tel 400-6027-270
Main Image
Anti-LAMP1 兔多克隆抗体
¥1900
加入对比
货号: K1338847-100
预测分子量: 44 kDa
观测分子量: 44 kDa
亚细胞定位: 细胞膜, 内体, 溶酶体
别名: LAMP-1,Lysosome-associated membrane protein 1,120 kDa lysosomal membrane glycoprotein,CD107 antigen-like family member A,LGP-120,LGP-A,CD107a,P2B,Lamp1
应用 | 种属
WB H
IHC/IF H,M,R
规格:
产品信息
蛋白质全称 溶酶体相关膜糖蛋白1
别名 LAMP-1,Lysosome-associated membrane protein 1,120 kDa lysosomal membrane glycoprotein,CD107 antigen-like family member A,LGP-120,LGP-A,CD107a,P2B,Lamp1
Uniprot ID P11438
免疫原 小鼠LAMP1重组蛋白
抗体亚型 IgG
纯化方式 亲和纯化
亚细胞定位 细胞膜, 内体, 溶酶体
预测分子量./观测分子量. 44 kDa / 44 kDa
应用
WB 免疫印迹
物种:人
稀释比:1:500-1:1000
阳性样品:—
IHC/IF 免疫组织化学/免疫荧光
物种:人,小鼠,大鼠
稀释比:1:500-1:1000
阳性样品:胆管癌, 小肠
背景
LAMP1 (also known as CD107a) is a 90-120 kDa heavily glycosylated membrane protein enriched in the lysosomal membrane. LAMP1 functions to provide selectins with carbohydrate ligands. This protein has also been shown to be a marker of degranulation on lymphocytes such as CD8+ and NK cells and may also play a role in tumor cell differentiation and metastasis.
储存条件
储存条件:储存条件在:-20℃下储存一年, 避免反复冻融.
储存缓冲液:含0.15% ProClin300防腐剂, 100 μg/mL牛血清白蛋白和50%甘油的磷酸盐缓冲液.
图像
IHC检测LAMP1蛋白(货号 K1338847).
样品: 人胆管癌, 4%多聚甲醛 (货号KSG1101) 固定12-24小时.
抗原修复: 柠檬酸抗原修复液(干粉, pH 6.0) (KSG1201), 98℃, 20分钟.
—抗: 1: 800稀释, 4℃ 孵育过夜.
二抗: S-vision免疫组化多聚二抗(山羊抗兔),即用型 (货号KB3906), 室温孵育20分钟.
LAMP1_d1000_WB
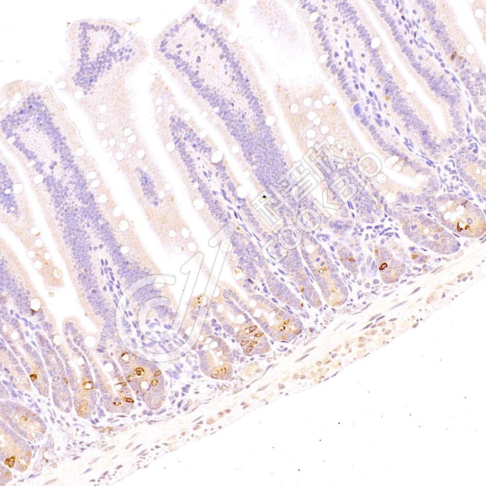
IHC检测LAMP1蛋白(货号 K1338847).
样品: 小鼠小肠, 4%多聚甲醛 (货号KSG1101) 固定12-24小时.
抗原修复: 柠檬酸抗原修复液(干粉, pH 6.0) (KSG1201), 98℃, 20分钟.
—抗: 1: 800稀释, 4℃ 孵育过夜.
二抗: S-vision免疫组化多聚二抗(山羊抗兔),即用型 (货号KB3906), 室温孵育20分钟.
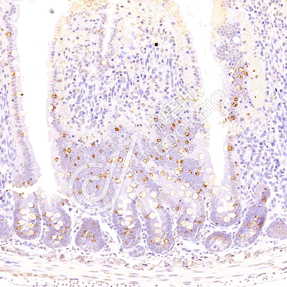
IHC检测LAMP1蛋白(货号 K1338847).
样品: 大鼠小肠, 4%多聚甲醛 (货号KSG1101) 固定12-24小时.
抗原修复: 柠檬酸抗原修复液(干粉, pH 6.0) (KSG1201), 98℃, 20分钟.
—抗: 1: 800稀释, 4℃ 孵育过夜.
二抗: S-vision免疫组化多聚二抗(山羊抗兔),即用型 (货号KB3906), 室温孵育20分钟.

需要技术支持?

如果您有任何问题或如果您在实验过程中遇到问题,或需要更详细的技术指导,请联系我们的技术支持团队
电话 400-6027-270

联系我们

如果您对我们的公司或产品有任何疑问,欢迎随时联系我们