tel 400-6027-270
Main Image
Anti-Corticotropin Releasing Factor Receptor 2 兔多克隆抗体
¥1900
加入对比
货号: K135124-100
亚细胞定位:
别名: Crhr2,CRHR2,CRF-RB,CRF2,CRFR2,HM-CRF,Corticotropin releasing hormone receptor 2
应用 | 种属
IHC/IF M,R
规格:
产品信息
蛋白质全称 促肾上腺皮质激素释放因子受体 2
别名 Crhr2,CRHR2,CRF-RB,CRF2,CRFR2,HM-CRF,Corticotropin releasing hormone receptor 2
Uniprot ID Q60748
免疫原 KLH偶联的小鼠Corticotropin Releasing Factor Receptor 2合成肽
抗体亚型 IgG
纯化方式 亲和纯化
亚细胞定位
应用
IHC/IF 免疫组织化学/免疫荧光
物种:小鼠,大鼠
稀释比:1:250-1:1000
阳性样品:肺
背景
The protein encoded by the CRHR2 gene belongs to the G-protein coupled receptor 2 family, and the subfamily of corticotropin releasing hormone receptor. This receptor shows high affinity for corticotropin releasing hormone (CRH), and also binds CRH-related peptides such as urocortin. CRH is synthesized in the hypothalamus, and plays an important role in coordinating the endocrine, autonomic, and behavioral responses to stress and immune challenge.
储存条件
储存条件:储存条件在:-20℃下储存一年, 避免反复冻融.
储存缓冲液:含0.15% ProClin300防腐剂, 100 μg/mL牛血清白蛋白和50%甘油的磷酸盐缓冲液.
图像
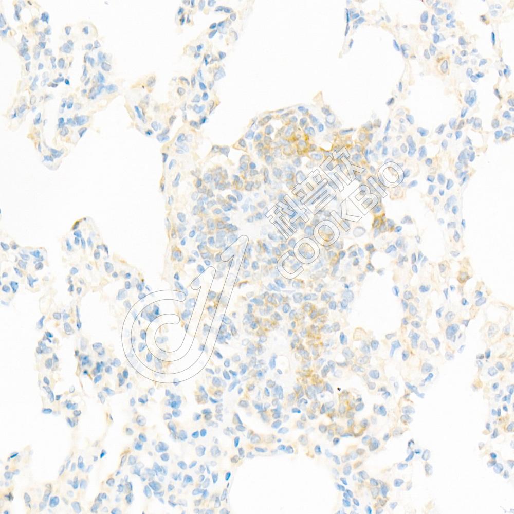
IHC检测Corticotropin Releasing Factor Receptor 2蛋白(货号 K135124).
样品: 小鼠肺, 4%多聚甲醛 (货号KSG1101) 固定12-24小时.
抗原修复: 柠檬酸抗原修复液(干粉, pH 6.0) (KSG1201), 98℃, 20分钟.
—抗: 1: 600稀释, 4℃ 孵育过夜.
二抗: S-vision免疫组化多聚二抗(山羊抗兔),即用型 (货号KB3906), 室温孵育20分钟.
IHC检测Corticotropin Releasing Factor Receptor 2蛋白(货号 K135124).
样品: 大鼠肺, 4%多聚甲醛 (货号KSG1101) 固定12-24小时.
抗原修复: 柠檬酸抗原修复液(干粉, pH 6.0) (KSG1201), 98℃, 20分钟.
—抗: 1: 600稀释, 4℃ 孵育过夜.
二抗: S-vision免疫组化多聚二抗(山羊抗兔),即用型 (货号KB3906), 室温孵育20分钟.

需要技术支持?

如果您有任何问题或如果您在实验过程中遇到问题,或需要更详细的技术指导,请联系我们的技术支持团队
电话 400-6027-270

联系我们

如果您对我们的公司或产品有任何疑问,欢迎随时联系我们