tel 400-6027-270
Main Image
Anti-Kallikrein 7/KLK7 兔多克隆抗体
¥1900
加入对比
货号: K1338961-100
预测分子量: 27 kDa
观测分子量: 27 kDa
亚细胞定位: 分泌型
别名: Serine protease 6,Stratum corneum chymotryptic enzyme,Thymopsin,Klk7,Prss6,Scce
应用 | 种属
WB M,R
IHC/IF M
规格:
产品信息
蛋白质全称 激肽释放酶7
别名 Serine protease 6,Stratum corneum chymotryptic enzyme,Thymopsin,Klk7,Prss6,Scce
Uniprot ID Q91VE3
免疫原 KLH偶联的小鼠Kallikrein 7/KLK7合成肽
抗体亚型 IgG
纯化方式 亲和纯化
亚细胞定位 分泌型
预测分子量./观测分子量. 27 kDa / 27 kDa
应用
WB 免疫印迹
物种:小鼠,大鼠
稀释比:1:500-1:1000
阳性样品:—
IHC/IF 免疫组织化学/免疫荧光
物种:小鼠
稀释比:1:800-1:1600
阳性样品:皮肤
背景
Kallikreins are a subgroup of serine proteases having diverse physiological functions. Growing evidence suggests that many kallikreins are implicated in carcinogenesis and some have potential as novel cancer and other disease biomarkers. This gene is one of the fifteen kallikrein subfamily members located in a cluster on chromosome 19. Its encoded enzyme is thought to be involved in the proteolysis of intercellular cohesive structures preceding desquamation, which is the shedding of the outermost layer of the epidermis. Alternative splicing of this gene results in two transcript variants encoding the same protein.
储存条件
储存条件:储存条件在:-20℃下储存一年, 避免反复冻融.
储存缓冲液:含0.15% ProClin300防腐剂, 100 μg/mL牛血清白蛋白和50%甘油的磷酸盐缓冲液.
图像
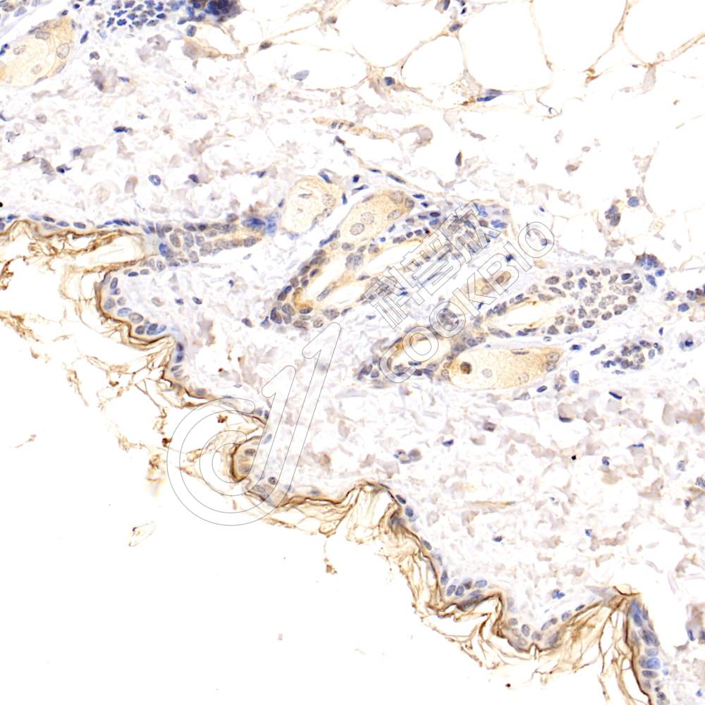
IHC检测Kallikrein 7/KLK7蛋白(货号 K1338961).
样品: 小鼠皮肤, 4%多聚甲醛 (货号KSG1101) 固定12-24小时.
抗原修复: 柠檬酸抗原修复液(干粉, pH 6.0) (KSG1201), 98℃, 20分钟.
—抗: 1: 1200稀释, 4℃ 孵育过夜.
二抗: S-vision免疫组化多聚二抗(山羊抗兔),即用型 (货号KB3906), 室温孵育20分钟.
IHC检测Kallikrein 7/KLK7蛋白(货号 K1338961).
样品: 小鼠皮肤, 4%多聚甲醛 (货号KSG1101) 固定12-24小时.
抗原修复: 柠檬酸抗原修复液(干粉, pH 6.0) (KSG1201), 98℃, 20分钟.
—抗: 1: 1200稀释, 4℃ 孵育过夜.
二抗: S-vision免疫组化多聚二抗(山羊抗兔),即用型 (货号KB3906), 室温孵育20分钟.

需要技术支持?

如果您有任何问题或如果您在实验过程中遇到问题,或需要更详细的技术指导,请联系我们的技术支持团队
电话 400-6027-270

联系我们

如果您对我们的公司或产品有任何疑问,欢迎随时联系我们