tel 400-6027-270
Main Image
Anti-PSMC5 兔多克隆抗体
¥1900
加入对比
货号: K1339627-100
预测分子量: 46 kDa
观测分子量: 46 kDa
亚细胞定位: 细胞质, 细胞核
别名: p45,p45/SUG,Proteasome subunit p45,PSMC5,Rpt6,S8,SUG1,TBP10,TRIP1,26S proteasome AAA-ATPase subunit RPT6,26S proteasome regulatory subunit 8
应用 | 种属
WB H,M,R
IHC/IF R
规格:
产品信息
蛋白质全称 26S蛋白酶体调节亚基8
别名 p45,p45/SUG,Proteasome subunit p45,PSMC5,Rpt6,S8,SUG1,TBP10,TRIP1,26S proteasome AAA-ATPase subunit RPT6,26S proteasome regulatory subunit 8
Uniprot ID P62196
免疫原 小鼠PSMC5重组蛋白
抗体亚型 IgG
纯化方式 亲和纯化
亚细胞定位 细胞质, 细胞核
预测分子量./观测分子量. 46 kDa / 46 kDa
应用
WB 免疫印迹
物种:人,小鼠,大鼠
稀释比:1:300-1:800
阳性样品:—
IHC/IF 免疫组织化学/免疫荧光
物种:大鼠
稀释比:1:1200-1:2400
阳性样品:脑, 心
背景
Human SUG1 (also known as p45, Rpt6, Cim3 and PSMC5) is a component of the 19S regulatory subunit of the 26S proteosome complex. It is one of the AAA ATPas found in the 19S regulatory complex that is thought to participate in the unfolding of ubiquitinated proteins in an ATP dependent manner. It has also been shown to directly interact with the nucleotide excision repair protein XPB.
储存条件
储存条件:储存条件在:-20℃下储存一年, 避免反复冻融.
储存缓冲液:含0.15% ProClin300防腐剂, 100 μg/mL牛血清白蛋白和50%甘油的磷酸盐缓冲液.
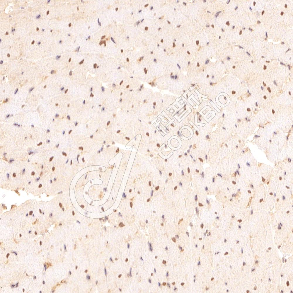
图像
IHC检测PSMC5蛋白(货号 K1339627).
样品: 大鼠脑, 4%多聚甲醛 (货号KSG1101) 固定12-24小时.
抗原修复: Tris-EDTA抗原修复液(pH 9.0) (KSG1203), 98℃, 20分钟.
—抗: 1: 1800稀释, 4℃ 孵育过夜.
二抗: S-vision免疫组化多聚二抗(山羊抗兔),即用型 (货号KB3906), 室温孵育20分钟.
IHC检测PSMC5蛋白(货号 K1339627).
样品: 大鼠心, 4%多聚甲醛 (货号KSG1101) 固定12-24小时.
抗原修复: Tris-EDTA抗原修复液(pH 9.0) (KSG1203), 98℃, 20分钟.
—抗: 1: 1800稀释, 4℃ 孵育过夜.
二抗: S-vision免疫组化多聚二抗(山羊抗兔),即用型 (货号KB3906), 室温孵育20分钟.

需要技术支持?

如果您有任何问题或如果您在实验过程中遇到问题,或需要更详细的技术指导,请联系我们的技术支持团队
电话 400-6027-270

联系我们

如果您对我们的公司或产品有任何疑问,欢迎随时联系我们