tel 400-6027-270
Main Image
Anti-PRELID1 兔多克隆抗体
¥1900
加入对比
货号: K1339426-100
亚细胞定位: 线粒体
别名: Px19-like protein,CGI 106,PRELI,PRELI domain containing 1,PRELID1,PX19,Px19 like protein,SBBI12
应用 | 种属
IHC/IF R
规格:
产品信息
蛋白质全称 PRELI结构域蛋白1(线粒体)
别名 Px19-like protein,CGI 106,PRELI,PRELI domain containing 1,PRELID1,PX19,Px19 like protein,SBBI12
Uniprot ID Q8R107
免疫原 小鼠PRELID1重组蛋白
抗体亚型 IgG
纯化方式 亲和纯化
亚细胞定位 线粒体
应用
IHC/IF 免疫组织化学/免疫荧光
物种:大鼠
稀释比:1:2000-1:4000
阳性样品:脾
背景
This gene encodes a member of the late embryogenesis abundant motif-containing protein family. The encoded protein is localized to mitochondria and may function as a cytoprotectant by regulating cell death and differentiation. Alternative splicing results in multiple transcript variants encoding different isoforms. Several related pseudogenes have been identified.
储存条件
储存条件:储存条件在:-20℃下储存一年, 避免反复冻融.
储存缓冲液:含0.15% ProClin300防腐剂, 100 μg/mL牛血清白蛋白和50%甘油的磷酸盐缓冲液.
图像
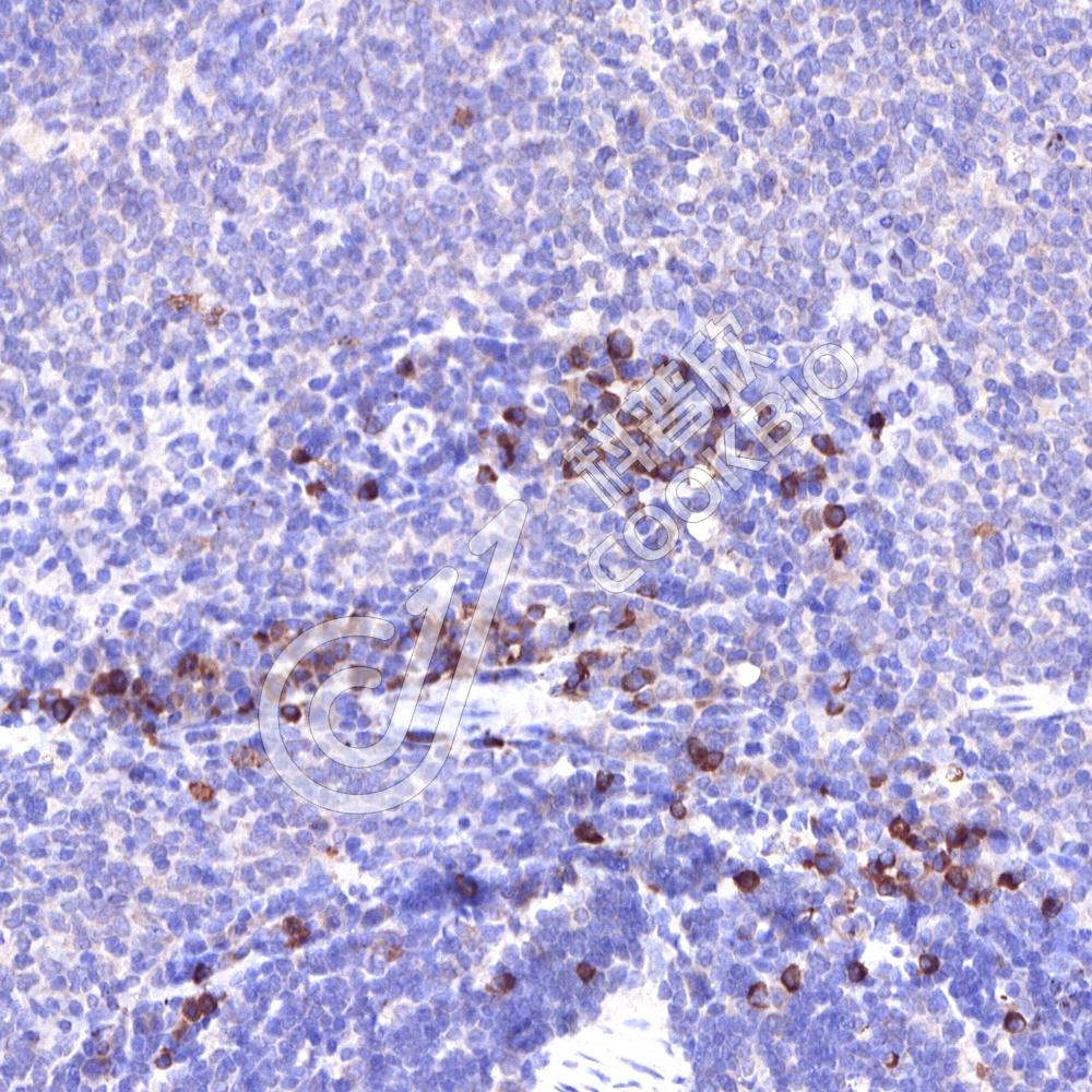
IHC检测PRELID1蛋白(货号 K1339426).
样品: 大鼠脾, 4%多聚甲醛 (货号KSG1101) 固定12-24小时.
抗原修复: 柠檬酸抗原修复液(干粉, pH 6.0) (KSG1201), 98℃, 20分钟.
—抗: 1: 3000稀释, 4℃ 孵育过夜.
二抗: S-vision免疫组化多聚二抗(山羊抗兔),即用型 (货号KB3906), 室温孵育20分钟.
IHC检测PRELID1蛋白(货号 K1339426).
样品: 大鼠脾, 4%多聚甲醛 (货号KSG1101) 固定12-24小时.
抗原修复: 柠檬酸抗原修复液(干粉, pH 6.0) (KSG1201), 98℃, 20分钟.
—抗: 1: 3000稀释, 4℃ 孵育过夜.
二抗: S-vision免疫组化多聚二抗(山羊抗兔),即用型 (货号KB3906), 室温孵育20分钟.

需要技术支持?

如果您有任何问题或如果您在实验过程中遇到问题,或需要更详细的技术指导,请联系我们的技术支持团队
电话 400-6027-270

联系我们

如果您对我们的公司或产品有任何疑问,欢迎随时联系我们