tel 400-6027-270
Main Image
Anti-Neurokinin A 兔多克隆抗体
¥1900
加入对比
货号: K1334047-100
亚细胞定位: 分泌型
别名: PPT,Tac1,Nka,Nkna,Tac2,Hs.2563,Neuromedin L,NK2,PPT,Protachykinin 1,Substance K Neuropeptide K,Substance P,tachykinin,precursor 1
应用 | 种属
IHC/IF M,R
规格:
产品信息
蛋白质全称 前速激肽原-1
别名 PPT,Tac1,Nka,Nkna,Tac2,Hs.2563,Neuromedin L,NK2,PPT,Protachykinin 1,Substance K Neuropeptide K,Substance P,tachykinin,precursor 1
Uniprot ID P41539
免疫原 小鼠Neurokinin A重组蛋白
抗体亚型 IgG
纯化方式 亲和纯化
亚细胞定位 分泌型
应用
IHC/IF 免疫组织化学/免疫荧光
物种:小鼠,大鼠
稀释比:1:500-1:2000
阳性样品:脑
背景
Achykinins are active peptides which excite neurons, evoke behavioral responses, are potent vasodilators and secretagogues, and contract (directly or indirectly) many smooth muscles.TAC1 is an abbreviation for protachykinin 1, a protein that is encoded by the TAC1 gene, which is responsible for 4 products of the tachykinin peptide hormone family: substance P, neurokinin A, and the related peptides, neuropeptideK and neuropeptide . Tachykinin peptides are important in the mediation of many physiological and pathological processes including inflammation, pain, migraine headache and allergy induced asthma.
储存条件
储存条件:储存条件在:-20℃下储存一年, 避免反复冻融.
储存缓冲液:含0.15% ProClin300防腐剂, 100 μg/mL牛血清白蛋白和50%甘油的磷酸盐缓冲液.
图像
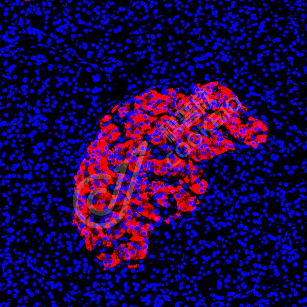
IHC检测Neurokinin A蛋白(货号 K1334047).
样品: 小鼠脑, 4%多聚甲醛 (货号KSG1101) 固定12-24小时.
抗原修复: 柠檬酸抗原修复液(干粉, pH 6.0) (KSG1201), 98℃, 20分钟.
—抗: 1: 1300稀释, 4℃ 孵育过夜.
二抗: S-vision免疫组化多聚二抗(山羊抗兔),即用型 (货号KB3906), 室温孵育20分钟.
IHC检测Neurokinin A蛋白(货号 K1334047).
样品: 大鼠脑, 4%多聚甲醛 (货号KSG1101) 固定12-24小时.
抗原修复: 柠檬酸抗原修复液(干粉, pH 6.0) (KSG1201), 98℃, 20分钟.
—抗: 1: 1300稀释, 4℃ 孵育过夜.
二抗: S-vision免疫组化多聚二抗(山羊抗兔),即用型 (货号KB3906), 室温孵育20分钟.

需要技术支持?

如果您有任何问题或如果您在实验过程中遇到问题,或需要更详细的技术指导,请联系我们的技术支持团队
电话 400-6027-270

联系我们

如果您对我们的公司或产品有任何疑问,欢迎随时联系我们