tel 400-6027-270
Main Image
Anti-SET/TAF-I 兔多克隆抗体
¥1900
加入对比
货号: K1339870-100
预测分子量: 86 kDa
观测分子量: 100 kDa
亚细胞定位: 细胞质, 内质网, 细胞核
别名: 2PP2A,HLA DR associated protein II,I 2PP2A,I2PP2A,IGAAD,IPP2A2,PHAPII,SET,SET nuclear oncogene,TAF I,TAF IBETA,Template activating factor I
应用 | 种属
WB H,M,R
IHC/IF H,M,R
规格:
产品信息
蛋白质全称 SET核癌蛋白
别名 2PP2A,HLA DR associated protein II,I 2PP2A,I2PP2A,IGAAD,IPP2A2,PHAPII,SET,SET nuclear oncogene,TAF I,TAF IBETA,Template activating factor I
Uniprot ID Q9EQU5
免疫原 小鼠SET/TAF-I重组蛋白
抗体亚型 IgG
纯化方式 亲和纯化
亚细胞定位 细胞质, 内质网, 细胞核
预测分子量./观测分子量. 86 kDa / 100 kDa
应用
WB 免疫印迹
物种:人,小鼠,大鼠
稀释比:1:500-1:800
阳性样品:—
IHC/IF 免疫组织化学/免疫荧光
物种:人,小鼠,大鼠
稀释比:1:5000-1:10000
阳性样品:脑, 结肠, 结肠癌
背景
SET, also named as IGAAD, I-2PP2A, TAF-I, IGAAD and PHAPII, belongs to the nucleosome assembly protein (NAP) family.SET is a multifunctional oncoprotein which is ubiquitously expressed in all kinds of cells. The SET protein participates in many cellular processes including cell cycle, cell migration, apoptosis, transcription, and DNA repair. The SET protein plays important roles in facilitating cell proliferation via many pathways that promote tumorigenesis and metastasis.
储存条件
储存条件:储存条件在:-20℃下储存一年, 避免反复冻融.
储存缓冲液:含0.15% ProClin300防腐剂, 100 μg/mL牛血清白蛋白和50%甘油的磷酸盐缓冲液.
图像
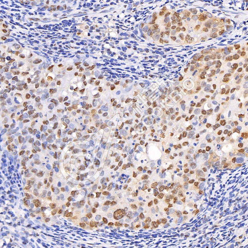
IHC检测SET/TAF-I蛋白(货号 K1339870).
样品: 人结肠癌, 4%多聚甲醛 (货号KSG1101) 固定12-24小时.
