tel 400-6027-270
Main Image
Anti-DDX19B 兔多克隆抗体
¥1900
加入对比
货号: K1337653-100
预测分子量: 54 kDa
观测分子量: 70 kDa
亚细胞定位: 细胞质, 细胞核
别名: DEAD box RNA helicase DEAD5,DEAD box protein 19B,DDX19B,DBP5,DDX19,TDBP
应用 | 种属
WB H,M
IHC/IF H,M,R
规格:
产品信息
蛋白质全称 ATP依赖RNA解旋酶DDX19B
别名 DEAD box RNA helicase DEAD5,DEAD box protein 19B,DDX19B,DBP5,DDX19,TDBP
Uniprot ID Q9UMR2
免疫原 KLH偶联的人DDX19B合成肽
抗体亚型 IgG
纯化方式 亲和纯化
亚细胞定位 细胞质, 细胞核
预测分子量./观测分子量. 54 kDa / 70 kDa
应用
WB 免疫印迹
物种:人,小鼠
稀释比:1:800-1:1600
阳性样品:—
IHC/IF 免疫组织化学/免疫荧光
物种:人,小鼠,大鼠
稀释比:1:600-1:3000
阳性样品:脑, 乳腺, 肺癌
背景
DEAD box proteins, characterized by the conserved motif Asp-Glu-Ala-Asp (DEAD), are putative RNA helicases. They are implicated in a number of cellular processes involving alteration of RNA secondary structure such as translation initiation, nuclear and mitochondrial splicing, and ribosome and spliceosome assembly. This gene encodes a DEAD box protein, which exhibits RNA-dependent ATPase and ATP-dependent RNA-unwinding activities.
储存条件
储存条件:储存条件在:-20℃下储存一年, 避免反复冻融.
储存缓冲液:含0.15% ProClin300防腐剂, 100 μg/mL牛血清白蛋白和50%甘油的磷酸盐缓冲液.
图像
IHC检测DDX19B蛋白(货号 K1337653).
样品: 人肺癌, 4%多聚甲醛 (货号KSG1101) 固定12-24小时.
抗原修复: 柠檬酸抗原修复液(干粉, pH 6.0) (KSG1201), 98℃, 20分钟.
—抗: 1: 1800稀释, 4℃ 孵育过夜.
二抗: S-vision免疫组化多聚二抗(山羊抗兔),即用型 (货号KB3906), 室温孵育20分钟.
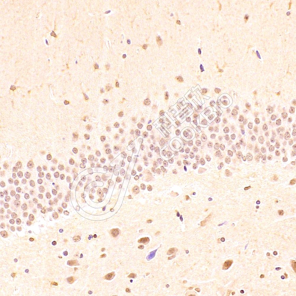
IHC检测DDX19B蛋白(货号 K1337653).
样品: 大鼠脑, 4%多聚甲醛 (货号KSG1101) 固定12-24小时.
抗原修复: 柠檬酸抗原修复液(干粉, pH 6.0) (KSG1201), 98℃, 20分钟.
—抗: 1: 1800稀释, 4℃ 孵育过夜.
二抗: S-vision免疫组化多聚二抗(山羊抗兔),即用型 (货号KB3906), 室温孵育20分钟.
IF检测DDX19B蛋白(货号 K1337653)(红色).
样品: 小鼠乳腺, 4%多聚甲醛 (货号KSG1101) 固定12-24小时.
抗原修复: Tris-EDTA抗原修复液(pH 9.0) (KSG1203), 98℃, 20分钟.
封闭: 3% BSA(货号KSGC305010)的PBS溶液, 室温孵育30分钟.
—抗: 1: 1800稀释, 4℃ 孵育过夜.
二抗: Cy3标记山羊抗兔IgG (H+L) (货号KB63909), 1: 300稀释, 室温孵育1小时.
IF检测DDX19B蛋白(货号 K1337653)(红色).
样品: 大鼠乳腺, 4%多聚甲醛 (货号KSG1101) 固定12-24小时.
抗原修复: Tris-EDTA抗原修复液(pH 9.0) (KSG1203), 98℃, 20分钟.
封闭: 3% BSA(货号KSGC305010)的PBS溶液, 室温孵育30分钟.
—抗: 1: 1800稀释, 4℃ 孵育过夜.
二抗: Cy3标记山羊抗兔IgG (H+L) (货号KB63909), 1: 300稀释, 室温孵育1小时.

需要技术支持?

如果您有任何问题或如果您在实验过程中遇到问题,或需要更详细的技术指导,请联系我们的技术支持团队
电话 400-6027-270

联系我们

如果您对我们的公司或产品有任何疑问,欢迎随时联系我们