tel 400-6027-270
Main Image
Anti-PPAPDC3 兔多克隆抗体
¥1900
加入对比
货号: K1341061-100
亚细胞定位: 内质网, 膜, 细胞核
别名: Nuclear envelope transmembrane protein 39,Phosphatidic acid phosphatase type 2 domain-containing protein 3,Plpp7,Net39,Ppapdc3
应用 | 种属
IHC/IF M,R
规格:
产品信息
蛋白质全称 失活磷脂酶7
别名 Nuclear envelope transmembrane protein 39,Phosphatidic acid phosphatase type 2 domain-containing protein 3,Plpp7,Net39,Ppapdc3
Uniprot ID Q91WB2
免疫原 KLH偶联的小鼠PPAPDC3合成肽
抗体亚型 IgG
纯化方式 亲和纯化
亚细胞定位 内质网, 膜, 细胞核
应用
IHC/IF 免疫组织化学/免疫荧光
物种:小鼠,大鼠
稀释比:1:2000-1:4000
阳性样品:骨骼肌
背景
Plays a role as negative regulator of myoblast differentiation, in part through effects on MTOR signaling. Has no detectable enzymatic activity. Knockdown in myoblasts strongly promotes differentiation, whereas overexpression represses myogenesis.
储存条件
储存条件:储存条件在:-20℃下储存一年, 避免反复冻融.
储存缓冲液:含0.15% ProClin300防腐剂, 100 μg/mL牛血清白蛋白和50%甘油的磷酸盐缓冲液.
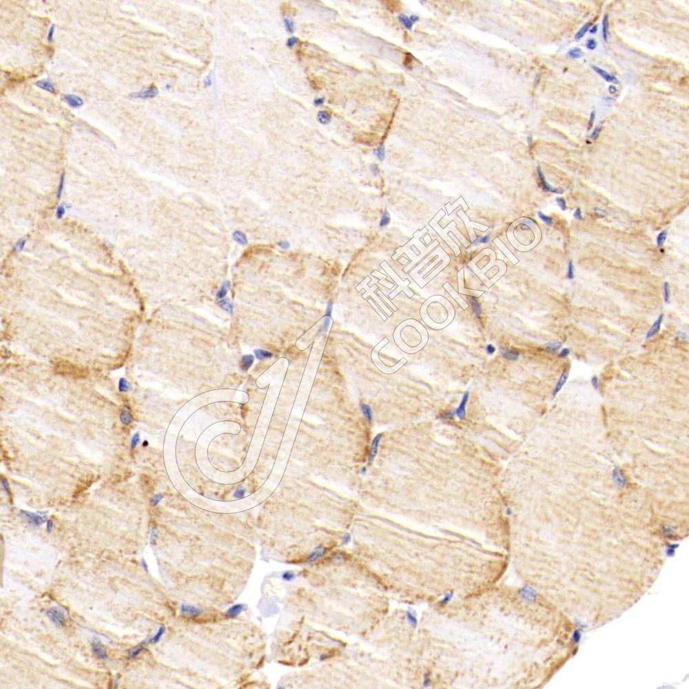
图像
IHC检测PPAPDC3蛋白(货号 K1341061).
样品: 小鼠骨骼肌, 4%多聚甲醛 (货号KSG1101) 固定12-24小时.
抗原修复: 柠檬酸抗原修复液(干粉, pH 6.0) (KSG1201), 98℃, 20分钟.
—抗: 1: 3000稀释, 4℃ 孵育过夜.
二抗: S-vision免疫组化多聚二抗(山羊抗兔),即用型 (货号KB3906), 室温孵育20分钟.
IHC检测PPAPDC3蛋白(货号 K1341061).
样品: 大鼠骨骼肌, 4%多聚甲醛 (货号KSG1101) 固定12-24小时.
抗原修复: 柠檬酸抗原修复液(干粉, pH 6.0) (KSG1201), 98℃, 20分钟.
—抗: 1: 3000稀释, 4℃ 孵育过夜.
二抗: S-vision免疫组化多聚二抗(山羊抗兔),即用型 (货号KB3906), 室温孵育20分钟.

需要技术支持?

如果您有任何问题或如果您在实验过程中遇到问题,或需要更详细的技术指导,请联系我们的技术支持团队
电话 400-6027-270

联系我们

如果您对我们的公司或产品有任何疑问,欢迎随时联系我们