tel 400-6027-270
Main Image
Anti-TSH beta 兔多克隆抗体
¥1900
加入对比
货号: K1337614-100
亚细胞定位: 分泌型
别名: Thyroid stimulating hormone beta subunit,Thyroid stimulating hormone,Beta precursor,Thyrotropin beta subunit,TSH-beta,CHNG4,Thyrotropin beta chain,TSHB,Thyrotropin alfa,Thyroid-stimulating hormone subunit beta,TSH-B,Thyrotropin beta chain
应用 | 种属
IHC/IF M,R
规格:
产品信息
蛋白质全称 促甲状腺激素β亚基
别名 Thyroid stimulating hormone beta subunit,Thyroid stimulating hormone,Beta precursor,Thyrotropin beta subunit,TSH-beta,CHNG4,Thyrotropin beta chain,TSHB,Thyrotropin alfa,Thyroid-stimulating hormone subunit beta,TSH-B,Thyrotropin beta chain
Uniprot ID P01222
免疫原 人TSH beta重组蛋白
抗体亚型 IgG
纯化方式 亲和纯化
亚细胞定位 分泌型
应用
IHC/IF 免疫组织化学/免疫荧光
物种:小鼠,大鼠
稀释比:1:200-1:800
阳性样品:脑垂体
背景
The protein encoded by this gene is the beta subunit of thyroid stimulating hormone. Thyroid stimulating hormone functions in the control of thyroid structure and metabolism. Mutations in this gene are associated with congenital central and secondary hypothyroidism and Hashimoto's thyroiditis. Alternative splicing of this gene results in multiple transcript variants.
储存条件
储存条件:储存条件在:-20℃下储存一年, 避免反复冻融.
储存缓冲液:含0.15% ProClin300防腐剂, 100 μg/mL牛血清白蛋白和50%甘油的磷酸盐缓冲液.
图像
IHC检测TSH beta蛋白(货号 K1337614).
样品: 小鼠脑垂体, 4%多聚甲醛 (货号KSG1101) 固定12-24小时.
抗原修复: 柠檬酸抗原修复液(干粉, pH 6.0) (KSG1201), 98℃, 20分钟.
—抗: 1: 500稀释, 4℃ 孵育过夜.
二抗: S-vision免疫组化多聚二抗(山羊抗兔),即用型 (货号KB3906), 室温孵育20分钟.
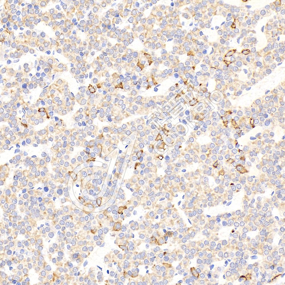
IHC检测TSH beta蛋白(货号 K1337614).
样品: 大鼠脑垂体, 4%多聚甲醛 (货号KSG1101) 固定12-24小时.
抗原修复: 柠檬酸抗原修复液(干粉, pH 6.0) (KSG1201), 98℃, 20分钟.
—抗: 1: 500稀释, 4℃ 孵育过夜.
二抗: S-vision免疫组化多聚二抗(山羊抗兔),即用型 (货号KB3906), 室温孵育20分钟.

需要技术支持?

如果您有任何问题或如果您在实验过程中遇到问题,或需要更详细的技术指导,请联系我们的技术支持团队
电话 400-6027-270

联系我们

如果您对我们的公司或产品有任何疑问,欢迎随时联系我们