tel 400-6027-270
Main Image
Anti-Carbonic Anhydrase 3/CA3 兔多克隆抗体
¥1900
加入对比
货号: K1341325-100
预测分子量: 29 kDa
观测分子量: 29 kDa
亚细胞定位: 细胞质
别名: CA-III,CA3,CAIII,Car3,Carbonate dehydratase III,Carbonic anhydrase III
应用 | 种属
WB M,R
IHC/IF H,M,R
规格:
产品信息
蛋白质全称 碳酸酐酶3
别名 CA-III,CA3,CAIII,Car3,Carbonate dehydratase III,Carbonic anhydrase III
Uniprot ID P16015
免疫原 KLH偶联的小鼠Carbonic Anhydrase 3/CA3合成肽
抗体亚型 IgG
纯化方式 亲和纯化
亚细胞定位 细胞质
预测分子量./观测分子量. 29 kDa / 29 kDa
应用
WB 免疫印迹
物种:小鼠,大鼠
稀释比:1:300-1:800
阳性样品:—
IHC/IF 免疫组织化学/免疫荧光
物种:人,小鼠,大鼠
稀释比:1:500-1:1000
阳性样品:骨骼肌
背景
Carbonic anhydrase III (CA3), which belongs to the alpha-carbonic anhydrase family, is a cytoplasmic enzyme that exhibits a relatively low carbon dioxide hydratase activity. It is expressed at a very high level in skeletal muscle, where physical exercise has been shown to increase free radical production. In addition to its carbon dioxide hydratase activity, CA3 has been demonstrated to have a carboxyl esterase activity and phosphatase activity, which suggests that it is a tyrosine phosphatase .
储存条件
储存条件:储存条件在:-20℃下储存一年, 避免反复冻融.
储存缓冲液:含0.15% ProClin300防腐剂, 100 μg/mL牛血清白蛋白和50%甘油的磷酸盐缓冲液.
图像
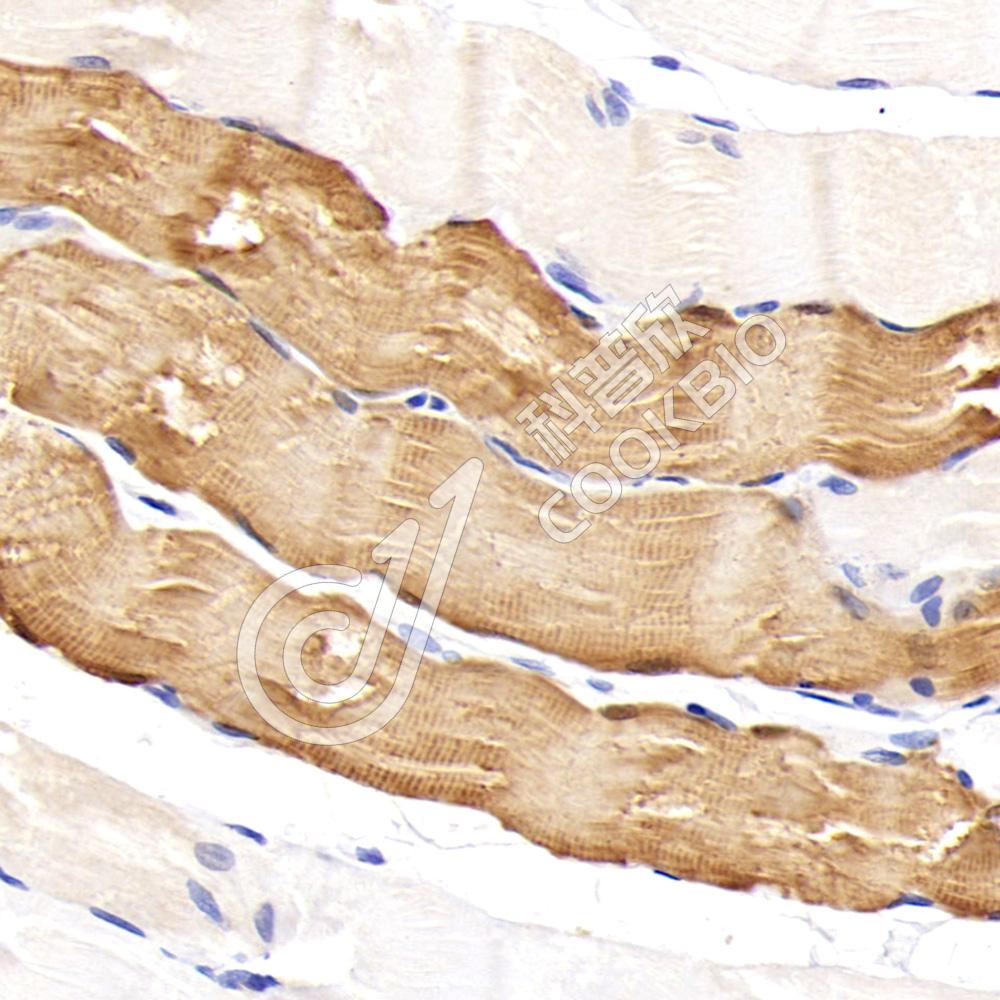
IHC检测Carbonic Anhydrase 3/CA3蛋白(货号 K1341325).
样品: 小鼠骨骼肌, 4%多聚甲醛 (货号KSG1101) 固定12-24小时.
抗原修复: 柠檬酸抗原修复液(干粉, pH 6.0) (KSG1201), 98℃, 20分钟.
—抗: 1: 800稀释, 4℃ 孵育过夜.
二抗: S-vision免疫组化多聚二抗(山羊抗兔),即用型 (货号KB3906), 室温孵育20分钟.
CA3_d500_WB
IHC检测Carbonic Anhydrase 3/CA3蛋白(货号 K1341325).
样品: 大鼠骨骼肌, 4%多聚甲醛 (货号KSG1101) 固定12-24小时.
抗原修复: 柠檬酸抗原修复液(干粉, pH 6.0) (KSG1201), 98℃, 20分钟.
—抗: 1: 800稀释, 4℃ 孵育过夜.
二抗: S-vision免疫组化多聚二抗(山羊抗兔),即用型 (货号KB3906), 室温孵育20分钟.
IF检测Carbonic Anhydrase 3/CA3蛋白(货号 K1341325)(红色).
样品: 人骨骼肌, 4%多聚甲醛 (货号KSG1101) 固定12-24小时.
抗原修复: Tris-EDTA抗原修复液(pH 9.0) (KSG1203), 98℃, 20分钟.
封闭: 3% BSA(货号KSGC305010)的PBS溶液, 室温孵育30分钟.
—抗: 1: 800稀释, 4℃ 孵育过夜.
二抗: Cy3标记山羊抗兔IgG (H+L) (货号KB63909), 1: 300稀释, 室温孵育1小时.

需要技术支持?

如果您有任何问题或如果您在实验过程中遇到问题,或需要更详细的技术指导,请联系我们的技术支持团队
电话 400-6027-270

联系我们

如果您对我们的公司或产品有任何疑问,欢迎随时联系我们