tel 400-6027-270
Main Image
Anti-CD30 兔多克隆抗体
¥1900
加入对比
货号: K1333420-100
亚细胞定位: 细胞膜
别名: CD30L receptor,Lymphocyte activation antigen CD30,CD30,Tnfrsf8
应用 | 种属
IHC/IF H,M,R
规格:
产品信息
蛋白质全称 肿瘤坏死因子受体超家族成员8
别名 CD30L receptor,Lymphocyte activation antigen CD30,CD30,Tnfrsf8
Uniprot ID Q60846
免疫原 小鼠CD30重组蛋白
抗体亚型 IgG
纯化方式 亲和纯化
亚细胞定位 细胞膜
应用
IHC/IF 免疫组织化学/免疫荧光
物种:人,小鼠,大鼠
稀释比:1:500-1:1000
阳性样品:淋巴结, 脾
背景
CD30 is a transmembrane glycoprotein belonging to the tumor necrosis factor receptor super family. CD30 expression is found on activated T and B cells. May play a role in the regulation of cellular growth and transformation of activated lymphoblasts. Regulates gene expression through activation of NF-kappa-B. CD30 is useful in diagnosis of classic Hodgkin's lymphoma, anaplastic large cell lymphoma and embryonal carcinoma.
储存条件
储存条件:储存条件在:-20℃下储存一年, 避免反复冻融.
储存缓冲液:含0.15% ProClin300防腐剂, 100 μg/mL牛血清白蛋白和50%甘油的磷酸盐缓冲液.
图像
IHC检测CD30蛋白(货号 K1333420).
样品: 人淋巴结, 4%多聚甲醛 (货号KSG1101) 固定12-24小时.
抗原修复: 柠檬酸抗原修复液(干粉, pH 6.0) (KSG1201), 98℃, 20分钟.
—抗: 1: 800稀释, 4℃ 孵育过夜.
二抗: S-vision免疫组化多聚二抗(山羊抗兔),即用型 (货号KB3906), 室温孵育20分钟.
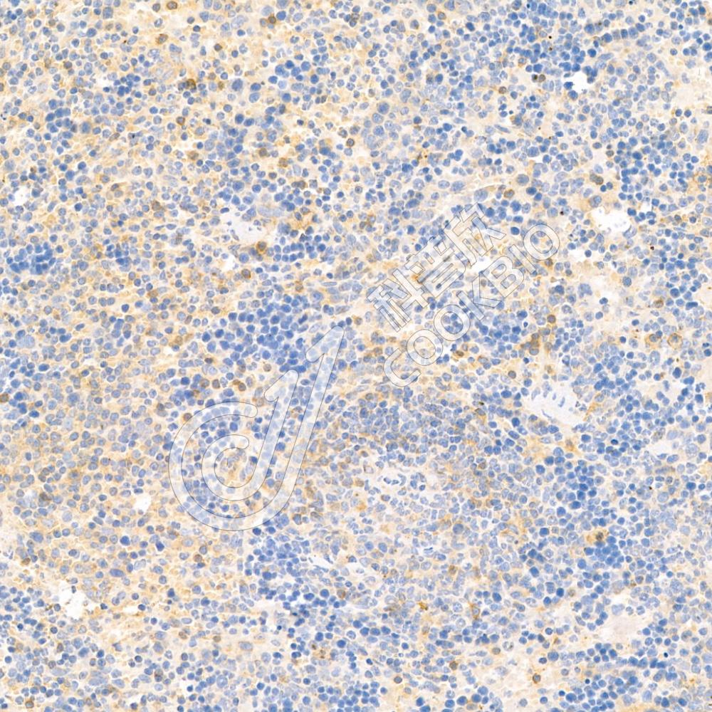
IHC检测CD30蛋白(货号 K1333420).
样品: 小鼠淋巴结, 4%多聚甲醛 (货号KSG1101) 固定12-24小时.
抗原修复: 柠檬酸抗原修复液(干粉, pH 6.0) (KSG1201), 98℃, 20分钟.
—抗: 1: 800稀释, 4℃ 孵育过夜.
二抗: S-vision免疫组化多聚二抗(山羊抗兔),即用型 (货号KB3906), 室温孵育20分钟.
IHC检测CD30蛋白(货号 K1333420).
样品: 小鼠脾, 4%多聚甲醛 (货号KSG1101) 固定12-24小时.
抗原修复: 柠檬酸抗原修复液(干粉, pH 6.0) (KSG1201), 98℃, 20分钟.
—抗: 1: 800稀释, 4℃ 孵育过夜.
二抗: S-vision免疫组化多聚二抗(山羊抗兔),即用型 (货号KB3906), 室温孵育20分钟.
IHC检测CD30蛋白(货号 K1333420).
样品: 大鼠淋巴结, 4%多聚甲醛 (货号KSG1101) 固定12-24小时.
抗原修复: 柠檬酸抗原修复液(干粉, pH 6.0) (KSG1201), 98℃, 20分钟.
—抗: 1: 800稀释, 4℃ 孵育过夜.
二抗: S-vision免疫组化多聚二抗(山羊抗兔),即用型 (货号KB3906), 室温孵育20分钟.

需要技术支持?

如果您有任何问题或如果您在实验过程中遇到问题,或需要更详细的技术指导,请联系我们的技术支持团队
电话 400-6027-270

联系我们

如果您对我们的公司或产品有任何疑问,欢迎随时联系我们