tel 400-6027-270
Main Image
Anti-Somatostatin Receptor 2 兔多克隆抗体
¥1900
加入对比
货号: K1339825-100
亚细胞定位: 细胞膜, 细胞质
别名: SS-2-R,SS2-R,SS2R,SRIF-1,Smstr2,Sst2,Sstr2
应用 | 种属
IHC/IF M,R
规格:
产品信息
蛋白质全称 生长抑素受体2型
别名 SS-2-R,SS2-R,SS2R,SRIF-1,Smstr2,Sst2,Sstr2
Uniprot ID P30875
免疫原 KLH偶联的小鼠Somatostatin Receptor 2合成肽
抗体亚型 IgG
纯化方式 亲和纯化
亚细胞定位 细胞膜, 细胞质
应用
IHC/IF 免疫组织化学/免疫荧光
物种:小鼠,大鼠
稀释比:1:200-1:400
阳性样品:脑垂体
背景
Somatostatin is a tetradecapeptide that is widely distributed in the body and is one of five receptor subtypes termed SSTr1-. These receptors function in the regulation of numerous phsiological processes such as the secretion of insulin, glucagon and growth hormone as wel as cell growth induced by neuronal excitation in both the central and peripheral nervous systems. Somatostatin receptos are activated via sonatostatin secreted by nerve and endocrine cells. Somatostatin Receptor 2 (SSR2), along with SSR1, is expressed at the highest levels in the stomach and jejunum, cerebrum and kidney, respectively.
储存条件
储存条件:储存条件在:-20℃下储存一年, 避免反复冻融.
储存缓冲液:含0.15% ProClin300防腐剂, 100 μg/mL牛血清白蛋白和50%甘油的磷酸盐缓冲液.
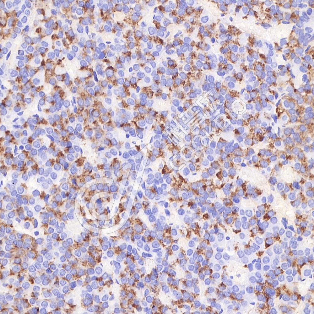
图像
IHC检测Somatostatin Receptor 2蛋白(货号 K1339825).
样品: 小鼠脑垂体, 4%多聚甲醛 (货号KSG1101) 固定12-24小时.
抗原修复: 柠檬酸抗原修复液(干粉, pH 6.0) (KSG1201), 98℃, 20分钟.
—抗: 1: 300稀释, 4℃ 孵育过夜.
二抗: S-vision免疫组化多聚二抗(山羊抗兔),即用型 (货号KB3906), 室温孵育20分钟.
IHC检测Somatostatin Receptor 2蛋白(货号 K1339825).
样品: 大鼠脑垂体, 4%多聚甲醛 (货号KSG1101) 固定12-24小时.
抗原修复: 柠檬酸抗原修复液(干粉, pH 6.0) (KSG1201), 98℃, 20分钟.
—抗: 1: 300稀释, 4℃ 孵育过夜.
二抗: S-vision免疫组化多聚二抗(山羊抗兔),即用型 (货号KB3906), 室温孵育20分钟.

需要技术支持?

如果您有任何问题或如果您在实验过程中遇到问题,或需要更详细的技术指导,请联系我们的技术支持团队
电话 400-6027-270

联系我们

如果您对我们的公司或产品有任何疑问,欢迎随时联系我们