tel 400-6027-270
Main Image
Anti-Aquaporin 5 兔多克隆抗体
¥1900
加入对比
货号: K1339954-100
预测分子量: 28 kDa
观测分子量: 28 kDa
亚细胞定位: 细胞膜
别名: AQP-5,Aqp5,Aquaporin 5
应用 | 种属
WB H,M,R
IHC/IF H
规格:
产品信息
蛋白质全称 水通道蛋白5
别名 AQP-5,Aqp5,Aquaporin 5
Uniprot ID Q9WTY4
免疫原 KLH偶联的小鼠Aquaporin 5合成肽
抗体亚型 IgG
纯化方式 亲和纯化
亚细胞定位 细胞膜
预测分子量./观测分子量. 28 kDa / 28 kDa
应用
WB 免疫印迹
物种:人,小鼠,大鼠
稀释比:1:600-1:1200
阳性样品:—
IHC/IF 免疫组织化学/免疫荧光
物种:人
稀释比:1:1800-1:3600
阳性样品:肾
背景
Aquaporin 5 (AQP5) is a water channel protein. Aquaporins are a family of small integral membrane proteins related to the major intrinsic protein (MIP or AQP0). Aquaporin 5 plays a role in the generation of saliva, tears and pulmonary secretions. AQP0, AQP2, AQP5, and AQP6 are closely related and all map to 12q13.
储存条件
储存条件:储存条件在:-20℃下储存一年, 避免反复冻融.
储存缓冲液:含0.15% ProClin300防腐剂, 100 μg/mL牛血清白蛋白和50%甘油的磷酸盐缓冲液.
图像
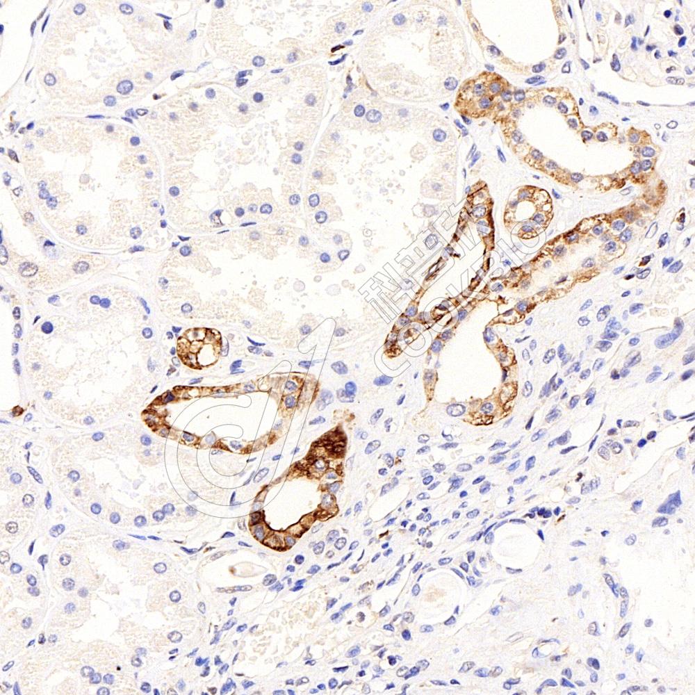
IHC检测Aquaporin 5蛋白(货号 K1339954).
样品: 人肾, 4%多聚甲醛 (货号KSG1101) 固定12-24小时.
抗原修复: 柠檬酸抗原修复液(干粉, pH 6.0) (KSG1201), 98℃, 20分钟.
—抗: 1: 2700稀释, 4℃ 孵育过夜.
二抗: S-vision免疫组化多聚二抗(山羊抗兔),即用型 (货号KB3906), 室温孵育20分钟.
Aquaporin 5_d1000_WB
IHC检测Aquaporin 5蛋白(货号 K1339954).
样品: 人肾, 4%多聚甲醛 (货号KSG1101) 固定12-24小时.
抗原修复: 柠檬酸抗原修复液(干粉, pH 6.0) (KSG1201), 98℃, 20分钟.
—抗: 1: 2700稀释, 4℃ 孵育过夜.
二抗: S-vision免疫组化多聚二抗(山羊抗兔),即用型 (货号KB3906), 室温孵育20分钟.

需要技术支持?

如果您有任何问题或如果您在实验过程中遇到问题,或需要更详细的技术指导,请联系我们的技术支持团队
电话 400-6027-270

联系我们

如果您对我们的公司或产品有任何疑问,欢迎随时联系我们