tel 400-6027-270
Main Image
Anti-PTMA 兔多克隆抗体
¥1900
加入对比
货号: K1333150-100
亚细胞定位: 细胞核
别名: N-terminally processed,Thymosin alpha,Ptma,Prothymosin alpha like 1 protein
应用 | 种属
IHC/IF H,M,R
规格:
产品信息
蛋白质全称 前胸腺素α
别名 N-terminally processed,Thymosin alpha,Ptma,Prothymosin alpha like 1 protein
Uniprot ID P26350
免疫原 KLH偶联的小鼠PTMA合成肽
抗体亚型 IgG
纯化方式 亲和纯化
亚细胞定位 细胞核
应用
IHC/IF 免疫组织化学/免疫荧光
物种:人,小鼠,大鼠
稀释比:1:500-1:2000
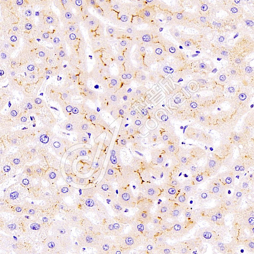
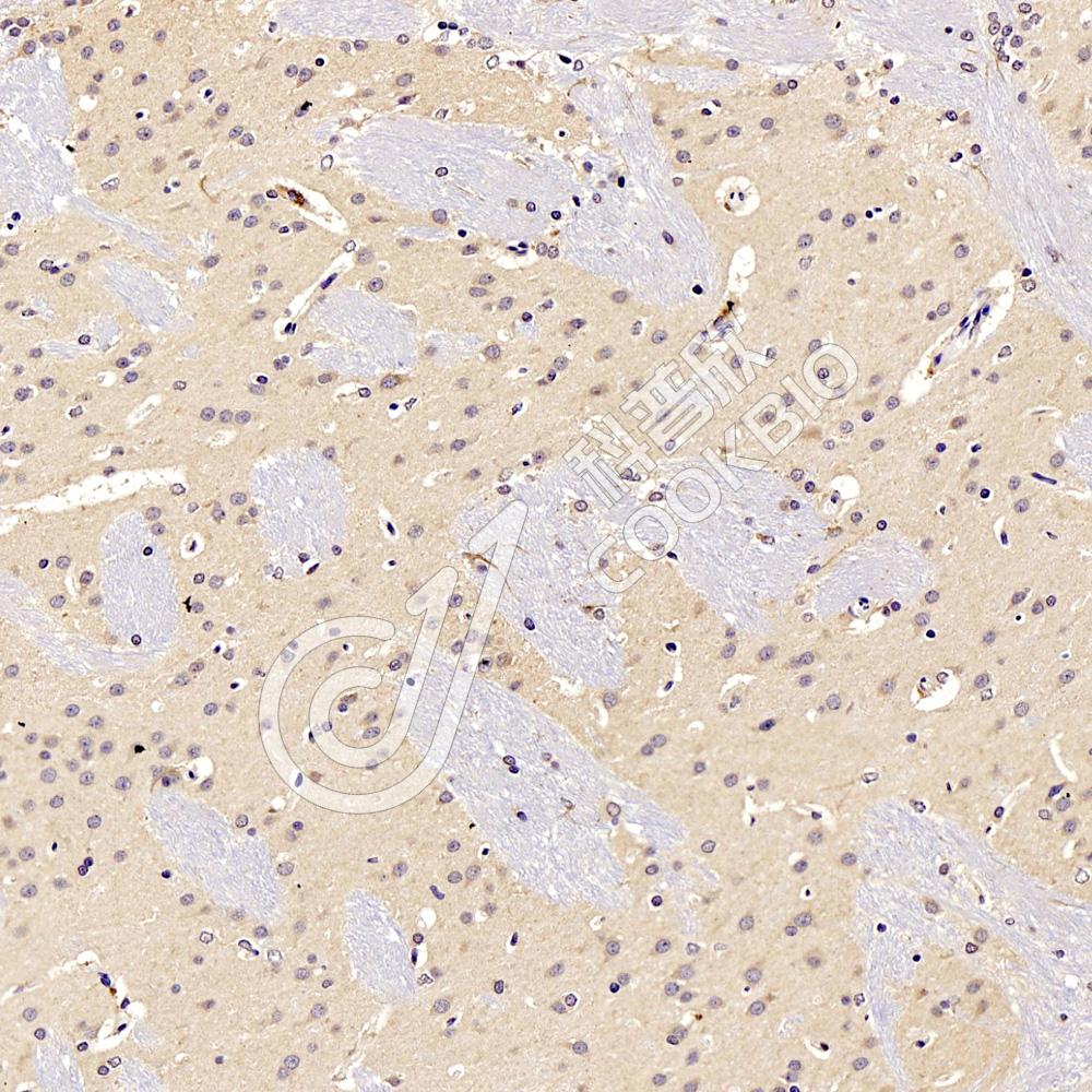
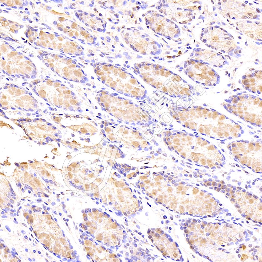
阳性样品:结肠, 肺
背景
Prothymosin alpha (PTMA) is a nuclear protein possessing a number of cellular functions including cell survival. PTMA is identified to be localized in the nuclei of neurons, while it is found in both nuclei and cytoplasm in the astrocytes and microglia of adult brai. PTMA inhibits the neuronal necrosis induced by serum-free starvation or ischemia-reperfusion stress, which causes a rapid internalization of GLUT1/4, leading a decrease in glucose uptake and cellular ATP levels.
储存条件
储存条件:储存条件在:-20℃下储存一年, 避免反复冻融.
储存缓冲液:含0.15% ProClin300防腐剂, 100 μg/mL牛血清白蛋白和50%甘油的磷酸盐缓冲液.
图像
IF检测PTMA蛋白(货号 K1333150)(红色).
样品: 小鼠肺, 4%多聚甲醛 (货号KSG1101) 固定12-24小时.
抗原修复: Tris-EDTA抗原修复液(pH 9.0) (KSG1203), 98℃, 20分钟.
封闭: 3% BSA(货号KSGC305010)的PBS溶液, 室温孵育30分钟.
—抗: 1: 1300稀释, 4℃ 孵育过夜.
二抗: Cy3标记山羊抗兔IgG (H+L) (货号KB63909), 1: 300稀释, 室温孵育1小时.
IF检测PTMA蛋白(货号 K1333150)(红色).
样品: 大鼠结肠, 4%多聚甲醛 (货号KSG1101) 固定12-24小时.
抗原修复: Tris-EDTA抗原修复液(pH 9.0) (KSG1203), 98℃, 20分钟.
封闭: 3% BSA(货号KSGC305010)的PBS溶液, 室温孵育30分钟.
—抗: 1: 1300稀释, 4℃ 孵育过夜.
二抗: Cy3标记山羊抗兔IgG (H+L) (货号KB63909), 1: 300稀释, 室温孵育1小时.

需要技术支持?

如果您有任何问题或如果您在实验过程中遇到问题,或需要更详细的技术指导,请联系我们的技术支持团队
电话 400-6027-270

联系我们

如果您对我们的公司或产品有任何疑问,欢迎随时联系我们