tel 400-6027-270
Main Image
Anti-Nav1.6/SCN8A 兔多克隆抗体
¥1900
加入对比
货号: K1341223-100
预测分子量: 225 kDa
观测分子量: 225 kDa
亚细胞定位: 细胞膜, 细胞突起
别名: CerIII,CIAT,EIEE13,MED,NaCh6,Nav 1.6,Motor endplate disease,peripheral nerve protein type 4,PN4,SCN8A,Sodium channel protein type 8 alpha subunitVoltage gated sodium channel subunit alpha Nav1.6
应用 | 种属
WB M
IHC/IF M,R
规格:
产品信息
蛋白质全称 钠通道α亚基8型
别名 CerIII,CIAT,EIEE13,MED,NaCh6,Nav 1.6,Motor endplate disease,peripheral nerve protein type 4,PN4,SCN8A,Sodium channel protein type 8 alpha subunitVoltage gated sodium channel subunit alpha Nav1.6
Uniprot ID Q9WTU3
免疫原 KLH偶联的小鼠Nav1.6/SCN8A合成肽
抗体亚型 IgG
纯化方式 亲和纯化
亚细胞定位 细胞膜, 细胞突起
预测分子量./观测分子量. 225 kDa / 225 kDa
应用
WB 免疫印迹
物种:小鼠
稀释比:1:300-1:600
阳性样品:—
IHC/IF 免疫组织化学/免疫荧光
物种:小鼠,大鼠
稀释比:1:600-1:1200
阳性样品:脑, 海马区
背景
This gene encodes a member of the sodium channel alpha subunit gene family. The encoded protein forms the ion pore region of the voltage-gated sodium channel. This protein is essential for the rapid membrane depolarization that occurs during the formation of the action potential in excitable neurons. Mutations in this gene are associated with cognitive disability, pancerebellar atrophy and ataxia. Alternate splicing results in multiple transcript variants.
储存条件
储存条件:储存条件在:-20℃下储存一年, 避免反复冻融.
储存缓冲液:含0.15% ProClin300防腐剂, 100 μg/mL牛血清白蛋白和50%甘油的磷酸盐缓冲液.
图像
IHC检测Nav1.
6/SCN8A蛋白(货号 K1341223).
样品: 小鼠海马区, 4%多聚甲醛 (货号KSG1101) 固定12-24小时.
抗原修复: 柠檬酸抗原修复液(干粉, pH 6.0) (KSG1201), 98℃, 20分钟.
—抗: 1: 900稀释, 4℃ 孵育过夜.
二抗: S-vision免疫组化多聚二抗(山羊抗兔),即用型 (货号KB3906), 室温孵育20分钟.
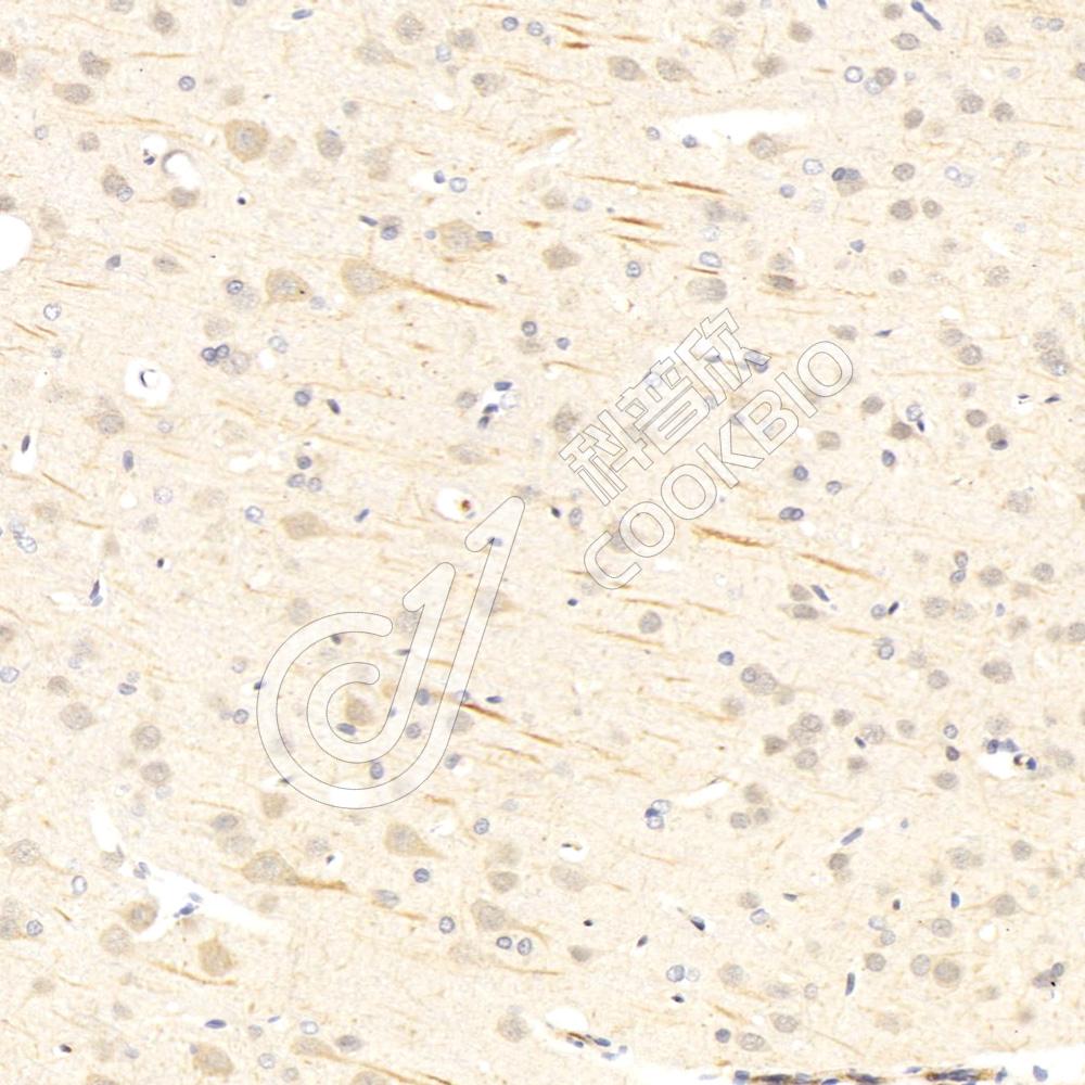
IHC检测Nav1.
6/SCN8A蛋白(货号 K1341223).
样品: 大鼠脑, 4%多聚甲醛 (货号KSG1101) 固定12-24小时.
抗原修复: 柠檬酸抗原修复液(干粉, pH 6.0) (KSG1201), 98℃, 20分钟.
—抗: 1: 900稀释, 4℃ 孵育过夜.
二抗: S-vision免疫组化多聚二抗(山羊抗兔),即用型 (货号KB3906), 室温孵育20分钟.

需要技术支持?

如果您有任何问题或如果您在实验过程中遇到问题,或需要更详细的技术指导,请联系我们的技术支持团队
电话 400-6027-270

联系我们

如果您对我们的公司或产品有任何疑问,欢迎随时联系我们