tel 400-6027-270
Main Image
Anti-TMEM147 兔多克隆抗体
¥1900
加入对比
货号: K1345918-100
亚细胞定位: 内质网膜, 细胞膜
别名: MGC1936,NIFIE14
应用 | 种属
IHC/IF M,R
规格:
产品信息
蛋白质全称 跨膜蛋白147
别名 MGC1936,NIFIE14
Uniprot ID Q9CQG6
免疫原 KLH偶联的小鼠TMEM147合成肽
抗体亚型 IgG
纯化方式 亲和纯化
亚细胞定位 内质网膜, 细胞膜
应用
IHC/IF 免疫组织化学/免疫荧光
物种:小鼠,大鼠
稀释比:1:800-1:2400
阳性样品:肺, 脾
背景
Component of a ribosome-associated endoplasmic reticulum (ER) translocon complex involved in multi-pass membrane protein transport into the ER membrane and biogenesis. Together with SEC61 and TMCO1, forms the lipid-filled cavity at the center of the translocon where TMEM147 may insert hydrophobic segments of mutli-pass membrane proteins from the lumen into de central membrane cavity in a process gated by SEC61, and TMCO1 may insert hydrophobic segments of nascent chains from the cytosol into the cavity. Acts as a negative regulator of CHRM3 function, most likely by interfering with its trafficking to the cell membrane. Negatively regulates CHRM3-mediated calcium mobilization and activation of RPS6KA1/p90RSK activity. {ECO:0000250|UniProtKB:Q9BVK8}.
储存条件
储存条件:储存条件在:-20℃下储存一年, 避免反复冻融.
储存缓冲液:含0.15% ProClin300防腐剂, 100 μg/mL牛血清白蛋白和50%甘油的磷酸盐缓冲液.
图像
IHC检测TMEM147蛋白(货号 K1345918).
样品: 小鼠脾, 4%多聚甲醛 (货号KSG1101) 固定12-24小时.
抗原修复: Tris-EDTA抗原修复液(pH 9.0) (KSG1203), 98℃, 20分钟.
—抗: 1: 1600稀释, 4℃ 孵育过夜.
二抗: S-vision免疫组化多聚二抗(山羊抗兔),即用型 (货号KB3906), 室温孵育20分钟.
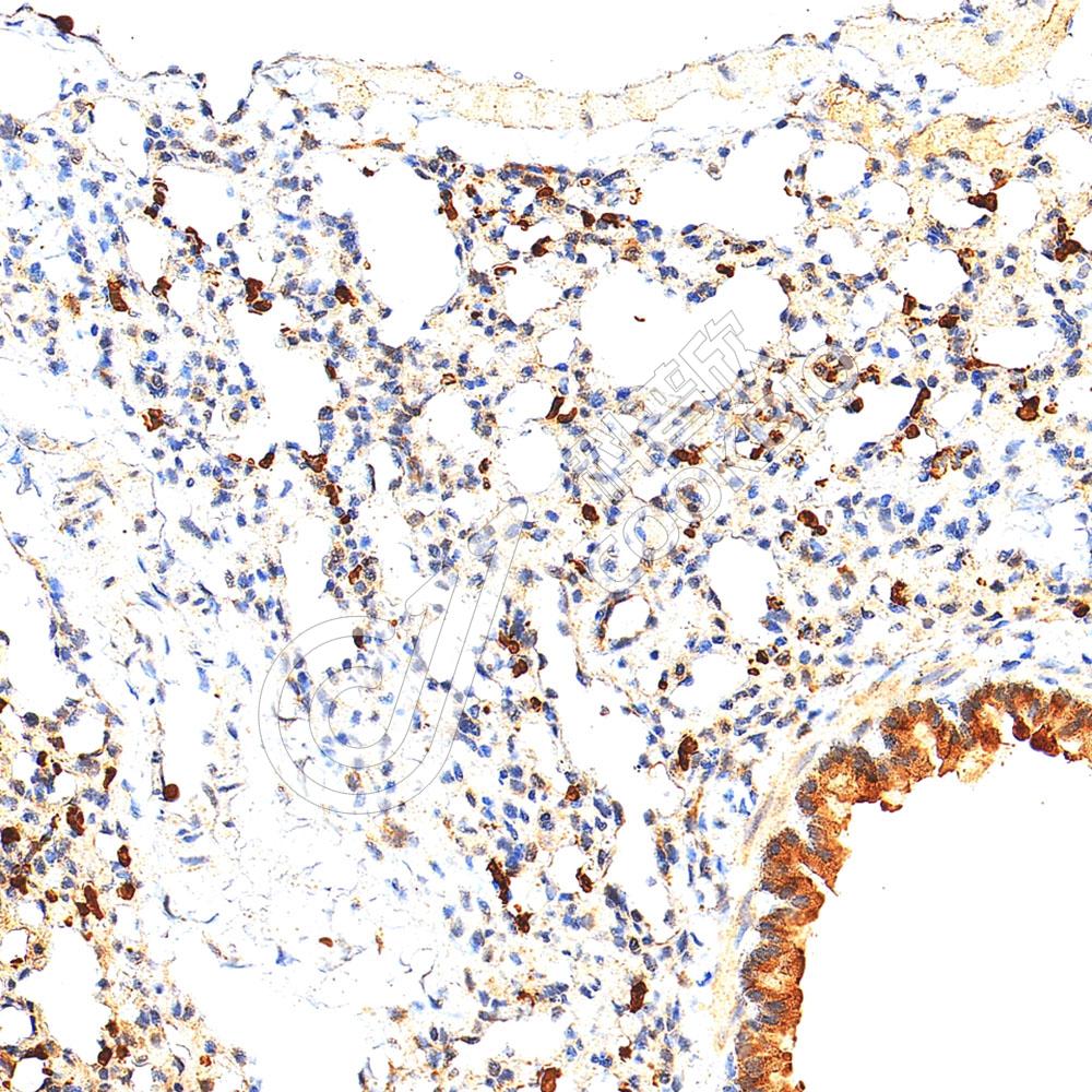
IHC检测TMEM147蛋白(货号 K1345918).
样品: 大鼠肺, 4%多聚甲醛 (货号KSG1101) 固定12-24小时.
抗原修复: Tris-EDTA抗原修复液(pH 9.0) (KSG1203), 98℃, 20分钟.
—抗: 1: 1600稀释, 4℃ 孵育过夜.
二抗: S-vision免疫组化多聚二抗(山羊抗兔),即用型 (货号KB3906), 室温孵育20分钟.

需要技术支持?

如果您有任何问题或如果您在实验过程中遇到问题,或需要更详细的技术指导,请联系我们的技术支持团队
电话 400-6027-270

联系我们

如果您对我们的公司或产品有任何疑问,欢迎随时联系我们