tel 400-6027-270
Main Image
Anti-CENPF 兔多克隆抗体
¥1900
加入对比
货号: K1345174-100
亚细胞定位: 细胞质, 细胞核, 染色体
别名: AH antigen,CENF,CENP F,CENPF,Centromere protein F,hcp 1,Kinetochore protein CENPF,Mitosin,PRO1779
应用 | 种属
IHC/IF H
ICC/IF H,M
规格:
产品信息
蛋白质全称 着丝粒蛋白F
别名 AH antigen,CENF,CENP F,CENPF,Centromere protein F,hcp 1,Kinetochore protein CENPF,Mitosin,PRO1779
Uniprot ID P49454
免疫原 KLH偶联的人CENPF合成肽
抗体亚型 IgG
纯化方式 亲和纯化
亚细胞定位 细胞质, 细胞核, 染色体
应用
IHC/IF 免疫组织化学/免疫荧光
物种:人
稀释比:1:500-1:2000
阳性样品:结肠, 胃癌
ICC/IF 免疫细胞化学/免疫荧光
物种:人,小鼠
稀释比:1:100-1:600
阳性样品:—
背景
Required for kinetochore function and chromosome segregation in mitosis. Required for kinetochore localization of dynein, LIS1, NDE1 and NDEL1. Regulates recycling of the plasma membrane by acting as a link between recycling vesicles and the microtubule network though its association with STX4 and SNAP25. Acts as a potential inhibitor of pocket protein-mediated cellular processes during development by regulating the activity of RB proteins during cell division and proliferation. May play a regulatory or permissive role in the normal embryonic cardiomyocyte cell cycle and in promoting continued mitosis in transformed, abnormally dividing neonatal cardiomyocytes. Interaction with RB directs embryonic stem cells toward a cardiac lineage.
储存条件
储存条件:储存条件在:-20℃下储存一年, 避免反复冻融.
储存缓冲液:含0.15% ProClin300防腐剂, 100 μg/mL牛血清白蛋白和50%甘油的磷酸盐缓冲液.
图像
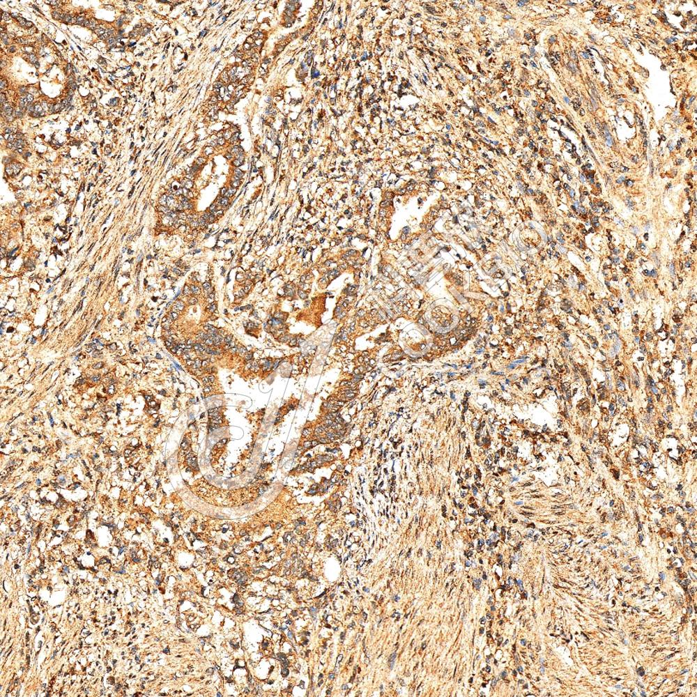
IHC检测CENPF蛋白(货号 K1345174).
样品: 人结肠, 4%多聚甲醛 (货号KSG1101) 固定12-24小时.
抗原修复: Tris-EDTA抗原修复液(pH 9.0) (KSG1203), 98℃, 20分钟.
—抗: 1: 1300稀释, 4℃ 孵育过夜.
二抗: S-vision免疫组化多聚二抗(山羊抗兔),即用型 (货号KB3906), 室温孵育20分钟.
IHC检测CENPF蛋白(货号 K1345174).
样品: 人胃癌, 4%多聚甲醛 (货号KSG1101) 固定12-24小时.
抗原修复: Tris-EDTA抗原修复液(pH 9.0) (KSG1203), 98℃, 20分钟.
—抗: 1: 1300稀释, 4℃ 孵育过夜.
二抗: S-vision免疫组化多聚二抗(山羊抗兔),即用型 (货号KB3906), 室温孵育20分钟.

需要技术支持?

如果您有任何问题或如果您在实验过程中遇到问题,或需要更详细的技术指导,请联系我们的技术支持团队
电话 400-6027-270

联系我们

如果您对我们的公司或产品有任何疑问,欢迎随时联系我们