: ATP-PFK,PFK-L,PFK-B,PFKL,6-phosphofructokinase type B,Phosphofructo-1-kinase isozyme B
应用 | 种属
IHC/IF H
规格:
产品信息
蛋白质全称 ATP依赖性6-磷酸果糖激酶(肝型)
别名 ATP-PFK,PFK-L,PFK-B,PFKL,6-phosphofructokinase type B,Phosphofructo-1-kinase isozyme B
Uniprot ID P17858
免疫原 人PFKL重组蛋白
抗体亚型 IgG
纯化方式 亲和纯化
亚细胞定位 细胞质
应用
IHC/IF 免疫组织化学/免疫荧光
物种:人
稀释比:1:1000-1:3000
阳性样品:肝, 前列腺
背景
PFKL is the Liver isozyme of PFK (Phosphofructokinase), which is a tetrameric enzyme that catalyzes a key step in glycolysis, namely the conversion of D-fructose 6-phosphate to D-fructose 1,6-bisphosphate by ATP. Negatively regulates the phagocyte oxidative burst in response to bacterial infection by controlling cellular NADPH biosynthesis and NADPH oxidase-derived reactive oxygen species. Upon macrophage activation, drives the metabolic switch toward glycolysis, thus preventing glucose turnover that produces NADPH via pentose phosphate pathway.
储存条件
储存条件:储存条件在:-20℃下储存一年, 避免反复冻融.
储存缓冲液:含0.15% ProClin300防腐剂, 100 μg/mL牛血清白蛋白和50%甘油的磷酸盐缓冲液.
图像
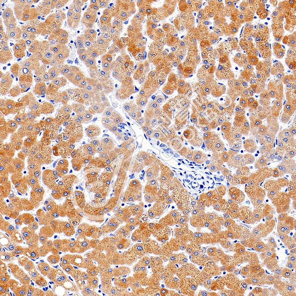
IHC检测PFKL蛋白(货号 K1333408).
样品: 人肝, 4%多聚甲醛 (货号KSG1101) 固定12-24小时.
抗原修复: 柠檬酸抗原修复液(干粉, pH 6.0) (KSG1201), 98℃, 20分钟.
—抗: 1: 2000稀释, 4℃ 孵育过夜.
二抗: S-vision免疫组化多聚二抗(山羊抗兔),即用型 (货号KB3906), 室温孵育20分钟.
IHC检测PFKL蛋白(货号 K1333408).
样品: 人前列腺, 4%多聚甲醛 (货号KSG1101) 固定12-24小时.
抗原修复: 柠檬酸抗原修复液(干粉, pH 6.0) (KSG1201), 98℃, 20分钟.
—抗: 1: 2000稀释, 4℃ 孵育过夜.
二抗: S-vision免疫组化多聚二抗(山羊抗兔),即用型 (货号KB3906), 室温孵育20分钟.

需要技术支持?

如果您有任何问题或如果您在实验过程中遇到问题,或需要更详细的技术指导,请联系我们的技术支持团队
电话 400-6027-270

联系我们

如果您对我们的公司或产品有任何疑问,欢迎随时联系我们