tel 400-6027-270
Main Image
Anti-Gastrin releasing peptide 兔多克隆抗体
¥1900
加入对比
货号: K1333501-100
预测分子量: 16 kDa
观测分子量: 19 kDa
别名: GRP,BN,GRP-10,preproprogastrin releasing peptide
应用 | 种属
WB M,R
规格:
产品信息
蛋白质全称 胃泌素释放肽
别名 GRP,BN,GRP-10,preproprogastrin releasing peptide
Uniprot ID Q8R1I2
免疫原 小鼠GRP重组蛋白
抗体亚型 IgG
纯化方式 亲和纯化
预测分子量./观测分子量. 16 kDa / 19 kDa
应用
WB 免疫印迹
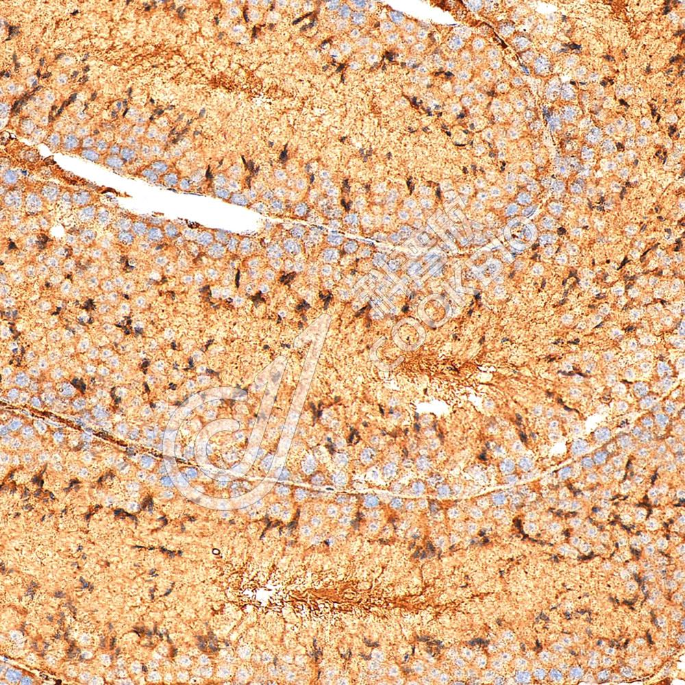
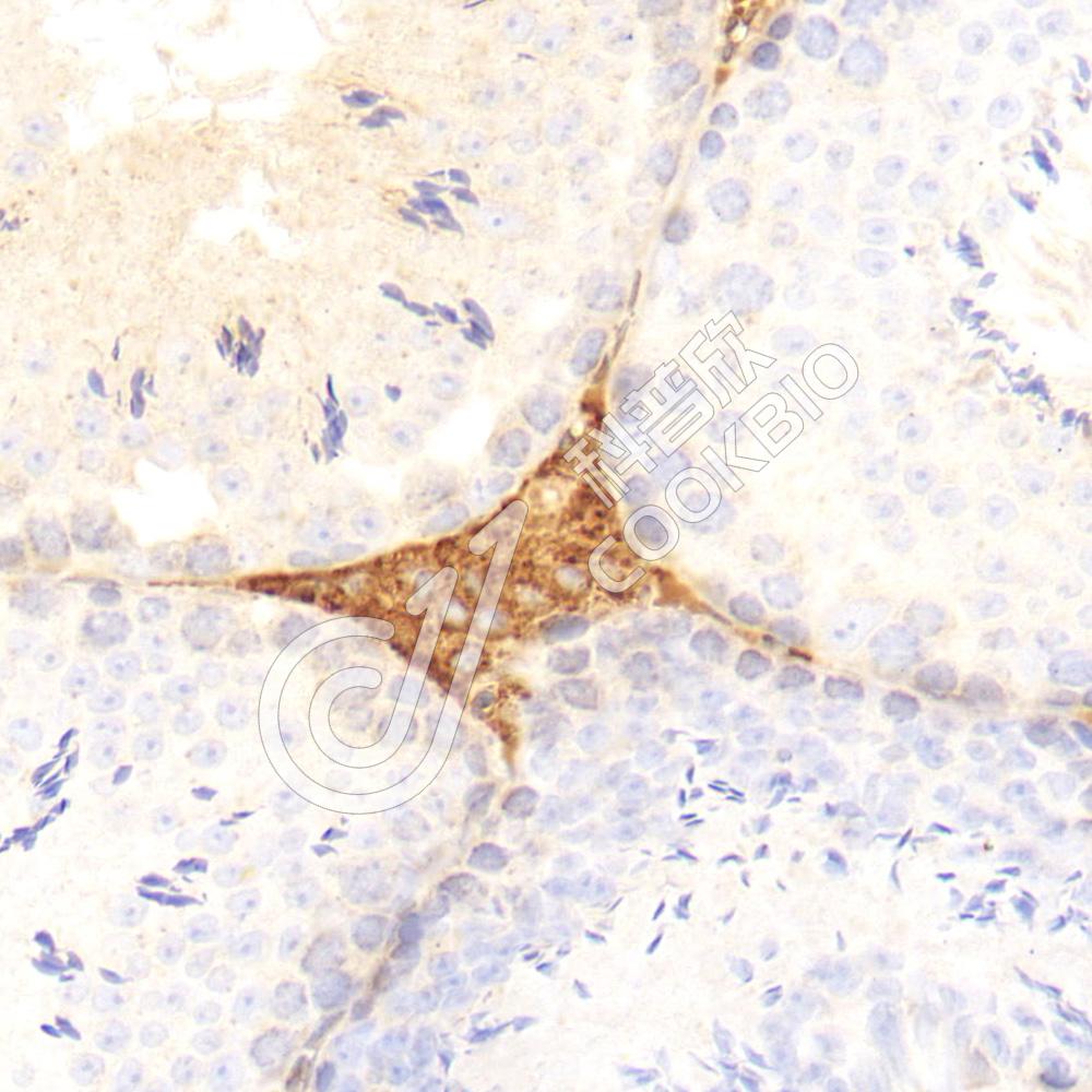
物种:小鼠,大鼠
稀释比:1:500-1:1000
阳性样品:脑
背景
This gene encodes a member of the bombesin-like family of gastrin-releasing peptides. The encoded preproprotein is proteolytically processed to generate two peptides, gastrin-releasing peptide and neuromedin-C. These peptides regulate numerous functions of the gastrointestinal and central nervous systems, including release of gastrointestinal hormones, smooth muscle cell contraction, and epithelial cell proliferation. These peptides are also likely to play a role in human cancers of the lung, colon, stomach, pancreas, breast, and prostate.
储存条件
储存条件:储存条件在:-20℃下储存一年, 避免反复冻融.
储存缓冲液:含0.15% ProClin300防腐剂, 100 μg/mL牛血清白蛋白和50%甘油的磷酸盐缓冲液.
图像
WB检测Gastrin releasing peptide蛋白(货号 K1333501).
样品: 经RIPA裂解液(货号KSG2002)处理的蛋白质.
封闭: 3%脱脂牛奶(货号KSGC310001)溶于TBST溶液, 室温孵育1小时.
—抗: 1: 1000稀释, 4℃ 孵育过夜.
二抗: HRP标记山羊抗兔IgG (H+L) (货号KB69909), 1: 5000稀释, 室温孵育1小时.

需要技术支持?

如果您有任何问题或如果您在实验过程中遇到问题,或需要更详细的技术指导,请联系我们的技术支持团队
电话 400-6027-270

联系我们

如果您对我们的公司或产品有任何疑问,欢迎随时联系我们