tel 400-6027-270
Main Image
Anti-SLC10A2/ASBT 兔多克隆抗体
¥1900
加入对比
货号: K1337737-100
亚细胞定位: 细胞膜
别名: Apical sodium-dependent bile acid transporter,ASBT,Ileal Na(+)/bile acid cotransporter,Ileal sodium-dependent bile acid transporter,IBAT,ISBT,Slc10a2,Ntcp2,Solute carrier family 10 member 2
应用 | 种属
IHC/IF M,R
规格:
产品信息
蛋白质全称 回肠钠/胆汁酸共转运体
别名 Apical sodium-dependent bile acid transporter,ASBT,Ileal Na(+)/bile acid cotransporter,Ileal sodium-dependent bile acid transporter,IBAT,ISBT,Slc10a2,Ntcp2,Solute carrier family 10 member 2
Uniprot ID P70172
免疫原 KLH偶联的小鼠SLC10A2/ASBT合成肽
抗体亚型 IgG
纯化方式 亲和纯化
亚细胞定位 细胞膜
应用
IHC/IF 免疫组织化学/免疫荧光
物种:小鼠,大鼠
稀释比:1:3000-1:6000
阳性样品:肾, 小肠
背景
Could play a role in bone osteoclastic resorption. Cleaves type IV and type V collagen into large C-terminal three quarter fragments and shorter N-terminal one quarter fragments.
储存条件
储存条件:储存条件在:-20℃下储存一年, 避免反复冻融.
储存缓冲液:含0.15% ProClin300防腐剂, 100 μg/mL牛血清白蛋白和50%甘油的磷酸盐缓冲液.
图像
IHC检测SLC10A2/ASBT蛋白(货号 K1337737).
样品: 小鼠小肠, 4%多聚甲醛 (货号KSG1101) 固定12-24小时.
抗原修复: 柠檬酸抗原修复液(干粉, pH 6.0) (KSG1201), 98℃, 20分钟.
—抗: 1: 4500稀释, 4℃ 孵育过夜.
二抗: S-vision免疫组化多聚二抗(山羊抗兔),即用型 (货号KB3906), 室温孵育20分钟.
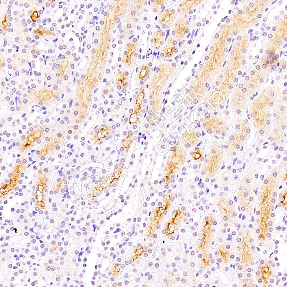
IHC检测SLC10A2/ASBT蛋白(货号 K1337737).
样品: 大鼠肾, 4%多聚甲醛 (货号KSG1101) 固定12-24小时.
抗原修复: 柠檬酸抗原修复液(干粉, pH 6.0) (KSG1201), 98℃, 20分钟.
—抗: 1: 4500稀释, 4℃ 孵育过夜.
二抗: S-vision免疫组化多聚二抗(山羊抗兔),即用型 (货号KB3906), 室温孵育20分钟.

需要技术支持?

如果您有任何问题或如果您在实验过程中遇到问题,或需要更详细的技术指导,请联系我们的技术支持团队
电话 400-6027-270

联系我们

如果您对我们的公司或产品有任何疑问,欢迎随时联系我们