tel 400-6027-270
Main Image
Anti-KLHL9 兔多克隆抗体
¥1900
加入对比
货号: K1340461-100
亚细胞定位: 细胞质
别名: kelch like 9 (Drosophila),KIAA1354,KLHL9
应用 | 种属
IHC/IF M
规格:
产品信息
蛋白质全称 Kelch样蛋白9
别名 kelch like 9 (Drosophila),KIAA1354,KLHL9
Uniprot ID Q6ZPT1
免疫原 小鼠KLHL9重组蛋白
抗体亚型 IgG
纯化方式 亲和纯化
亚细胞定位 细胞质
应用
IHC/IF 免疫组织化学/免疫荧光
物种:小鼠
稀释比:1:1000-1:2000
阳性样品:肾
背景
This gene encodes a protein that belongs to the kelch repeat-containing family, and contains an N-terminal BTB/POZ domain, a BACK domain and six C-terminal kelch repeats. The encoded protein is a component of a complex with cullin 3-based E3 ligase, which plays a role in mitosis. This protein complex is a cell cycle regulator, and functions in the organization and integrity of the spindle midzone in anaphase and the completion of cytokinesis. The complex is required for the removal of the chromosomal passenger protein aurora B from mitotic chromosomes.
储存条件
储存条件:储存条件在:-20℃下储存一年, 避免反复冻融.
储存缓冲液:含0.15% ProClin300防腐剂, 100 μg/mL牛血清白蛋白和50%甘油的磷酸盐缓冲液.
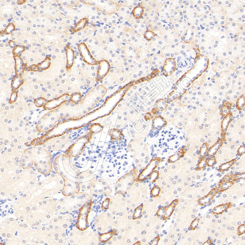
图像
IHC检测KLHL9蛋白(货号 K1340461).
样品: 小鼠肾, 4%多聚甲醛 (货号KSG1101) 固定12-24小时.
抗原修复: 柠檬酸抗原修复液(干粉, pH 6.0) (KSG1201), 98℃, 20分钟.
—抗: 1: 1500稀释, 4℃ 孵育过夜.
二抗: S-vision免疫组化多聚二抗(山羊抗兔),即用型 (货号KB3906), 室温孵育20分钟.
IHC检测KLHL9蛋白(货号 K1340461).
样品: 小鼠肾, 4%多聚甲醛 (货号KSG1101) 固定12-24小时.
抗原修复: 柠檬酸抗原修复液(干粉, pH 6.0) (KSG1201), 98℃, 20分钟.
—抗: 1: 1500稀释, 4℃ 孵育过夜.
二抗: S-vision免疫组化多聚二抗(山羊抗兔),即用型 (货号KB3906), 室温孵育20分钟.

需要技术支持?

如果您有任何问题或如果您在实验过程中遇到问题,或需要更详细的技术指导,请联系我们的技术支持团队
电话 400-6027-270

联系我们

如果您对我们的公司或产品有任何疑问,欢迎随时联系我们