tel 400-6027-270
Main Image
Anti-Cathepsin B 兔多克隆抗体
¥1900
加入对比
货号: K1346788-100
亚细胞定位: 分泌型
别名: APP secretase,APPS,cathepsin B,Cathepsin B1,CPSB,CTSB
应用 | 种属
IHC/IF H
规格:
产品信息
蛋白质全称 组织蛋白酶B
别名 APP secretase,APPS,cathepsin B,Cathepsin B1,CPSB,CTSB
Uniprot ID P10605
免疫原 KLH偶联的小鼠CTSB合成肽
抗体亚型 IgG
纯化方式 亲和纯化
亚细胞定位 分泌型
应用
IHC/IF 免疫组织化学/免疫荧光
物种:人
稀释比:1:100-1:200
阳性样品:结肠, 肾
背景
Thiol protease which is believed to participate in intracellular degradation and turnover of proteins. Cleaves matrix extracellular phosphoglycoprotein MEPE. Involved in the solubilization of cross-linked TG/thyroglobulin in the thyroid follicle lumen. Has also been implicated in tumor invasion and metastasis.
储存条件
储存条件:储存条件在:-20℃下储存一年, 避免反复冻融.
储存缓冲液:含0.15% ProClin300防腐剂, 100 μg/mL牛血清白蛋白和50%甘油的磷酸盐缓冲液.
图像
IHC检测Cathepsin B蛋白(货号 K1346788).
样品: 人结肠, 4%多聚甲醛 (货号KSG1101) 固定12-24小时.
抗原修复: Tris-EDTA抗原修复液(pH 9.0) (KSG1203), 98℃, 20分钟.
—抗: 1: 200稀释, 4℃ 孵育过夜.
二抗: S-vision免疫组化多聚二抗(山羊抗兔),即用型 (货号KB3906), 室温孵育20分钟.
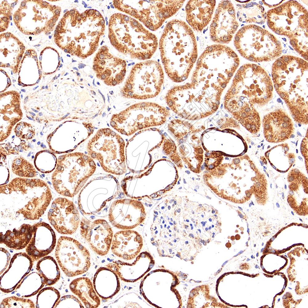
IHC检测Cathepsin B蛋白(货号 K1346788).
样品: 人肾, 4%多聚甲醛 (货号KSG1101) 固定12-24小时.
抗原修复: Tris-EDTA抗原修复液(pH 9.0) (KSG1203), 98℃, 20分钟.
—抗: 1: 200稀释, 4℃ 孵育过夜.
二抗: S-vision免疫组化多聚二抗(山羊抗兔),即用型 (货号KB3906), 室温孵育20分钟.

需要技术支持?

如果您有任何问题或如果您在实验过程中遇到问题,或需要更详细的技术指导,请联系我们的技术支持团队
电话 400-6027-270

联系我们

如果您对我们的公司或产品有任何疑问,欢迎随时联系我们