tel 400-6027-270
Main Image
Anti-NPY1R 兔多克隆抗体
¥1900
加入对比
货号: K1341199-100
亚细胞定位: 细胞膜
别名: NPY1-R,Npy1r,NPYR,NPYY1,Neuropeptide Y receptor Y1
应用 | 种属
IHC/IF M,R
规格:
产品信息
蛋白质全称 神经肽Y受体1型
别名 NPY1-R,Npy1r,NPYR,NPYY1,Neuropeptide Y receptor Y1
Uniprot ID Q04573
免疫原 KLH偶联的小鼠NPY1R合成肽
抗体亚型 IgG
纯化方式 亲和纯化
亚细胞定位 细胞膜
应用
IHC/IF 免疫组织化学/免疫荧光
物种:小鼠,大鼠
稀释比:1:800-1:1600
阳性样品:脊髓
背景
This gene belongs to the G-protein-coupled receptor superfamily. The encoded transmembrane protein mediates the function of neuropeptide Y (NPY), a neurotransmitter, and peptide YY (PYY), a gastrointestinal hormone. The encoded receptor undergoes fast agonist-induced internalization through clathrin-coated pits and is subsequently recycled back to the cell membrane. Activation of Y1 receptors may result in mobilization of intracellular calcium and inhibition of adenylate cyclase activity.
储存条件
储存条件:储存条件在:-20℃下储存一年, 避免反复冻融.
储存缓冲液:含0.15% ProClin300防腐剂, 100 μg/mL牛血清白蛋白和50%甘油的磷酸盐缓冲液.
图像
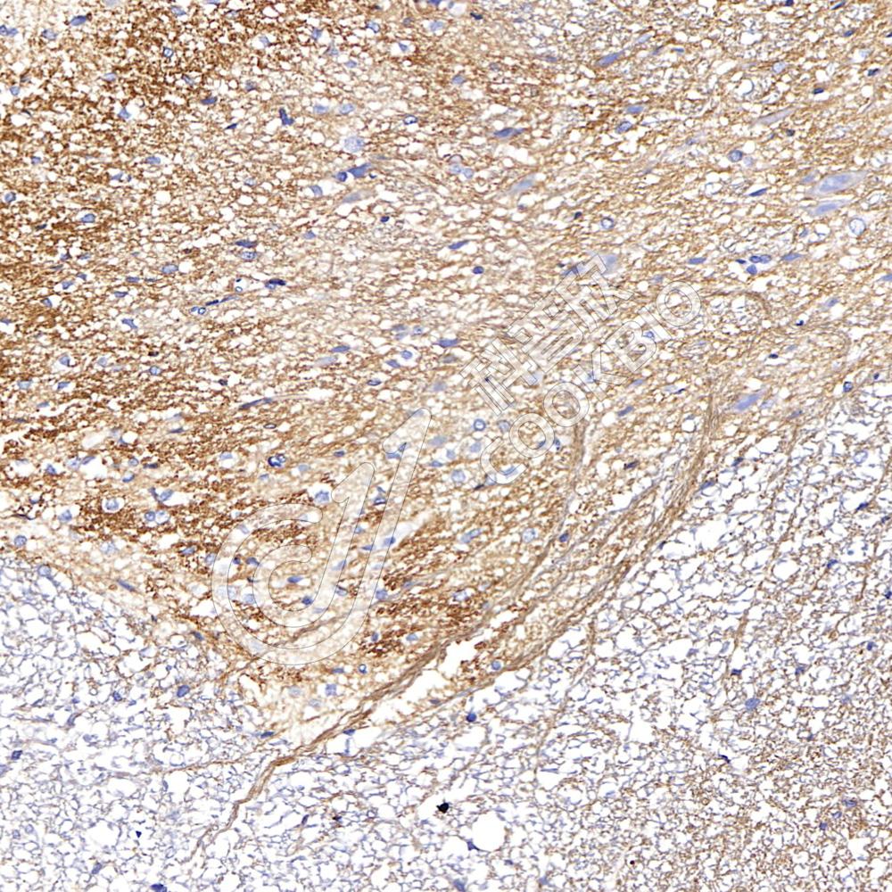
IHC检测NPY1R蛋白(货号 K1341199).
样品: 小鼠脊髓, 4%多聚甲醛 (货号KSG1101) 固定12-24小时.
抗原修复: 柠檬酸抗原修复液(干粉, pH 6.0) (KSG1201), 98℃, 20分钟.
—抗: 1: 1200稀释, 4℃ 孵育过夜.
二抗: S-vision免疫组化多聚二抗(山羊抗兔),即用型 (货号KB3906), 室温孵育20分钟.
IHC检测NPY1R蛋白(货号 K1341199).
样品: 大鼠脊髓, 4%多聚甲醛 (货号KSG1101) 固定12-24小时.
抗原修复: 柠檬酸抗原修复液(干粉, pH 6.0) (KSG1201), 98℃, 20分钟.
—抗: 1: 1200稀释, 4℃ 孵育过夜.
二抗: S-vision免疫组化多聚二抗(山羊抗兔),即用型 (货号KB3906), 室温孵育20分钟.

需要技术支持?

如果您有任何问题或如果您在实验过程中遇到问题,或需要更详细的技术指导,请联系我们的技术支持团队
电话 400-6027-270

联系我们

如果您对我们的公司或产品有任何疑问,欢迎随时联系我们