tel 400-6027-270
Main Image
Anti-TRIM21/SS-A 兔多克隆抗体
¥1900
加入对比
货号: K1340458-100
亚细胞定位: 细胞质, 细胞核
别名: 52 kDa Ro protein,RING finger protein 81,RNF81,Ro(SS A),RO52,SS-A,SSA,SSA1,TRIM21,tripartite motif containing 21,Sjoegren syndrome type A antigen
应用 | 种属
IHC/IF H
规格:
产品信息
蛋白质全称 E3泛素连接酶TRIM21
别名 52 kDa Ro protein,RING finger protein 81,RNF81,Ro(SS A),RO52,SS-A,SSA,SSA1,TRIM21,tripartite motif containing 21,Sjoegren syndrome type A antigen
Uniprot ID Q62191
免疫原 小鼠TRIM21/SS-A重组蛋白
抗体亚型 IgG
纯化方式 亲和纯化
亚细胞定位 细胞质, 细胞核
应用
IHC/IF 免疫组织化学/免疫荧光
物种:人
稀释比:1:700-1:1400
阳性样品:胃
背景
TRIM21 has multiple N-terminal zinc finger motifs(has E3 ligase activity), a central leucine zipper, and a potential N-glycosylation site. TRIM3 is a E3 ubiquitin-protein ligase. It can form a ubiquitin ligase complex with E2 UBE2D2, which function not only for the uniquitination of USP4 and IKBKB but also for its self-ubiquitination. It has a role in the regulation of the cell cycle progression and could enhance the decapping activity of DCP2.
储存条件
储存条件:储存条件在:-20℃下储存一年, 避免反复冻融.
储存缓冲液:含0.15% ProClin300防腐剂, 100 μg/mL牛血清白蛋白和50%甘油的磷酸盐缓冲液.
图像
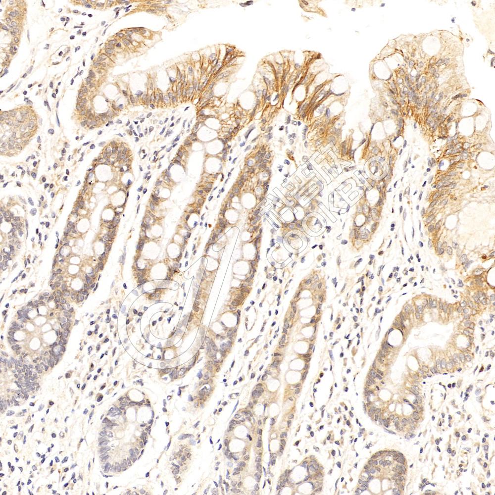
IHC检测TRIM21/SS-A蛋白(货号 K1340458).
样品: 人胃, 4%多聚甲醛 (货号KSG1101) 固定12-24小时.
抗原修复: 柠檬酸抗原修复液(干粉, pH 6.0) (KSG1201), 98℃, 20分钟.
—抗: 1: 1100稀释, 4℃ 孵育过夜.
二抗: S-vision免疫组化多聚二抗(山羊抗兔),即用型 (货号KB3906), 室温孵育20分钟.
IHC检测TRIM21/SS-A蛋白(货号 K1340458).
样品: 人胃, 4%多聚甲醛 (货号KSG1101) 固定12-24小时.
抗原修复: 柠檬酸抗原修复液(干粉, pH 6.0) (KSG1201), 98℃, 20分钟.
—抗: 1: 1100稀释, 4℃ 孵育过夜.
二抗: S-vision免疫组化多聚二抗(山羊抗兔),即用型 (货号KB3906), 室温孵育20分钟.

需要技术支持?

如果您有任何问题或如果您在实验过程中遇到问题,或需要更详细的技术指导,请联系我们的技术支持团队
电话 400-6027-270

联系我们

如果您对我们的公司或产品有任何疑问,欢迎随时联系我们