tel 400-6027-270
Main Image
Anti-Estrogen Inducible Protein pS2 兔多克隆抗体
¥1900
加入对比
货号: K1338346-100
预测分子量: 10 kDa
观测分子量: 15 kDa
亚细胞定位: 分泌型
别名: D21S21,HP1.A,HPS2,pNR 2,Polypeptide P1.A,Protein pS2,pS2,TFF1,trefoil factor 1,Protein pS2,Tff1,Bcei,Breast cancer estrogen inducible protein,pNR2
应用 | 种属
WB M,R
IHC/IF H
规格:
产品信息
蛋白质全称 三叶因子1
别名 D21S21,HP1.A,HPS2,pNR 2,Polypeptide P1.A,Protein pS2,pS2,TFF1,trefoil factor 1,Protein pS2,Tff1,Bcei,Breast cancer estrogen inducible protein,pNR2
Uniprot ID Q08423
免疫原 小鼠Trefoil factor 1重组蛋白
抗体亚型 IgG
纯化方式 亲和纯化
亚细胞定位 分泌型
预测分子量./观测分子量. 10 kDa / 15 kDa
应用
WB 免疫印迹
物种:小鼠,大鼠
稀释比:1:300-1:600
阳性样品:—
IHC/IF 免疫组织化学/免疫荧光
物种:人
稀释比:1:2200-1:4400
阳性样品:胃
背景
Stabilizer of the mucous gel overlying the gastrointestinal mucosa that provides a physical barrier against various noxious agents.
储存条件
储存条件:储存条件在:-20℃下储存一年, 避免反复冻融.
储存缓冲液:含0.15% ProClin300防腐剂, 100 μg/mL牛血清白蛋白和50%甘油的磷酸盐缓冲液.
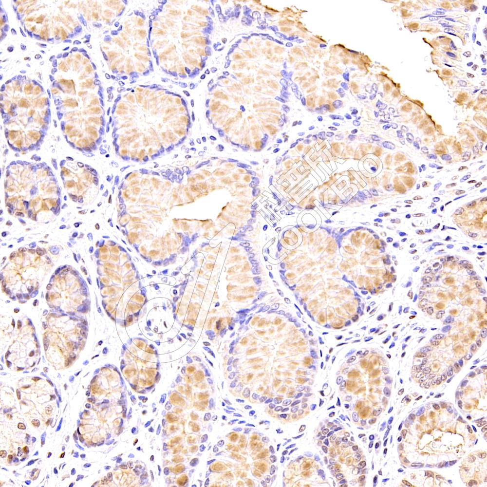
图像
IHC检测Estrogen Inducible Protein pS2蛋白(货号 K1338346).
样品: 人胃, 4%多聚甲醛 (货号KSG1101) 固定12-24小时.
抗原修复: 柠檬酸抗原修复液(干粉, pH 6.0) (KSG1201), 98℃, 20分钟.
—抗: 1: 3300稀释, 4℃ 孵育过夜.
二抗: S-vision免疫组化多聚二抗(山羊抗兔),即用型 (货号KB3906), 室温孵育20分钟.
IHC检测Estrogen Inducible Protein pS2蛋白(货号 K1338346).
样品: 人胃, 4%多聚甲醛 (货号KSG1101) 固定12-24小时.
抗原修复: 柠檬酸抗原修复液(干粉, pH 6.0) (KSG1201), 98℃, 20分钟.
—抗: 1: 3300稀释, 4℃ 孵育过夜.
二抗: S-vision免疫组化多聚二抗(山羊抗兔),即用型 (货号KB3906), 室温孵育20分钟.

需要技术支持?

如果您有任何问题或如果您在实验过程中遇到问题,或需要更详细的技术指导,请联系我们的技术支持团队
电话 400-6027-270

联系我们

如果您对我们的公司或产品有任何疑问,欢迎随时联系我们