tel 400-6027-270
Main Image
Anti-Histone H4 兔多克隆抗体
¥1900
加入对比
货号: K1335526-100
预测分子量: 11 kDa
观测分子量: 11 kDa
亚细胞定位: 细胞核
别名: H4F2,H4FN,HIST1H4,HIST2H4,HISTH4H4,H4c1,Hist1h4a,H4c2,H4-53,Hist1h4b,H4c3,H4-12,Hist1h4c,H4c4,Hist1h4d,Hist1h4f,H4c6,H4c14,Hist2h4a,H4/A,H4/I,HIST1H4BAND,HIST1H4CAND,HIST1H4E
应用 | 种属
WB H,M,R
IHC/IF H,M,R
ICC/IF H,M,R
规格:
产品信息
蛋白质全称 组蛋白H4
别名 H4F2,H4FN,HIST1H4,HIST2H4,HISTH4H4,H4c1,Hist1h4a,H4c2,H4-53,Hist1h4b,H4c3,H4-12,Hist1h4c,H4c4,Hist1h4d,Hist1h4f,H4c6,H4c14,Hist2h4a,H4/A,H4/I,HIST1H4BAND,HIST1H4CAND,HIST1H4E
Uniprot ID P62805
免疫原 KLH偶联的人Histone H4合成肽
抗体亚型 IgG
纯化方式 亲和纯化
亚细胞定位 细胞核
预测分子量./观测分子量. 11 kDa / 11 kDa
应用
WB 免疫印迹
物种:人,小鼠,大鼠
稀释比:1:500-1:1000
阳性样品:肺
IHC/IF 免疫组织化学/免疫荧光
物种:人,小鼠,大鼠
稀释比:1:500-1:2000
阳性样品:脑, 肺癌, 睾丸
ICC/IF 免疫细胞化学/免疫荧光
物种:人,小鼠,大鼠
稀释比:1:500-1:1000
阳性样品:—
背景
Histone H4 is a 103 amino acid protein, which belongs to the histone H4 family. Histone H4 localizes in the nucleus and is a core component of nucleosome. Nucleosomes wrap and compact DNA into chromatin, limiting DNA accessibility to the cellular machineries which require DNA as a template. Histones thereby play a central role in transcription regulation, DNA repair, DNA replication and chromosomal stability. remodeling.
储存条件
储存条件:储存条件在:-20℃下储存一年, 避免反复冻融.
储存缓冲液:含0.15% ProClin300防腐剂, 100 μg/mL牛血清白蛋白和50%甘油的磷酸盐缓冲液.
图像
WB检测Histone H4蛋白(货号 K1335526).
样品: 经RIPA裂解液(货号KSG2002)处理的蛋白质.
封闭: 3%脱脂牛奶(货号KSGC310001)溶于TBST溶液, 室温孵育1小时.
—抗: 1: 1000稀释, 4℃ 孵育过夜.
二抗: HRP标记山羊抗兔IgG (H+L) (货号KB69909), 1: 5000稀释, 室温孵育1小时.
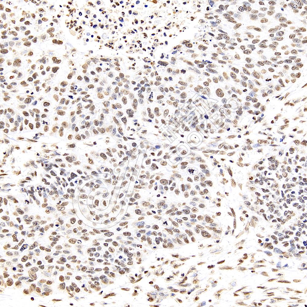
IHC检测Histone H4蛋白(货号 K1335526).
样品: 人肺癌, 4%多聚甲醛 (货号KSG1101) 固定12-24小时.
抗原修复: 柠檬酸抗原修复液(干粉, pH 6.0) (KSG1201), 98℃, 20分钟.
—抗: 1: 1300稀释, 4℃ 孵育过夜.
二抗: S-vision免疫组化多聚二抗(山羊抗兔),即用型 (货号KB3906), 室温孵育20分钟.
IHC检测Histone H4蛋白(货号 K1335526).
样品: 小鼠脑, 4%多聚甲醛 (货号KSG1101) 固定12-24小时.
抗原修复: 柠檬酸抗原修复液(干粉, pH 6.0) (KSG1201), 98℃, 20分钟.
—抗: 1: 1300稀释, 4℃ 孵育过夜.
二抗: S-vision免疫组化多聚二抗(山羊抗兔),即用型 (货号KB3906), 室温孵育20分钟.
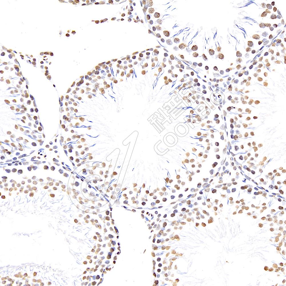
IHC检测Histone H4蛋白(货号 K1335526).
样品: 大鼠睾丸, 4%多聚甲醛 (货号KSG1101) 固定12-24小时.
抗原修复: 柠檬酸抗原修复液(干粉, pH 6.0) (KSG1201), 98℃, 20分钟.
—抗: 1: 1300稀释, 4℃ 孵育过夜.
二抗: S-vision免疫组化多聚二抗(山羊抗兔),即用型 (货号KB3906), 室温孵育20分钟.

需要技术支持?

如果您有任何问题或如果您在实验过程中遇到问题,或需要更详细的技术指导,请联系我们的技术支持团队
电话 400-6027-270

联系我们

如果您对我们的公司或产品有任何疑问,欢迎随时联系我们