抗原修复: 柠檬酸抗原修复液(干粉, pH 6.0) (KSG1201), 98℃, 20分钟.
—抗: 1: 7500稀释, 4℃ 孵育过夜.
二抗: S-vision免疫组化多聚二抗(山羊抗兔),即用型 (货号KB3906), 室温孵育20分钟.
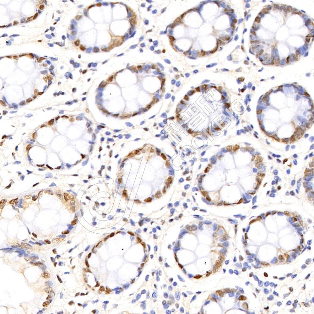
IHC检测SET/TAF-I蛋白(货号 K1339870).
样品: 人结肠, 4%多聚甲醛 (货号KSG1101) 固定12-24小时.
抗原修复: 柠檬酸抗原修复液(干粉, pH 6.0) (KSG1201), 98℃, 20分钟.
—抗: 1: 7500稀释, 4℃ 孵育过夜.
二抗: S-vision免疫组化多聚二抗(山羊抗兔),即用型 (货号KB3906), 室温孵育20分钟.
IHC检测SET/TAF-I蛋白(货号 K1339870).
样品: 人食管癌, 4%多聚甲醛 (货号KSG1101) 固定12-24小时.
抗原修复: 柠檬酸抗原修复液(干粉, pH 6.0) (KSG1201), 98℃, 20分钟.
—抗: 1: 7500稀释, 4℃ 孵育过夜.
二抗: S-vision免疫组化多聚二抗(山羊抗兔),即用型 (货号KB3906), 室温孵育20分钟.
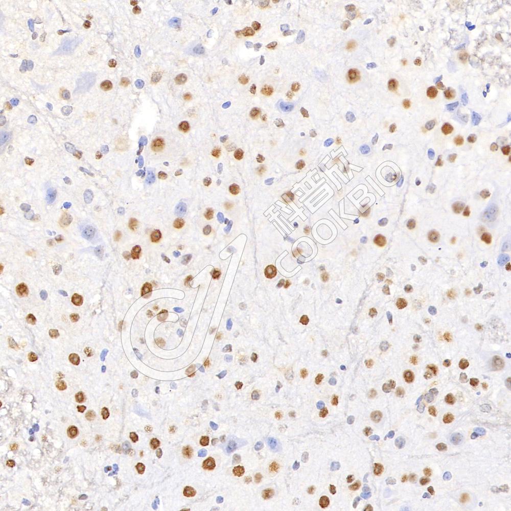
IHC检测SET/TAF-I蛋白(货号 K1339870).
样品: 小鼠脊髓, 4%多聚甲醛 (货号KSG1101) 固定12-24小时.
抗原修复: 柠檬酸抗原修复液(干粉, pH 6.0) (KSG1201), 98℃, 20分钟.
—抗: 1: 7500稀释, 4℃ 孵育过夜.
二抗: S-vision免疫组化多聚二抗(山羊抗兔),即用型 (货号KB3906), 室温孵育20分钟.
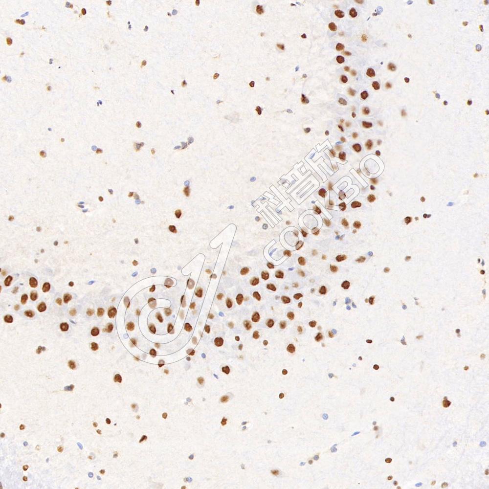
IHC检测SET/TAF-I蛋白(货号 K1339870).
样品: 大鼠脑, 4%多聚甲醛 (货号KSG1101) 固定12-24小时.
抗原修复: 柠檬酸抗原修复液(干粉, pH 6.0) (KSG1201), 98℃, 20分钟.
—抗: 1: 7500稀释, 4℃ 孵育过夜.
二抗: S-vision免疫组化多聚二抗(山羊抗兔),即用型 (货号KB3906), 室温孵育20分钟.
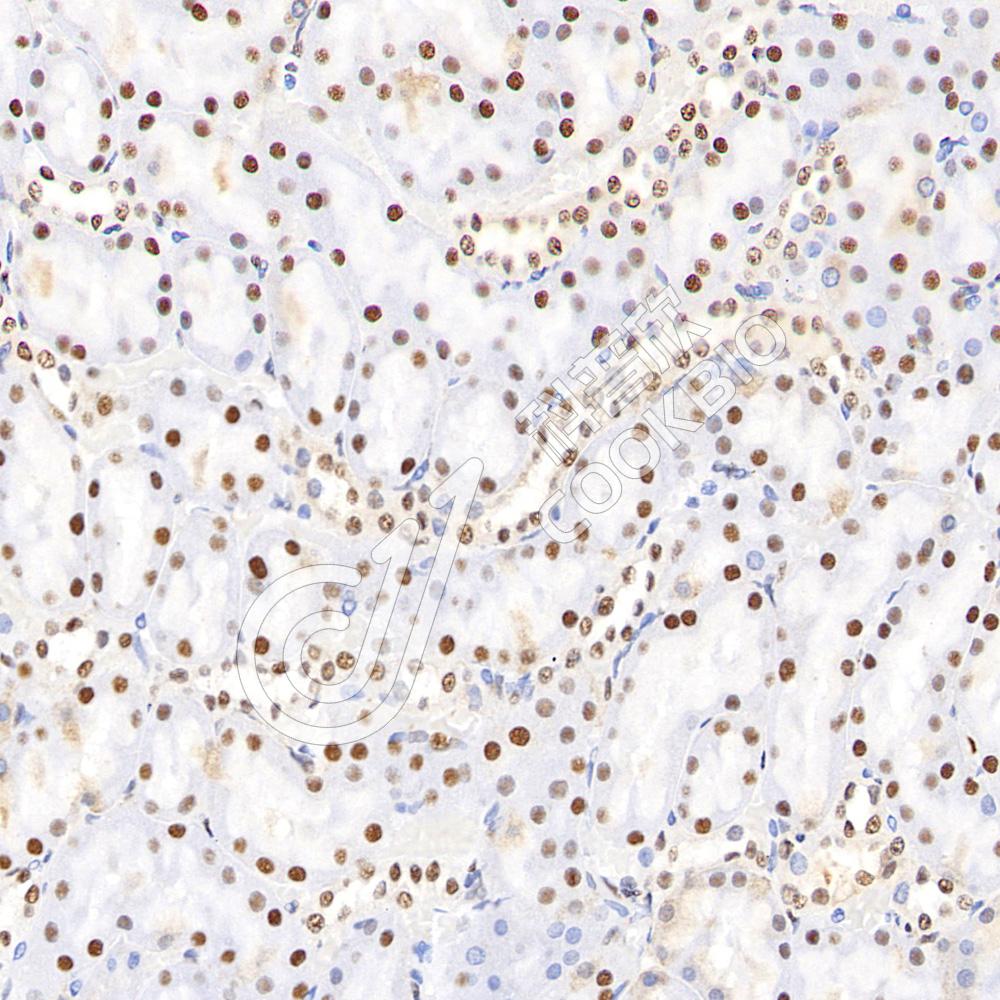
IHC检测SET/TAF-I蛋白(货号 K1339870).
样品: 大鼠肾, 4%多聚甲醛 (货号KSG1101) 固定12-24小时.
抗原修复: 柠檬酸抗原修复液(干粉, pH 6.0) (KSG1201), 98℃, 20分钟.
—抗: 1: 7500稀释, 4℃ 孵育过夜.
二抗: S-vision免疫组化多聚二抗(山羊抗兔),即用型 (货号KB3906), 室温孵育20分钟.

需要技术支持?

如果您有任何问题或如果您在实验过程中遇到问题,或需要更详细的技术指导,请联系我们的技术支持团队
电话 400-6027-270

联系我们

如果您对我们的公司或产品有任何疑问,欢迎随时联系我们