tel 400-6027-270
Main Image
Anti-beta 1 Adrenergic Receptor 兔多克隆抗体
¥1900
加入对比
货号: K1339657-100
亚细胞定位: 细胞膜, 内体
别名: Beta-1 adrenoreceptor,Beta-1 adrenoceptor,Adrb1,Adrb1r,B1AR,BETA1AR,Adrenoceptor beta 1,RHR,ADRB1
应用 | 种属
IHC/IF R
规格:
产品信息
蛋白质全称 β-1肾上腺素受体
别名 Beta-1 adrenoreceptor,Beta-1 adrenoceptor,Adrb1,Adrb1r,B1AR,BETA1AR,Adrenoceptor beta 1,RHR,ADRB1
Uniprot ID P34971
免疫原 小鼠beta 1 Adrenergic Receptor重组蛋白
抗体亚型 IgG
纯化方式 亲和纯化
亚细胞定位 细胞膜, 内体
应用
IHC/IF 免疫组织化学/免疫荧光
物种:大鼠
稀释比:1:2000-1:4000
阳性样品:心
背景
Beta-adrenergic receptors (Beta-1 adrenoreceptor) mediate the catecholamine-induced activation of adenylate cyclase through the action of G proteins. This receptor binds epinephrine and norepinephrine with approximately equal affinity. Subcellular location cell membrane; Multi-pass membrane protein. Homologous desensitization of the receptor is mediated by its phosphorylation by beta-adrenergic receptor kinase. Belongs to the G-protein coupled receptor 1 family.
储存条件
储存条件:储存条件在:-20℃下储存一年, 避免反复冻融.
储存缓冲液:含0.15% ProClin300防腐剂, 100 μg/mL牛血清白蛋白和50%甘油的磷酸盐缓冲液.
图像
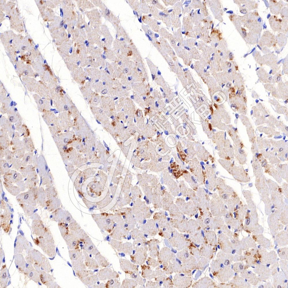
IHC检测beta 1 Adrenergic Receptor蛋白(货号 K1339657).
样品: 大鼠心, 4%多聚甲醛 (货号KSG1101) 固定12-24小时.
抗原修复: 柠檬酸抗原修复液(干粉, pH 6.0) (KSG1201), 98℃, 20分钟.
—抗: 1: 3000稀释, 4℃ 孵育过夜.
二抗: S-vision免疫组化多聚二抗(山羊抗兔),即用型 (货号KB3906), 室温孵育20分钟.
IHC检测beta 1 Adrenergic Receptor蛋白(货号 K1339657).
样品: 大鼠心, 4%多聚甲醛 (货号KSG1101) 固定12-24小时.
抗原修复: 柠檬酸抗原修复液(干粉, pH 6.0) (KSG1201), 98℃, 20分钟.
—抗: 1: 3000稀释, 4℃ 孵育过夜.
二抗: S-vision免疫组化多聚二抗(山羊抗兔),即用型 (货号KB3906), 室温孵育20分钟.

需要技术支持?

如果您有任何问题或如果您在实验过程中遇到问题,或需要更详细的技术指导,请联系我们的技术支持团队
电话 400-6027-270

联系我们

如果您对我们的公司或产品有任何疑问,欢迎随时联系我们