tel 400-6027-270
Main Image
Anti-TGT 兔多克隆抗体
¥1900
加入对比
货号: K1339591-100
预测分子量: 44 kDa
观测分子量: 44 kDa
亚细胞定位: 细胞核, 线粒体
别名: FP3235,Guanine insertion enzyme,QTRT1,TGT,TGUT,tRNA guanine transglycosylase
应用 | 种属
WB M,R
IHC/IF H
规格:
产品信息
蛋白质全称 Queuine tRNA核糖基转移酶催化亚基1
别名 FP3235,Guanine insertion enzyme,QTRT1,TGT,TGUT,tRNA guanine transglycosylase
Uniprot ID Q9JMA2
免疫原 小鼠TGT重组蛋白
抗体亚型 IgG
纯化方式 亲和纯化
亚细胞定位 细胞核, 线粒体
预测分子量./观测分子量. 44 kDa / 44 kDa
应用
WB 免疫印迹
物种:小鼠,大鼠
稀释比:1:500-1:800
阳性样品:—
IHC/IF 免疫组织化学/免疫荧光
物种:人
稀释比:1:3200-1:6400
阳性样品:结肠, 结肠癌
背景
This gene encodes the catalytic subunit of tRNA-guanine transglycosylase. tRNA-guanine transglycosylase is a heterodimeric enzyme complex that plays a critical role in tRNA modification by synthesizing the 7-deazaguanosine queuosine, which is found in tRNAs that code for asparagine, aspartic acid, histidine and tyrosine. A pseudogene of this gene is located on the long arm of chromosome X.
储存条件
储存条件:储存条件在:-20℃下储存一年, 避免反复冻融.
储存缓冲液:含0.15% ProClin300防腐剂, 100 μg/mL牛血清白蛋白和50%甘油的磷酸盐缓冲液.
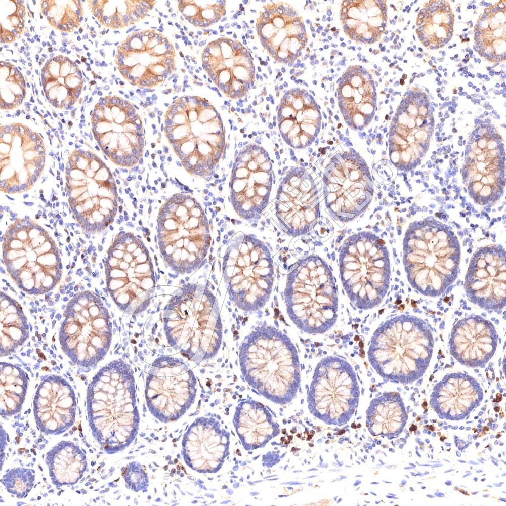
图像
IHC检测TGT蛋白(货号 K1339591).
样品: 人结肠癌, 4%多聚甲醛 (货号KSG1101) 固定12-24小时.
抗原修复: 柠檬酸抗原修复液(干粉, pH 6.0) (KSG1201), 98℃, 20分钟.
—抗: 1: 4800稀释, 4℃ 孵育过夜.
二抗: S-vision免疫组化多聚二抗(山羊抗兔),即用型 (货号KB3906), 室温孵育20分钟.
IHC检测TGT蛋白(货号 K1339591).
样品: 人结肠, 4%多聚甲醛 (货号KSG1101) 固定12-24小时.
抗原修复: 柠檬酸抗原修复液(干粉, pH 6.0) (KSG1201), 98℃, 20分钟.
—抗: 1: 4800稀释, 4℃ 孵育过夜.
二抗: S-vision免疫组化多聚二抗(山羊抗兔),即用型 (货号KB3906), 室温孵育20分钟.

需要技术支持?

如果您有任何问题或如果您在实验过程中遇到问题,或需要更详细的技术指导,请联系我们的技术支持团队
电话 400-6027-270

联系我们

如果您对我们的公司或产品有任何疑问,欢迎随时联系我们