tel 400-6027-270
Main Image
Anti-Thyrotroph embryonic factor 兔多克隆抗体
¥1900
加入对比
货号: K1334959-100
预测分子量: 33 kDa
观测分子量: 40 kDa
亚细胞定位: 细胞核
别名: Tef,TEF Transcription Factor,KIAA1655,PAR BZIP Transcription Factor,PAR BZIP Family Member
应用 | 种属
WB M,R
IHC/IF M,R
规格:
产品信息
蛋白质全称 促甲状腺激素胚胎因子
别名 Tef,TEF Transcription Factor,KIAA1655,PAR BZIP Transcription Factor,PAR BZIP Family Member
Uniprot ID Q9JLC6
免疫原 小鼠 Thyrotroph embryonic factor重组蛋白
抗体亚型 IgG
纯化方式 亲和纯化
亚细胞定位 细胞核
预测分子量./观测分子量. 33 kDa / 40 kDa
应用
WB 免疫印迹
物种:小鼠,大鼠
稀释比:1:500-1:1000
阳性样品:—
IHC/IF 免疫组织化学/免疫荧光
物种:小鼠,大鼠
稀释比:1:400-1:1400
阳性样品:脑, 骨骼肌
背景
TEF (thyrotrophic embryonic factor), also known as KIAA1655, is a 303 amino acid nuclear transcription factor that belongs to the bZIP (basic region/leucine zipper) family and PAR (proline and acidic amino acid-rich) subfamily. TEF binds DNA as either a homodimer or heterodimer, and is known to transactivate the TSH beta promoter. While broadly expressed in adults, TEF is only found in developing embryonic anterior pituitary gland.
储存条件
储存条件:储存条件在:-20℃下储存一年, 避免反复冻融.
储存缓冲液:含0.15% ProClin300防腐剂, 100 μg/mL牛血清白蛋白和50%甘油的磷酸盐缓冲液.
图像
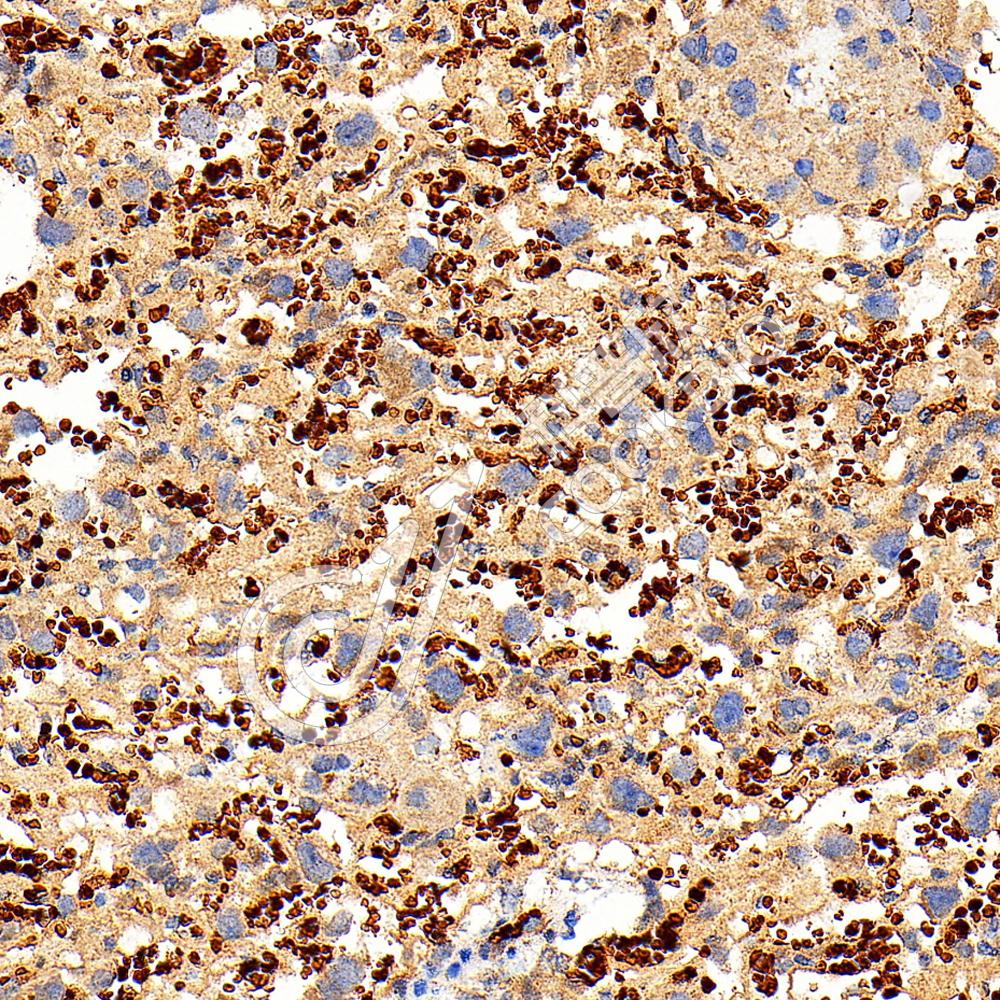
IHC检测Thyrotroph embryonic factor蛋白(货号 K1334959).
样品: 小鼠骨骼肌, 4%多聚甲醛 (货号KSG1101) 固定12-24小时.
抗原修复: Tris-EDTA抗原修复液(pH 9.0) (KSG1203), 98℃, 20分钟.
—抗: 1: 900稀释, 4℃ 孵育过夜.
二抗: S-vision免疫组化多聚二抗(山羊抗兔),即用型 (货号KB3906), 室温孵育20分钟.
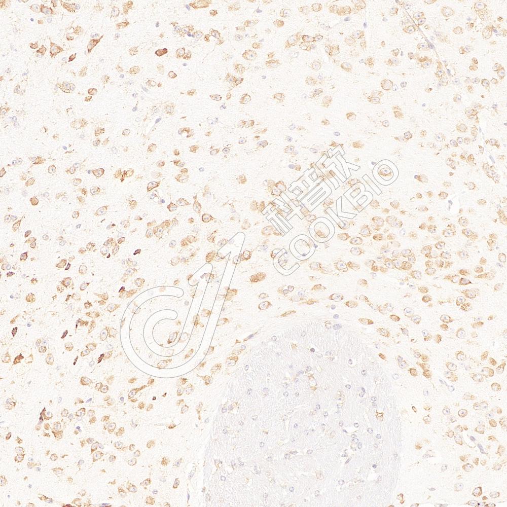
IHC检测Thyrotroph embryonic factor蛋白(货号 K1334959).
样品: 大鼠脑, 4%多聚甲醛 (货号KSG1101) 固定12-24小时.
抗原修复: Tris-EDTA抗原修复液(pH 9.0) (KSG1203), 98℃, 20分钟.
—抗: 1: 900稀释, 4℃ 孵育过夜.
二抗: S-vision免疫组化多聚二抗(山羊抗兔),即用型 (货号KB3906), 室温孵育20分钟.

需要技术支持?

如果您有任何问题或如果您在实验过程中遇到问题,或需要更详细的技术指导,请联系我们的技术支持团队
电话 400-6027-270

联系我们

如果您对我们的公司或产品有任何疑问,欢迎随时联系我们