tel 400-6027-270
Main Image
Anti-CD2 兔多克隆抗体
¥1900
加入对比
货号: K1345822-100
预测分子量: 39 kDa
观测分子量: 48-65 kDa
亚细胞定位: 细胞膜
别名: CD2 molecule,Erythrocyte receptor,LFA 2,LFA 3 receptor,Rosette receptor,SRBC,T cell surface antigen CD2,T11
应用 | 种属
WB H
IHC/IF H
规格:
产品信息
蛋白质全称 T细胞表面抗原CD2
别名 CD2 molecule,Erythrocyte receptor,LFA 2,LFA 3 receptor,Rosette receptor,SRBC,T cell surface antigen CD2,T11
Uniprot ID P06729
免疫原 人CD2重组蛋白
抗体亚型 IgG
纯化方式 亲和纯化
亚细胞定位 细胞膜
预测分子量./观测分子量. 39 kDa / 48-65 kDa
应用
WB 免疫印迹
物种:人
稀释比:1:500-1:1000
阳性样品:肺
IHC/IF 免疫组织化学/免疫荧光
物种:人
稀释比:1:1200-1:2400
阳性样品:肺腺癌, 扁桃体
背景
CD2 interacts with lymphocyte function-associated antigen CD58 (LFA-3) and CD48/BCM1 to mediate adhesion between T-cells and other cell types. CD2 is implicated in the triggering of T-cells, the cytoplasmic domain is implicated in the signaling function.
储存条件
储存条件:储存条件在:-20℃下储存一年, 避免反复冻融.
储存缓冲液:含0.15% ProClin300防腐剂, 100 μg/mL牛血清白蛋白和50%甘油的磷酸盐缓冲液.
图像
WB检测CD2蛋白(货号 K1345822).
样品: 经RIPA裂解液(货号KSG2002)处理的蛋白质.
封闭: 3%脱脂牛奶(货号KSGC310001)溶于TBST溶液, 室温孵育1小时.
—抗: 1: 500稀释, 4℃ 孵育过夜.
二抗: HRP标记山羊抗兔IgG (H+L) (货号KB69909), 1: 5000稀释, 室温孵育1小时.
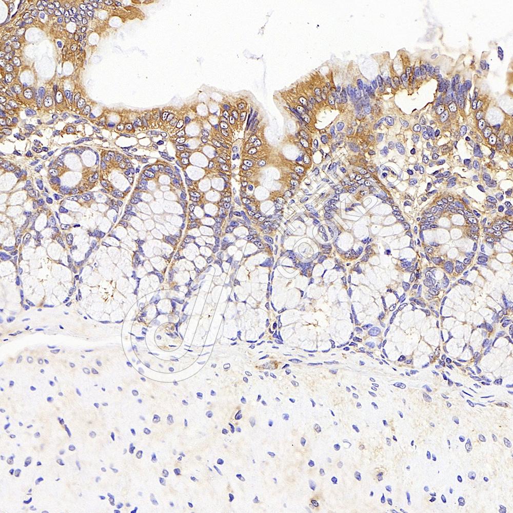
IF检测CD2蛋白(货号 K1345822)(红色).
样品: 人肺腺癌, 4%多聚甲醛 (货号KSG1101) 固定12-24小时.
抗原修复: Tris-EDTA抗原修复液(pH 9.0) (KSG1203), 98℃, 20分钟.
封闭: 3% BSA(货号KSGC305010)的PBS溶液, 室温孵育30分钟.
—抗: 1: 1800稀释, 4℃ 孵育过夜.
二抗: Cy3标记山羊抗兔IgG (H+L) (货号KB63909), 1: 300稀释, 室温孵育1小时.
IF检测CD2蛋白(货号 K1345822)(红色).
样品: 人扁桃体, 4%多聚甲醛 (货号KSG1101) 固定12-24小时.
抗原修复: Tris-EDTA抗原修复液(pH 9.0) (KSG1203), 98℃, 20分钟.
封闭: 3% BSA(货号KSGC305010)的PBS溶液, 室温孵育30分钟.
—抗: 1: 1800稀释, 4℃ 孵育过夜.
二抗: Cy3标记山羊抗兔IgG (H+L) (货号KB63909), 1: 300稀释, 室温孵育1小时.

需要技术支持?

如果您有任何问题或如果您在实验过程中遇到问题,或需要更详细的技术指导,请联系我们的技术支持团队
电话 400-6027-270

联系我们

如果您对我们的公司或产品有任何疑问,欢迎随时联系我们