tel 400-6027-270
Main Image
Anti-CHST8 兔多克隆抗体
¥1900
加入对比
货号: K1339402-100
亚细胞定位: 高尔基体
别名: CHST8,GalNAc 4 O sulfotransferase 1,GalNAc 4 ST1,GalNAc4ST,GALNAC4ST1,N-acetylgalactosamine-4-O-sulfotransferase 1
应用 | 种属
IHC/IF M,R
规格:
产品信息
蛋白质全称 碳水化合物磺基转移酶8
别名 CHST8,GalNAc 4 O sulfotransferase 1,GalNAc 4 ST1,GalNAc4ST,GALNAC4ST1,N-acetylgalactosamine-4-O-sulfotransferase 1
Uniprot ID Q8BQ86
免疫原 小鼠CHST8重组蛋白
抗体亚型 IgG
纯化方式 亲和纯化
亚细胞定位 高尔基体
应用
IHC/IF 免疫组织化学/免疫荧光
物种:小鼠,大鼠
稀释比:1:1500-1:3000
阳性样品:脑垂体
背景
The protein encoded by this gene belongs to the sulfotransferase 2 family. It is predominantly expressed in the pituitary gland, and is localized to the golgi membrane. This protein catalyzes the transfer of sulfate to position 4 of non-reducing N-acetylgalactosamine (GalNAc) residues in both N-glycans and O-glycans. It is responsible for sulfation of GalNAc on luteinizing hormone (LH), which is required for production of the sex hormones. Mice lacking this enzyme, exhibit increased levels of circulating LH, and precocious sexual maturation of both male and female mice. Alternatively spliced transcript variants have been found for this gene.
储存条件
储存条件:储存条件在:-20℃下储存一年, 避免反复冻融.
储存缓冲液:含0.15% ProClin300防腐剂, 100 μg/mL牛血清白蛋白和50%甘油的磷酸盐缓冲液.
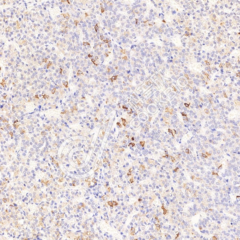
图像
IHC检测CHST8蛋白(货号 K1339402).
样品: 小鼠脑垂体, 4%多聚甲醛 (货号KSG1101) 固定12-24小时.
抗原修复: 柠檬酸抗原修复液(干粉, pH 6.0) (KSG1201), 98℃, 20分钟.
—抗: 1: 2300稀释, 4℃ 孵育过夜.
二抗: S-vision免疫组化多聚二抗(山羊抗兔),即用型 (货号KB3906), 室温孵育20分钟.
IHC检测CHST8蛋白(货号 K1339402).
样品: 大鼠脑垂体, 4%多聚甲醛 (货号KSG1101) 固定12-24小时.
抗原修复: 柠檬酸抗原修复液(干粉, pH 6.0) (KSG1201), 98℃, 20分钟.
—抗: 1: 2300稀释, 4℃ 孵育过夜.
二抗: S-vision免疫组化多聚二抗(山羊抗兔),即用型 (货号KB3906), 室温孵育20分钟.

需要技术支持?

如果您有任何问题或如果您在实验过程中遇到问题,或需要更详细的技术指导,请联系我们的技术支持团队
电话 400-6027-270

联系我们

如果您对我们的公司或产品有任何疑问,欢迎随时联系我们