tel 400-6027-270
Main Image
Anti-PPAR alpha 兔多克隆抗体
¥1900
加入对比
货号: K133489-100
亚细胞定位: 细胞核
别名: PPARA,NR1C1,PPAR,PPARalpha,hPPAR,peroxisome proliferator activated receptor alpha,PPARα
应用 | 种属
IHC/IF M,R
规格:
产品信息
蛋白质全称 过氧化物酶体增殖物激活受体α
别名 PPARA,NR1C1,PPAR,PPARalpha,hPPAR,peroxisome proliferator activated receptor alpha,PPARα
Uniprot ID P23204
免疫原 KLH偶联的小鼠PPAR alpha合成肽
抗体亚型 IgG
纯化方式 亲和纯化
亚细胞定位 细胞核
应用
IHC/IF 免疫组织化学/免疫荧光
物种:小鼠,大鼠
稀释比:1:200-1:800
阳性样品:肝, 小肠
背景
Peroxisome proliferator-activated receptor alpha (PPAR-alpha), also known as NR1C1, is a nuclear receptor protein that in humans is encoded by the PPARA gene. PPAR-alpha is a transcription factor and a major regulator of lipid metabolism in the liver. PPAR-alpha is activated under conditions of energy deprivation and is necessary for the process of ketogenesis, a key adaptive response to prolonged fasting.[7] Activation of PPAR-alpha promotes uptake, utilization, and catabolism of fatty acids by upregulation of genes involved in fatty acid transport, fatty acid binding and activation, and peroxisomal and mitochondrial fatty acid β-oxidation.
储存条件
储存条件:储存条件在:-20℃下储存一年, 避免反复冻融.
储存缓冲液:含0.15% ProClin300防腐剂, 100 μg/mL牛血清白蛋白和50%甘油的磷酸盐缓冲液.
图像
IHC检测PPAR alpha蛋白(货号 K133489).
样品: 小鼠肝, 4%多聚甲醛 (货号KSG1101) 固定12-24小时.
抗原修复: 柠檬酸抗原修复液(干粉, pH 6.0) (KSG1201), 98℃, 20分钟.
—抗: 1: 500稀释, 4℃ 孵育过夜.
二抗: S-vision免疫组化多聚二抗(山羊抗兔),即用型 (货号KB3906), 室温孵育20分钟.
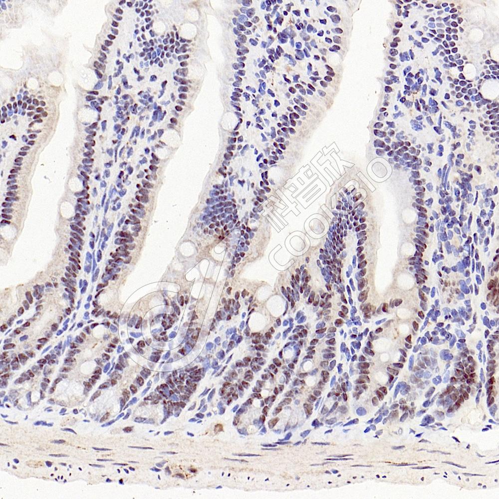
IHC检测PPAR alpha蛋白(货号 K133489).
样品: 大鼠小肠, 4%多聚甲醛 (货号KSG1101) 固定12-24小时.
抗原修复: 柠檬酸抗原修复液(干粉, pH 6.0) (KSG1201), 98℃, 20分钟.
—抗: 1: 500稀释, 4℃ 孵育过夜.
二抗: S-vision免疫组化多聚二抗(山羊抗兔),即用型 (货号KB3906), 室温孵育20分钟.

需要技术支持?

如果您有任何问题或如果您在实验过程中遇到问题,或需要更详细的技术指导,请联系我们的技术支持团队
电话 400-6027-270

联系我们

如果您对我们的公司或产品有任何疑问,欢迎随时联系我们