tel 400-6027-270
Main Image
Anti-Prostaglandin F2 alpha Receptor/PTGFR 兔多克隆抗体
¥1900
加入对比
货号: K1338793-100
亚细胞定位: 细胞膜
别名: PGF receptor,PGF2-alpha receptor,Prostanoid FP receptor,Ptgfr
应用 | 种属
IHC/IF H,R
规格:
产品信息
蛋白质全称 前列腺素F2α受体
别名 PGF receptor,PGF2-alpha receptor,Prostanoid FP receptor,Ptgfr
Uniprot ID P43117
免疫原 KLH偶联的小鼠Prostaglandin F2 alpha Receptor/PTGFR合成肽
抗体亚型 IgG
纯化方式 亲和纯化
亚细胞定位 细胞膜
应用
IHC/IF 免疫组织化学/免疫荧光
物种:人,大鼠
稀释比:1:400-1:800
阳性样品:卵巢, 胎盘
背景
The protein encoded by this gene is member of the G-protein coupled receptor family. This protein is a receptor for prostaglandin F2-alpha (PGF2-alpha), which is known to be a potent luteolytic agent, and may also be involved in modulating intraocular pressure and smooth muscle contraction in uterus. Knockout studies in mice suggest that the interaction of PGF2-alpha with this receptor may initiate parturition in ovarian luteal cells and thus induce luteolysis. Two transcript variants encoding different isoforms have been found for this gene.
储存条件
储存条件:储存条件在:-20℃下储存一年, 避免反复冻融.
储存缓冲液:含0.15% ProClin300防腐剂, 100 μg/mL牛血清白蛋白和50%甘油的磷酸盐缓冲液.
图像
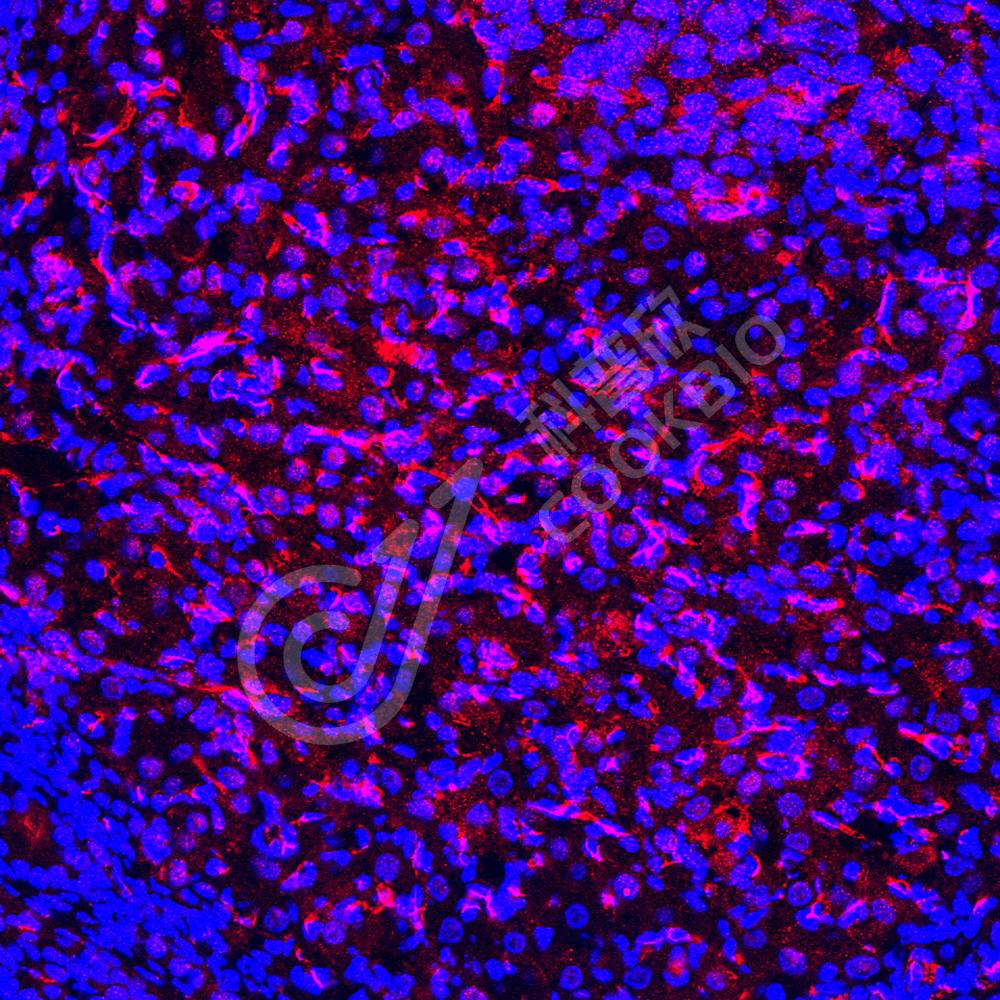
IF检测Prostaglandin F2 alpha Receptor/PTGFR蛋白(货号 K1338793)(红色).
样品: 人胎盘, 4%多聚甲醛 (货号KSG1101) 固定12-24小时.
抗原修复: Tris-EDTA抗原修复液(pH 9.0) (KSG1203), 98℃, 20分钟.
封闭: 3% BSA(货号KSGC305010)的PBS溶液, 室温孵育30分钟.
—抗: 1: 600稀释, 4℃ 孵育过夜.
二抗: Cy3标记山羊抗兔IgG (H+L) (货号KB63909), 1: 300稀释, 室温孵育1小时.
IF检测Prostaglandin F2 alpha Receptor/PTGFR蛋白(货号 K1338793)(红色).
样品: 大鼠卵巢, 4%多聚甲醛 (货号KSG1101) 固定12-24小时.
抗原修复: Tris-EDTA抗原修复液(pH 9.0) (KSG1203), 98℃, 20分钟.
封闭: 3% BSA(货号KSGC305010)的PBS溶液, 室温孵育30分钟.
—抗: 1: 600稀释, 4℃ 孵育过夜.
二抗: Cy3标记山羊抗兔IgG (H+L) (货号KB63909), 1: 300稀释, 室温孵育1小时.

需要技术支持?

如果您有任何问题或如果您在实验过程中遇到问题,或需要更详细的技术指导,请联系我们的技术支持团队
电话 400-6027-270

联系我们

如果您对我们的公司或产品有任何疑问,欢迎随时联系我们